Eosinophilic granulomatosis with polyangiitis
Jump to navigation
Jump to search
| Eosinophilic granulomatosis with polyangiitis | |
|---|---|
| Diagnosis in short | |
|
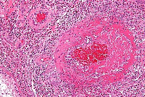
Eosinophilic granulomatosis with polyangiitis. H&E stain. | |
|
| |
| Synonyms | Churg-Strauss syndrome, Churg-Strauss disease |
|
| |
| LM | small vessel vasculitis with abundant eosinophils and granulomas |
| LM DDx | eosinophilic vasculitis associated with a connective tissue disease |
| Site | blood vessels |
|
| |
| Associated Dx | asthma |
| Signs | fever |
| Prevalence | rare |
| Blood work | ANCA +ve/-ve |
Eosinophilic granulomatosis with polyangiitis, abbreviated EGPA,[1] is a type of vasculitis.
It was previously known as Churg-Strauss syndrome.[2]
It should not be confused with granulomatosis with polyangiitis, previously known as Wegener's granulomatosis.
General
Defining features - memory device GAFE:
- Granulomata.
- Asthma.
- Fever.
- Eosinophilia.
Other clinical features - may be present:[3]
- ANCA.
- Weight loss.
- Myalgias.
- Arthralgias
- Glomerulonephritis.
- Hematuria.
Notes:
- Similar to Granulomatosis with polyangiitis (Wegener's granulomatosis) - classically c-ANCA +ve, and microscopic polyangiitis.[4]
- TH2 disease - like asthma.[5]
Microscopic
Features:
- Small vessel vasculitis.
- Abundant eosinophils.
- Granulomas.
DDx:
- Eosinophilic vasculitis associated with a connective tissue disease.[6]
Images
See also
References
- ↑ Xu, XL.; Song, W.; Sui, X.; Song, L.; DU, QN.; Wang, X. (Oct 2016). "Radiological and Clinical Features of Eosinophilic Granulomatosis with Polyangiitis.". Zhongguo Yi Xue Ke Xue Yuan Xue Bao 38 (5): 617-620. doi:10.3881/j.issn.1000-503X.2016.05.023. PMID 27825424.
- ↑ Stone, JR.; Bruneval, P.; Angelini, A.; Bartoloni, G.; Basso, C.; Batoroeva, L.; Buja, LM.; Butany, J. et al. "Consensus statement on surgical pathology of the aorta from the Society for Cardiovascular Pathology and the Association for European Cardiovascular Pathology: I. Inflammatory diseases.". Cardiovasc Pathol 24 (5): 267-78. doi:10.1016/j.carpath.2015.05.001. PMID 26051917.
- ↑ Cottin, V.; Bel, E.; Bottero, P.; Dalhoff, K.; Humbert, M.; Lazor, R.; Sinico, RA.; Sivasothy, P. et al. (Sep 2016). "Revisiting the systemic vasculitis in eosinophilic granulomatosis with polyangiitis (Churg-Strauss): A study of 157 patients by the Groupe d'Etudes et de Recherche sur les Maladies Orphelines Pulmonaires and the European Respiratory Society Taskforce on eosinophilic granulomatosis with polyangiitis (Churg-Strauss).". Autoimmun Rev. doi:10.1016/j.autrev.2016.09.018. PMID 27671089.
- ↑ URL: http://emedicine.medscape.com/article/334024-overview. Accessed on: 22 January 2011.
- ↑ Greco, A.; Rizzo, MI.; De Virgilio, A.; Gallo, A.; Fusconi, M.; Ruoppolo, G.; Altissimi, G.; De Vincentiis, M. (Apr 2015). "Churg-Strauss syndrome.". Autoimmun Rev 14 (4): 341-8. doi:10.1016/j.autrev.2014.12.004. PMID 25500434.
- ↑ Chen, KR.; Su, WP.; Pittelkow, MR.; Conn, DL.; George, T.; Leiferman, KM. (Aug 1996). "Eosinophilic vasculitis in connective tissue disease.". J Am Acad Dermatol 35 (2 Pt 1): 173-82. PMID 8708015.