Fibrous dysplasia
Jump to navigation
Jump to search
| Fibrous dysplasia | |
|---|---|
| Diagnosis in short | |
|
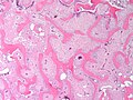
Fibrous dysplasia. H&E stain. | |
|
| |
| Synonyms | osteitis fibrosa |
|
| |
| LM | woven bone with odd irregular shapes (often described as "chinese characters"), fibrous tissue around bone, no osteoblastic rimming |
| LM DDx | desmoplastic fibroma, low-grade fibrosarcoma, low-grade central osteosarcoma |
| Site | bone |
|
| |
| Syndromes | McCune-Albright syndrome |
|
| |
| Prevalence | uncommon |
| Prognosis | benign |
Fibrous dysplasia, also osteitis fibrosa, is a rare disorder of bone that has a distinctive microscopic appearance.
General
Classification:
- Monostotic - one bone involved, ~80% of cases.
- Polyostotic - several bones involved, ~20% of cases.
- May be associated with McCune-Albright syndrome.
Microscopic
Features:[1]
- Woven bone with odd irregular shapes - key feature.
- Described as "chinese characters".[2]
- Fibrous tissue around bone.
Notes:
- No osteoblastic rimming.
DDx:
- Desmoplastic fibroma - has lamellar bone.
- Low grade fibrosarcoma.
- Low-grade central osteosarcoma.[3]
- Gnathic ossifying fibroma (Cemento-ossifying fibroma)[4][5] - Prominent calcified spherules, no associated GNAS mutation
- Gnathic ossifying fibroma recurs and needs to be completely enucleated
- Fibrous dysplasia may be self limited and can be followed with observation or if symptomatic bisphosphonate therapy is an option.
- S0, distinguishing between these two entities is important
Images
www:
- Fibrous dysplasia of bone - high mag. (pathologypics.com).
- Fibrous dysplasia of bone - low mag. (pathologypics.com).
- Modern Pathology- fibrous dysplasia (left) vs ossifying fibroma (right)[1]
Molecular
- Postzygotic (somatic) activating mutations of the GNAS1 gene 10, which encodes the α-subunit of the stimulatory G-protein Gs[6]
- Both mono and polyostatic cases.
- Causative molecular lesion of McCune-Albright and Mazzabraud syndrome[7]
See also
- Bone.
References
- ↑ URL: http://www.pathologypics.com/pictview.aspx?id=104. Accessed on: 14 April 2011.
- ↑ URL: http://www.pathcases.com/bone_tumors_and_tumor.htm. Accessed on: 31 May 2011.
- ↑ Inwards, CY (2001). "Low-grade central osteosarcoma versus fibrous dysplasia". Pathology Case Reviews 6 (1): 22-27. http://journals.lww.com/pathologycasereviews/Fulltext/2001/01000/Low_Grade_Central_Osteosarcoma_Versus_Fibrous.5.aspx.
- ↑ http://www.nature.com/modpathol/journal/v20/n3/full/3800753a.html
- ↑ Patel, MM.; Wilkey, JF.; Abdelsayed, R.; D'Silva, NJ.; Malchoff, C.; Mallya, SM. (May 2010). "Analysis of GNAS mutations in cemento-ossifying fibromas and cemento-osseous dysplasias of the jaws.". Oral Surg Oral Med Oral Pathol Oral Radiol Endod 109 (5): 739-43. doi:10.1016/j.tripleo.2009.12.016. PMID 20346714.
- ↑ Weinstein, LS.; Shenker, A.; Gejman, PV.; Merino, MJ.; Friedman, E.; Spiegel, AM. (Dec 1991). "Activating mutations of the stimulatory G protein in the McCune-Albright syndrome.". N Engl J Med 325 (24): 1688-95. doi:10.1056/NEJM199112123252403. PMID 1944469.
- ↑ http://ghr.nlm.nih.gov/condition/mccune-albright-syndrome