Fundic gland polyp
Jump to navigation
Jump to search
| Fundic gland polyp | |
|---|---|
| Diagnosis in short | |
|
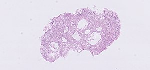
Fundic gland polyp. H&E stain. | |
|
| |
| LM | polypoid shape (epithelium on three sides), dilated gastric glands (flatted epithelial lining consisting of normal foveolar epithelium), lack of foveolar hyperplasia |
| LM DDx | hyperplastic polyp of the stomach, gastric columnar dysplasia |
| Gross | polyp - usu. fundus, may be in body of stomach |
| Site | stomach - usually fundus |
|
| |
| Associated Dx | gastroesophageal reflux disease - thus PPI use |
| Syndromes | familial adenomatous polyposis, gastric adenocarcinoma and proximal polyposis of the stomach |
|
| |
| Symptoms | usu. asymptomatic |
| Prevalence | common |
| Endoscopy | polyps |
| Prognosis | benign |
| Clin. DDx | gastric adenoma, hyperplastic polyp of the stomach |
Fundic gland polyp, abbreviated FGP, is a relatively common pathology of the stomach. It is associated with familial adenomatous polyposis and proton pump inhibitor use.
General
Clinical significance
- Weak association with FAP (familial adenomatous polyposis).[1][2]
- Associated with chronic proton pump inhibitors (PPI) use -- approximately 4x risk.[3]
- PPIs may cause fundic gland polyposis - extremely rare (two reported cases as of 2012).[4]
- Gastric adenocarcinoma and proximal polyposis of the stomach.[5]
Notes:
- Animal studies suggested PPIs cause neuroendocrine tumours -- but this has not been found in humans.[6]
Gross
- Polyp - usuallly in fundus, may be in body of stomach.
Images
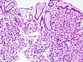
Microscopic
Features:[7]
- Polypoid shape (may not be appreciated on microscopy).
- Dilated gastric glands.
- Flatted epithelial lining (consisting of normal foveolar epithelium) - key feature.
Notes:
- The presence of dysplastic changes should prompt consideration of FAP.
DDx:
- Hyperplastic polyp of the stomach - has foveolar hyperplasia, gland dilation may be present.
- Gastric columnar dysplasia - esp. in the context of FAP.
Images
www:
Sign out
POLYP, STOMACH, BIOPSY: - FUNDIC GLAND POLYP. - NEGATIVE FOR INTESTINAL METAPLASIA. - NEGATIVE FOR HELICOBACTER-LIKE ORGANISMS. - NEGATIVE FOR DYSPLASIA AND NEGATIVE FOR MALIGNANCY.
Multiple polyps with PPI use
POLYPS, STOMACH, POLYPECTOMY: - FUNDIC GLAND POLYP (x3). - NEGATIVE FOR INTESTINAL METAPLASIA. - NEGATIVE FOR HELICOBACTER-LIKE ORGANISMS. - NEGATIVE FOR DYSPLASIA AND NEGATIVE FOR MALIGNANCY. COMMENT: Several fundic gland polyps were removed previously. Fundic gland polyps are associated with familial adenomatous polyposis (FAP), gastric adenocarcinoma and proximal polyposis of the stomach (GAPPS), and proton pump inhibitor (PPI) use. PPI use appears to be the most likely explanation in this case, in the context of the provided history; however, FAP and GAPPS should be considered clinically.
Polyposis
Partial Stomach, Sleeve Gastrectomy: - Fundic gland polyposis, see comment. - NEGATIVE for intestinal metaplasia. - NEGATIVE for Helicobacter-like organisms. - NEGATIVE for dysplasia and negative for malignancy. Comment: Sixteen fundic gland polyps are identified on microscopy. At least forty polypoid lesions were seen at the time of grossing. Fundic gland polyps are reported in association with proton pump inhibitor use, familial adenomatous polyposis (FAP), and gastric adenocarcinoma and proximal polyposis of the stomach (GAPPS). The possibility of FAP and GAPPS should be considered.
Block letters
STOMACH, GREATER CURVE, SLEEVE GASTRECTOMY: - FUNDIC GLAND POLYPOSIS, SEE COMMENT. - NEGATIVE FOR INTESTINAL METAPLASIA. - NEGATIVE FOR HELICOBACTER-LIKE ORGANISMS. - NEGATIVE FOR DYSPLASIA AND NEGATIVE FOR MALIGNANCY. COMMENT: Sixteen fundic gland polyps are identified on microscopy. At least forty polypoid lesions were seen at the time of grossing. Fundic gland polyps are reported in association with proton pump inhibitor use, familial adenomatous polyposis (FAP), and gastric adenocarcinoma and proximal polyposis of the stomach (GAPPS). The possibility of FAP and GAPPS should be considered.
See also
- Stomach.
- Neuroendocrine tumours.
- Gastric columnar dysplasia.
- Hyperplastic polyp of the stomach.
- Hyperplastic polyp of the colon and rectum.
References
- ↑ 1.0 1.1 1.2 Spiegel, A.; Stein, P.; Patel, M.; Patel, R.; Lebovics, E. (Jan 2010). "A report of gastric fundic gland polyps.". Gastroenterol Hepatol (N Y) 6 (1): 45-8. PMID 20567540.
- ↑ Freeman HJ (March 2008). "Proton pump inhibitors and an emerging epidemic of gastric fundic gland polyposis". World J. Gastroenterol. 14 (9): 1318-20. PMID 18322941. http://www.wjgnet.com/1007-9327/14/1318.asp.
- ↑ Jalving M, Koornstra JJ, Wesseling J, Boezen HM, DE Jong S, Kleibeuker JH (November 2006). "Increased risk of fundic gland polyps during long-term proton pump inhibitor therapy". Aliment. Pharmacol. Ther. 24 (9): 1341-8. doi:10.1111/j.1365-2036.2006.03127.x. PMID 17059515.
- ↑ Hegedus, I.; Csizmadia, C.; Lomb, Z.; Cseke, L.; Enkh-Amar, Y.; Pajor, L.; Bogner, B. (Mar 2012). "[Massive fundic gland polyposis caused by chronic proton pump inhibitor therapy].". Orv Hetil 153 (9): 351-6. doi:10.1556/OH.2012.29313. PMID 22348851.
- ↑ Worthley, DL.; Phillips, KD.; Wayte, N.; Schrader, KA.; Healey, S.; Kaurah, P.; Shulkes, A.; Grimpen, F. et al. (May 2012). "Gastric adenocarcinoma and proximal polyposis of the stomach (GAPPS): a new autosomal dominant syndrome.". Gut 61 (5): 774-9. doi:10.1136/gutjnl-2011-300348. PMID 21813476.
- ↑ Masaoka T, Suzuki H, Hibi T (May 2008). "Gastric epithelial cell modality and proton pump inhibitor". J Clin Biochem Nutr 42 (3): 191-6. doi:10.3164/jcbn.2008028. PMC 2386521. PMID 18545640. https://www.ncbi.nlm.nih.gov/pmc/articles/PMC2386521/.
- ↑ URL: http://moon.ouhsc.edu/kfung/jty1/opaq/PathQuiz/A2B001-PQ01-M.htm. Accessed on: 19 October 2010.