Subependymoma

From Libre Pathology
Jump to navigation Jump to search
Subependymoma
Diagnosis in short

Subependymoma. H&E stain.

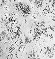
LM microcysts with bluish material (give a spongy appearance at low magnification), clustering of nuclei cluster (described as "bundles of flowers"), bland nuclei
Site brain - see neuropathology tumours

Symptoms +/-headache
Radiology classically fourth ventricle
Prognosis WHO grade I
Clin. DDx other brain tumours - ependymoma, CNS lymphoma
Treatment surgical excision

Subependymoma is neuropathology tumour classically found in the fourth ventricle.

General

  • Good prognosis - WHO Grade I (ICD-O 9383/1).
  • Low-grade glial tumour of the middle-aged and elderly.[1]
  • Formerly called subependymal (glomerate) astrocytoma

Clinical:[1]

  • Slow growing.
  • +/-Headaches.
  • CSF obstructions.
  • Tx: surgery.

Gross/radiology

  • Classic location: fourth ventricle (50-60%).[2]
  • Lateral ventricles (30-40% of all cases), rarely IIIrd ventricle, septum pellucideum and spinal cord
  • Well-demarcated margin.
  • Usu. completely within the ventricle; does not extend into brain (like ependymomas).
  • May be hemorrhagic. [3]
  • Usually less than 2cm in diameter.
  • Incidentally found at autopsies.

Images

Microscopic

Features:[4]

  • Microcysts with bluish material - give a spongy appearance at low magnification.
  • Isomorphic nuclei cluster embedded into fibrillary matrix.
    • Described as "bundles of flowers".
  • Calcifications possible
  • Combined subependymomas/classical cellular ependymomas (then grade II)

Negatives.

  • No nuclear pleomorphism, no prominent nucleoli, no mitoses.
  • Do not invade into brain.[1]

Images

www: Subependymoma (ouhsc.edu).[4]

DDx: Ependymoma

IHC

  • GFAP+ve
  • MIB-1 very low (1%)
  • ATRX: no loss
  • IDH1(R132H)-ve

Molecular

  • Posterior fossa and spine: chr.6 alterations.
  • Supratentorial: No consistent abberations.

See also

References

  1. 1.0 1.1 1.2 Castro-Castro, J.; Castro-Bouzas, D.; Prieto-Casal, PL.; Carcacia-Hermilla, ID.; Riu-Lloveras, M.; Castro-Gómez, JE. (Mar 2013). "[Subependymoma of the lateral ventricle. A case report].". Rev Neurol 56 (6): 332-6. PMID 23483468.
  2. Hoeffel, C.; Boukobza, M.; Polivka, M.; Lot, G.; Guichard, JP.; Lafitte, F.; Reizine, D.; Merland, JJ.. "MR manifestations of subependymomas.". AJNR Am J Neuroradiol 16 (10): 2121-9. PMID 8585504. http://www.ajnr.org/cgi/reprint/16/10/2121.
  3. Landriel, F.; Besada, C.; Migliaro, M.; Christiansen, S.; Goldschmidt, E.; Yampolsky, C.; Ajler, P. (2013). "Atypical hemorrhagic presentation of a fourth ventricle subependymoma: case report.". Neurol Med Chir (Tokyo) 53 (11): 828-31. PMID 24140775.
  4. 4.0 4.1 URL: http://moon.ouhsc.edu/kfung/jty1/Com05/Com501-2-Diss.htm. Accessed on: 2 June 2011.