Ependymoma

From Libre Pathology
Jump to navigation Jump to search
Ependymoma
Diagnosis in short

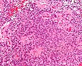
Ependymoma grade II WHO. H&E stain

LM Perivascular pseudorosettes, ependymal rosettes
Subtypes Tanycytic, Clear cell, Papillary, Cellular
LM DDx Subependymoma, Glioblastoma, Pilocytic astrocytoma, Oligodendroglioma
IHC GFAP +ve
Prognosis intermediate to poor (WHO Grades II & III)


Ependymoma is a neuropathology tumour.

General

  • Called the forgotten glial tumour.
  • Anatomic location and molecular data is essential for tumor diagnosis.


Epidemiology:[1]

  • Usual site:
    • Adults: usually spinal cord.
    • Children: usually posterior fossa.
  • May be associated with neurofibromatosis type 2.


There are currently ten main ependymal tumors:[2]

  1. Supratentorial Subependymoma
  2. Supratentorial ependymoma, ZFTA-fusion positive
  3. Supratentorial ependymoma, YAP1-fusion positive
  4. Posterior fossa Subependymoma
  5. Posterior fossa ependymoma group A
  6. Posterior fossa ependymoma group B
  7. Spinal Subependymoma
  8. Spinal ependymoma
  9. Spinal ependymoma, MYCN-amplified
  10. Myxopapillary ependymoma

Ependymoma, NOS (not otherwise specified): Molecular analysis still missing. Ependymoma, NEC (not elsewhere classfied): Tumor cannot assigned to any of the defined entities.

Note: Molecularly defined ependymomas can be still graded as CNS grade 2 or 3 depending on histological features.

  • Depreceated terminologies:
    • Papillary ependymoma.
    • Clear cell ependymoma.
    • Tanycytic ependymoma.
    • Cellular ependymoma.
    • Ependymoma, RELA fusion-positive.[3][4] This is now called Supratentorial ependymoma, ZFTA-fusion positive.
    • Anaplastic ependymoma. This is now called CNS grade 3 ependymoma.

Gross

Microscopic

"Classic" ependymoma

  • Come in two CNS WHO grades: 2 and 3.
  • Usu. sharply demarcated from surrounding brain parenchyma.

Features:

  • Cells have a "tadpole-like" morphology.
    • May also be described as ice cream cone-shaped.[5]
  • Rosettes = circular nuclear free zones/cells arranged in a pseudoglandular fashion; comes in two flavours in ependymoma:
    • Perivascular pseudorosettes = (tumour) cells arranged around a blood vessel; nuclei of cells distant from the blood vessel, i.e. rim of cytoplasm (from tumour cells) surround blood vessel (nucleus-free zone); more common than ependymal rosette... but less specific.
    • Ependymal rosette (AKA true ependymal rosette) = rosette has an empty space at the centre - key feature.
  • Nuclear features monotonous, i.e. "boring".[6]
    • There is little variation in size, shape and staining.
  • Hyalinized vessels.
  • Calcification.
  • Rare cases with cartilagineous metaplasia.[7]
  • Branching capillaries usu. only in supratentorial ependymomas.

Supratentorial ependymoma

  • Usu. connected to the ventricles.
  • Mostly frontal or temporal lobe.
  • Approx. 1/3 of all ependymal tumours (41% in children).
  • Irregular CM enhancement.
  • YAP1-fused tumors in children oft large at time of diagnosis.
  • Cysts and/or calcification possible.
  • Sharply demarcated from adjacent brain parenchyma.
  • True ependymal rosettes are rare.
  • Occasionally branching capillary vessels.
  • Clear cell phenotypes more common than in other locations.
  • Complete surgical resection is the best predictor.
  • CSF spread in up to 15% of tumours.

Posterior fossa ependymoma

  • Usu. 4th ventricle, less common in CPA.
  • Most frequent in children.
  • May contain tumour nodules with increased cell density.
  • Micocysts, vascular hyalinization and calcification can be present.
  • No morphologic differences between Group A and B tumours.
  • Perivascular pseudorosettes almost always present.
  • Rare papillary or tanicytic patterns.

DDx (supratentorial and posterior fossa ependymoma):

  • Subependymoma.
  • Glioblastoma (GBM).
  • Gliomas with BCOR internal tandem duplication.
  • Astroblastoma, MN1-altered.
    • Invasive border = GBM; circumscribed border of lesion = ependymoma.
  • Oligodendroglioma (Clear cell ependymoma))
  • CNS embryonal tumour with BCOR internal tandem duplication.

Spinal ependymoma

  • Isomorphic nuclei.
  • Mitotic activity usu. very low.
  • Calcification, hemorrhage, cystic and/or metaplastic changes may be seen.
  • Most tumours show CNS grade 2 histology.
    • CNS grade 3 tumours should be examined for MYCN amplification.
  • Outcome usu. good, extent of resection is prognostic.

DDx (spinal ependymoma):

  • Pilocytic astrocytoma (Tanycytic ependymoma)
  • Diffuse midline glioma, H3 K27-altered
  • Small cell glioblastoma (MYCN-amplified spinal ependymoma)

Images

www:

Grading

Easy:

  • Subependymoma = CNS WHO grade 1.
  • Myxopapillary ependymoma = CNS WHO grade 2.

Not so easy: All other ependymomas: WHO CNS Grade 2 vs. Grade 3 depends on:

  • Cellular density.
  • Mitoses (no clear cut-off).
  • Necrosis (not prognostic).
  • Microvascular proliferation.
  • Poor interobserver reliability[8]


Notes:

  • Many tumours fall between grade 2 and grade 3.
  • Rare cases with sarcomatous or cartilaginous components.[9][10]

IHC

  • Reticulin-ve.
  • GFAP+ve.
  • MIB1 (usu low).
  • IDH-1-ve.
  • EMA (dots and rings).[11]
    • Widespread and strong EMA expression is indicative of YAP1-fused ependymoma.
  • Olig2-ve.[12]
  • H3K27me3 nuclear loss in Posterior fossa group A ependymoma (nuclear loss is diagnostic).[13]
  • L1CAM in supratentorial tumors (expression indicates ZFTA fusion).[14]
  • p65 nuclear +ve in ZFTA-fused ependymoma.

Molecular

Supratentorial Ependymoma

  • SE, ZFTA-fusion positive: Adults and children (up to 80% of cases).[15]
    • ZFTA-RELA fusion most common alteration.
    • Chromothripsis.
    • EPHB2 amplifications and CDKN2A deletions in a subset of these tumors[16]
  • SE, YAP-fusion positive.
    • Restricted to children (6-7% of all supratentorial ependymomas).
    • YAP-MAMLD fusion most common alteration.

Posterior fossa Ependymoma Two distinct molecular subgroups exist in the posterior fossa:[17]

  • Group A ependymomas:
    • typically found in children.
    • laterally.
    • relatively unfavorable clinical outcome.
    • CpG island methylator phenotype.[18]
    • Loss of H3K27me.[19]
  • Group B ependymomas:
    • typically adults.
    • midline.
    • relatively favorable clinical outcomes.
    • gene expression profiles similar to that of spinal cord ependymomas.
    • increased Chromosomal 1q gains. [20]

See also

References

  1. Kumar, Vinay; Abbas, Abul K.; Fausto, Nelson; Aster, Jon (2009). Robbins and Cotran pathologic basis of disease (8th ed.). Elsevier Saunders. pp. 1334. ISBN 978-1416031215.
  2. The International Agency for Research on Cancer (Editors: Louis, D.N.; Ohgaki, H.; Wiestler, O.D.; Cavenee, W.K.) (2007). Pathology and Genetics of Tumours of Tumors of the Central Nervous System (IARC WHO Classification of Tumours) (4th ed.). Lyon: World Health Organization. pp. 74. doi:10.1007/s00401-007-0243-4. ISBN 978-9283224303.
  3. Parker, M.; Mohankumar, KM.; Punchihewa, C.; Weinlich, R.; Dalton, JD.; Li, Y.; Lee, R.; Tatevossian, RG. et al. (Feb 2014). "C11orf95-RELA fusions drive oncogenic NF-κB signalling in ependymoma.". Nature 506 (7489): 451-5. doi:10.1038/nature13109. PMID 24553141.
  4. Pietsch, T.; Wohlers, I.; Goschzik, T.; Dreschmann, V.; Denkhaus, D.; Dörner, E.; Rahmann, S.; Klein-Hitpass, L. (Apr 2014). "Supratentorial ependymomas of childhood carry C11orf95-RELA fusions leading to pathological activation of the NF-κB signaling pathway.". Acta Neuropathol 127 (4): 609-11. doi:10.1007/s00401-014-1264-4. PMID 24562983.
  5. http://www.pathology.vcu.edu/WirSelfInst/tumor-2.html
  6. MUN. 6 Oct 2009.
  7. Wang, X.; Zhang, S.; Ye, Y.; Chen, Y.; Liu, X. (Jul 2012). "Ependymoma with cartilaginous metaplasia might have more aggressive behavior: a case report and literature review.". Brain Tumor Pathol 29 (3): 172-6. doi:10.1007/s10014-011-0079-4. PMID 22228122.
  8. Ellison, DW.; Kocak, M.; Figarella-Branger, D.; Felice, G.; Catherine, G.; Pietsch, T.; Frappaz, D.; Massimino, M. et al. (May 2011). "Histopathological grading of pediatric ependymoma: reproducibility and clinical relevance in European trial cohorts.". J Negat Results Biomed 10: 7. doi:10.1186/1477-5751-10-7. PMID 21627842.
  9. Vajtai, I.; Kuhlen, D.; Kappeler, A.; Mariani, L.; Zimmermann, A.; Paulus, W. (Jul 2010). "Rapid spontaneous malignant progression of supratentorial tanycytic ependymoma with sarcomatous features - "Ependymosarcoma".". Pathol Res Pract 206 (7): 493-8. doi:10.1016/j.prp.2009.07.013. PMID 19853384.
  10. Boukas, A.; Joshi, A.; Jenkins, A.; Holliman, D. (2013). "Extensive cartilaginous metaplasia of recurrent posterior fossa ependymoma: case report and review of the literature.". Pediatr Neurosurg 49 (2): 93-8. doi:10.1159/000356931. PMID 24401698.
  11. Hasselblatt, M.; Paulus, W. (Oct 2003). "Sensitivity and specificity of epithelial membrane antigen staining patterns in ependymomas.". Acta Neuropathol 106 (4): 385-8. doi:10.1007/s00401-003-0752-8. PMID 12898159.
  12. Švajdler, M.; Rychlý, B.; Mezencev, R.; Fröhlichová, L.; Bednárová, A.; Pataky, F.; Daum, O. (Jan 2016). "SOX10 and Olig2 as negative markers for the diagnosis of ependymomas: An immunohistochemical study of 98 glial tumors.". Histol Histopathol 31 (1): 95-102. doi:10.14670/HH-11-654. PMID 26287936.
  13. Panwalkar, P.; Clark, J.; Ramaswamy, V.; Hawes, D.; Yang, F.; Dunham, C.; Yip, S.; Hukin, J. et al. (Jul 2017). "Immunohistochemical analysis of H3K27me3 demonstrates global reduction in group-A childhood posterior fossa ependymoma and is a powerful predictor of outcome.". Acta Neuropathol. doi:10.1007/s00401-017-1752-4. PMID 28733933.
  14. Parker, M.; Mohankumar, KM.; Punchihewa, C.; Weinlich, R.; Dalton, JD.; Li, Y.; Lee, R.; Tatevossian, RG. et al. (Feb 2014). "C11orf95-RELA fusions drive oncogenic NF-κB signalling in ependymoma.". Nature 506 (7489): 451-5. doi:10.1038/nature13109. PMID 24553141.
  15. Parker, M.; Mohankumar, KM.; Punchihewa, C.; Weinlich, R.; Dalton, JD.; Li, Y.; Lee, R.; Tatevossian, RG. et al. (Feb 2014). "C11orf95-RELA fusions drive oncogenic NF-κB signalling in ependymoma.". Nature 506 (7489): 451-5. doi:10.1038/nature13109. PMID 24553141.
  16. Philip-Hollingsworth, S.; Hollingsworth, RI.; Dazzo, FB. (Jan 1989). "Host-range related structural features of the acidic extracellular polysaccharides of Rhizobium trifolii and Rhizobium leguminosarum.". J Biol Chem 264 (3): 1461-6. PMID 2912966.
  17. Witt, H.; Mack, SC.; Ryzhova, M.; Bender, S.; Sill, M.; Isserlin, R.; Benner, A.; Hielscher, T. et al. (Aug 2011). "Delineation of two clinically and molecularly distinct subgroups of posterior fossa ependymoma.". Cancer Cell 20 (2): 143-57. doi:10.1016/j.ccr.2011.07.007. PMID 21840481.
  18. Mack, SC.; Witt, H.; Piro, RM.; Gu, L.; Zuyderduyn, S.; Stütz, AM.; Wang, X.; Gallo, M. et al. (Feb 2014). "Epigenomic alterations define lethal CIMP-positive ependymomas of infancy.". Nature 506 (7489): 445-50. doi:10.1038/nature13108. PMID 24553142.
  19. Panwalkar, P.; Clark, J.; Ramaswamy, V.; Hawes, D.; Yang, F.; Dunham, C.; Yip, S.; Hukin, J. et al. (Jul 2017). "Immunohistochemical analysis of H3K27me3 demonstrates global reduction in group-A childhood posterior fossa ependymoma and is a powerful predictor of outcome.". Acta Neuropathol. doi:10.1007/s00401-017-1752-4. PMID 28733933.
  20. Korshunov, A.; Witt, H.; Hielscher, T.; Benner, A.; Remke, M.; Ryzhova, M.; Milde, T.; Bender, S. et al. (Jul 2010). "Molecular staging of intracranial ependymoma in children and adults.". J Clin Oncol 28 (19): 3182-90. doi:10.1200/JCO.2009.27.3359. PMID 20516456.