Epithelioid hemangioendothelioma
Jump to navigation
Jump to search
| Epithelioid hemangioendothelioma | |
|---|---|
| Diagnosis in short | |
|
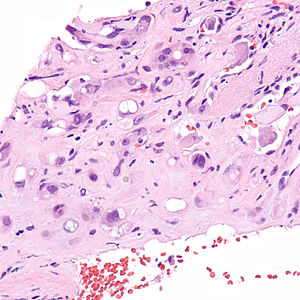
Epithelioid hemangioendothelioma. H&E stain. | |
|
| |
| LM | large epithelioid perivascular cells with abundant pale eosinophilic cytoplasm and cytoplasmic vacuolation ("blister cells") - may form lumen and have RBC within, vesicular nucleus +/-prominent nucleolus; tuft-like projections into capillaries; cells may be in well-circumscribed paucicellular nodules or poorly formed cellular aggregates |
| LM DDx | epithelioid angiosarcoma, hemangioma, epithelioid sarcoma |
| IHC | CD31 +ve, CD34 +ve, factor VIII +ve, CAMTA1 +ve, TFE3 +ve/-ve |
| Molecular | gene fusions: WWTR1-CAMTA1 (approximately 90% of cases), YAP1-TFE3 (small number of cases) |
| Site | soft tissue - see vascular tumours, classically liver - but various sites reported |
|
| |
| Prevalence | rare |
| Prognosis | moderate |
| Treatment | resection |
Epithelioid hemangioendothelioma, abbreviated EHE, is rare malignant vascular tumour.
It should not be confused with epithelioid hemangioma.
General
- Malignant.[1]
- Adults - wide age range.
- Associated with oral contraceptives, vinyl chloride.[2]
- Rare.[3]
Treatment:
- Excision[4] if feasible.
- Chemotherapy - not standardized.[3]
- Liver transplantation.[5]
Prognosis - liver:
- ~55% five-year survival.[4]
- Better than other liver tumours.
Gross
- Classically, a liver lesion - but found elsewhere.[6][7]
- Case reports of EHE in a wide number of anatomical sites (bowel,[8], parotid[9] mediastinum[10]).
Microscopic
Features:[2]
- Large epithelioid perivascular cells with:
- Abundant pale eosinophilic cytoplasm.
- Cytoplasmic vacuolation (some cells) - AKA "blister cells" - key feature.
- May form lumen and have RBC within.
- Vesicular nucleus with prominent nucleolus in some cells.
- Tuft-like projections into capillaries.
- Tumour cells may be in well-circumscribed paucicellular nodules or more cellular poorly formed aggregates.
DDx:[11]
- Angiosarcoma, epithelioid.
- Hemangioma.
- Cholangiocarcinoma.
- Fibrolamellar hepatocellular carcinoma.
- Epithelioid sarcoma.[12]
Images
www:
- Epithelioid hemangioendothelioma - low mag. (flickr.com/Rosen).
- Epithelioid hemangioendothelioma - high mag. (flickr.com/Rosen).
- Epithelioid hemangioendothelioma (surgicalpathologyatlas.com).
IHC
Features:[2]
- CD31 +ve.
- CD34 +ve.
- Factor VIII +ve.
- CAMTA1 +ve.[12]
- TFE3 +ve - minority of cases.
Molecular
Gene fusions:[12]
- WWTR1-CAMTA1 - seen in approximately 90% of cases.
- YAP1-TFE3 fusion gene - <5% of cases.
See also
References
- ↑ Humphrey, Peter A; Dehner, Louis P; Pfeifer, John D (2008). The Washington Manual of Surgical Pathology (1st ed.). Lippincott Williams & Wilkins. pp. 603. ISBN 978-0781765275.
- ↑ 2.0 2.1 2.2 Gupta, R.; Mathur, SR.; Gupta, SD.; Durgapal, P.; Iyer, VK.; Das, CJ.; Shalimar, SK.; Acharya, . (2010). "Hepatic epithelioid hemangioendothelioma: A diagnostic pitfall in aspiration cytology.". Cytojournal 6: 25. doi:10.4103/1742-6413.58951. PMID 20165548.
- ↑ 3.0 3.1 Chevreau, C.; Le Cesne, A.; Ray-Coquard, I.; Italiano, A.; Cioffi, A.; Isambert, N.; Robin, YM.; Fournier, C. et al. (Jul 2013). "Sorafenib in patients with progressive epithelioid hemangioendothelioma: a phase 2 study by the French Sarcoma Group (GSF/GETO).". Cancer 119 (14): 2639-44. doi:10.1002/cncr.28109. PMID 23589078.
- ↑ 4.0 4.1 Läuffer, JM.; Zimmermann, A.; Krähenbühl, L.; Triller, J.; Baer, HU. (Dec 1996). "Epithelioid hemangioendothelioma of the liver. A rare hepatic tumor.". Cancer 78 (11): 2318-27. PMID 8941001.
- ↑ Nudo, CG.; Yoshida, EM.; Bain, VG.; Marleau, D.; Wong, P.; Marotta, PJ.; Renner, E.; Watt, KD. et al. (Oct 2008). "Liver transplantation for hepatic epithelioid hemangioendothelioma: the Canadian multicentre experience.". Can J Gastroenterol 22 (10): 821-4. PMID 18925305.
- ↑ Cardinal, J.; de Vera, ME.; Marsh, JW.; Steel, JL.; Geller, DA.; Fontes, P.; Nalesnik, M.; Gamblin, TC. (Nov 2009). "Treatment of hepatic epithelioid hemangioendothelioma: a single-institution experience with 25 cases.". Arch Surg 144 (11): 1035-9. doi:10.1001/archsurg.2009.121. PMID 19917940.
- ↑ Haughey AM, Moloney BM, O'Brien CM (October 2023). "Epithelioid Haemangioendothelioma; Not simply a hepatic pathology". Clin Imaging 102: 42–52. doi:10.1016/j.clinimag.2023.07.003. PMID 37541086.
- ↑ Spasic S, Brcic I, Freire R, Garcia-Buitrago MT, Rosenberg AE (June 2019). "Epithelioid Hemangioendothelioma of the Bowel in Crohn's Disease: The First Reported Case". Int J Surg Pathol 27 (4): 423–426. doi:10.1177/1066896918801527. PMID 30238810.
- ↑ Suarez-Zamora DA, Rodriguez-Urrego PA, Hakim-Tawil JA, Palau-Lazaro MA (2019). "Epithelioid hemangioendothelioma of the parotid gland: A case report in an unusual location with a review of the literature". Rev Esp Patol 52 (4): 260–264. doi:10.1016/j.patol.2019.04.002. PMID 31530411.
- ↑ Kim SH, Kim YS, Jang MH, Kwon HJ (2019). "Mediastinal Epithelioid Hemangioendothelioma Invading Superior Vena Cava: A Case Report and Review of Literature". Curr Med Imaging Rev 15 (3): 349–352. doi:10.2174/1573405614666180124141817. PMID 31989887.
- ↑ Cardinal, J.; de Vera, ME.; Marsh, JW.; Steel, JL.; Geller, DA.; Fontes, P.; Nalesnik, M.; Gamblin, TC. (Nov 2009). "Treatment of hepatic epithelioid hemangioendothelioma: a single-institution experience with 25 cases.". Arch Surg 144 (11): 1035-9. doi:10.1001/archsurg.2009.121. PMID 19917940.
- ↑ 12.0 12.1 12.2 Doyle LA, Fletcher CD, Hornick JL (January 2016). "Nuclear Expression of CAMTA1 Distinguishes Epithelioid Hemangioendothelioma From Histologic Mimics". Am J Surg Pathol 40 (1): 94–102. doi:10.1097/PAS.0000000000000511. PMID 26414223.