Embryonal tumour with multilayered rosettes
(Redirected from ETMR)
Jump to navigation
Jump to search
Embryonal tumour with multilayered rosettes, abbreviated ETMR, is a very rare neuropathology embryonal tumour with aggressive behaviour.
General
- Extremely rare.
- Histologically WHO grade IV tumor.
- ETMR historically had been termed CNS PNET.
- The WHO2016 CNS classification contains two groups:
- Embryonal tumour with multilayered rosettes, C19MC-altered.
- Embryonal tumour with multilayered rosettes, NOS.
Note: ETMR is an umbrella term for tumors formerly known as:[1]
- Embryonal tumour with abundant neuropil and true rosettes [2]
- Ependymoblastoma [3]
- Medulloepithelioma [4]
Clinical presentation
- Usu. age <4 years.
- 70% supratentorial, 30% infratentorial.
- Raised intracranial pressure.
Imaging
- Usu. enhancing.
- Rarely cysts, calcifications.
- Widespread infiltration.
Microscopy
- Rosettes (often multilayered).
- Small cells.
- Fibrillar zones (neuropil-like areas).
- Neoplastic ganglion cells.
- Papillar and tubular growth (primitive neural tubes).
- PAS-positive membranes.
- Glial/neuronal maturation after treatment (rare).
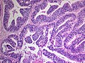
- Medulloepithelioma Histology.jpg
ETMR, medulloepithelioma type.
- Ependymoblastoma.jpg
ETMR, ependymoblastoma type.
- Ependymoblastoma ETMRjpg.jpg
ETMR, poorly undifferentiated cells.
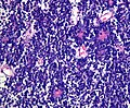
- Ependymoblastoma-Histology.jpg
ETMR, rosettes.
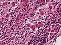
- Neuroblasts ependymoblastoma.jpg
ETMR, ganglion cells.
DDx:
- AT/RT.
- Medulloblastoma.
- Ependymoma.
- CNS embryonal tumor, NOS.
- Pediatric glioblastoma.
IHC
- LIN28+ve.
- Note: Some AT/RT may be focally +ve. [5]
- CD99: focally +ve.
- Synaptophysin: Neuropil-like areas +ve.
- GFAP: usu -ve.
- INI1 +ve.
- Mib1: 20-80%.
- LIN28 ependymoblastoma.jpg
LIN28 positive ETMR.
- MIB1 ependymoblastoma.jpg
MIB1 in ETMR rosettes.
Molecular
- Chr 2 gain.
- C19MC amplification. [6]
- Some rare LIN28+ve cases without C19MC amplification may show DICER1 mutations.[7]
See also
References
- ↑ Korshunov, A.; Sturm, D.; Ryzhova, M.; Hovestadt, V.; Gessi, M.; Jones, DT.; Remke, M.; Northcott, P. et al. (Aug 2014). "Embryonal tumor with abundant neuropil and true rosettes (ETANTR), ependymoblastoma, and medulloepithelioma share molecular similarity and comprise a single clinicopathological entity.". Acta Neuropathol 128 (2): 279-89. doi:10.1007/s00401-013-1228-0. PMID 24337497.
- ↑ Ceccom, J.; Bourdeaut, F.; Loukh, N.; Rigau, V.; Milin, S.; Takin, R.; Richer, W.; Uro-Coste, E. et al. "Embryonal tumor with multilayered rosettes: diagnostic tools update and review of the literature.". Clin Neuropathol 33 (1): 15-22. doi:10.5414/NP300636. PMID 23863344.
- ↑ Judkins, AR.; Ellison, DW. (Jan 2010). "Ependymoblastoma: dear, damned, distracting diagnosis, farewell!*.". Brain Pathol 20 (1): 133-9. doi:10.1111/j.1750-3639.2008.00253.x. PMID 19120373.
- ↑ Korshunov, A.; Jakobiec, FA.; Eberhart, CG.; Hovestadt, V.; Capper, D.; Jones, DT.; Sturm, D.; Stagner, AM. et al. (Dec 2015). "Comparative integrated molecular analysis of intraocular medulloepitheliomas and central nervous system embryonal tumors with multilayered rosettes confirms that they are distinct nosologic entities.". Neuropathology 35 (6): 538-44. doi:10.1111/neup.12227. PMID 26183384.
- ↑ Rao, S.; Rajeswarie, RT.; Chickabasaviah Yasha, T.; Nandeesh, BN.; Arivazhagan, A.; Santosh, V. (Jul 2017). "LIN28A, a sensitive immunohistochemical marker for Embryonal Tumor with Multilayered Rosettes (ETMR), is also positive in a subset of Atypical Teratoid/Rhabdoid Tumor (AT/RT).". Childs Nerv Syst. doi:10.1007/s00381-017-3551-6. PMID 28744687.
- ↑ Spence, T.; Sin-Chan, P.; Picard, D.; Barszczyk, M.; Hoss, K.; Lu, M.; Kim, SK.; Ra, YS. et al. (Aug 2014). "CNS-PNETs with C19MC amplification and/or LIN28 expression comprise a distinct histogenetic diagnostic and therapeutic entity.". Acta Neuropathol 128 (2): 291-303. doi:10.1007/s00401-014-1291-1. PMID 24839957.
- ↑ Uro-Coste, E.; Masliah-Planchon, J.; Siegfried, A.; Blanluet, M.; Lambo, S.; Kool, M.; Roujeau, T.; Boetto, S. et al. (Jan 2019). "ETMR-like infantile cerebellar embryonal tumors in the extended morphologic spectrum of DICER1-related tumors.". Acta Neuropathol 137 (1): 175-177. doi:10.1007/s00401-018-1935-7. PMID 30446821.