Fungi

From Libre Pathology
Jump to navigation Jump to search
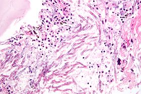
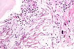
Fungi (aspergillus). H&E stain.

Fungi (singular fungus) are microorganisms that are occasionally seen by pathologists.

Overview

  • There are lots of 'em. Below are a few of 'em.

Terminology:[1]

  • Hyphae = microscopic filamentous growth (of fungi) -- single cell.
  • Mycelial = filamentous network of hyphae.
  • Septae/septation = hyphae may be subdivided by septae -- if they aren't they are one mass of protoplasm. (?)
  • Dimorphism = exist in two forms; e.g. single cell (yeast) and mycelial growth.
  • Pseudohyphae = looks like hyphae --but branching pattern is created by separate cells.[2]

Tissue invasive fungi

Typically:[3]

Sign out

  • The gold standard for determining the microorganisms is culture.
  • As anatomical pathologists are approximately 80% accurate (when measured against culture), it is important to state something like correlation with culture is recommended.[4]

Summary table

Name (disease) Kingdom Size Shape Stains Other (microscopic) Clinical References Image
Aspergillus (aspergillosis) Fungi ? Hyphae that branching
with 45 degrees angle
PAS-D Fruiting heads when aerobic ? Immunosuppression [5]
Aspergillus. (WC)
Zygomycota (zygomycosis);
more specific
Mucorales (mucormycosis)
Fungi ? Branching hyphae with variable width ? Granulomata assoc. Diabetes, immunodeficient [5]
Zygomycosis. (WC)
Coccidioides, usually C. immitis
(coccidioidomycosis)
Fungi Large - 20-60 micrometers,
endospores 1-5 micrometers
Spherules Stains? Other? Immunodeficient [5] Coccidioidomycosis (med.sc.edu)
C. immitis (WC)
Histoplasma (histoplasmosis) Fungi 2-5 micrometers Spherical GMS Intracellular (unlike candida), granulomata Source: soil with bird droppings [5]
Histoplasmosis. (WC)
Blastomyces (blastomycosis) Fungi 5-15 micrometres Spherical (yeast) Stains? Granulomas, broad-based budding yeast Habitat: Northeast America, Africa [5][6]
Blastomyces. (WC)
Paracoccidioides (paracoccidioidomycosis) Fungi 6-60 micrometres Spherical (yeast) Stains? Multiple budding "steering wheel" appearance Clinical??? [5]
P. brasiliensis (WC)
Pneumocystis jirovecii (pneumocystis carinii pneumonia; abbrev. PCP) Fungi (previously thought to be a protozoan) 7-8 micrometres "Dented ping-pong ball" GMS Usually in clusters of alveolar casts with a honeycomb appearance HIV/AIDS associated [7]
PCP. (WC)
Cryptococcus (cryptococcosis) Fungi 5-15 micrometres Yeast GMS Prominent (i.e. thick polysaccharide) capsule HIV/AIDS associated, most common CNS fungus [5]
Crytococcosis - mucicarmine (WC)

Notes:

  • Bold text = key features.

Specific fungi

Histoplasmosis

General

  • Organism: Histoplasma.
  • Specific organism: Histoplasma capulatum.
  • Typical location: lung.
  • Common in immunosuppressed individuals, e.g. HIV/AIDS population.
    • Extrapulmonary or disseminated histoplasmosis is considered to be AIDS-defining.[8]

Microscopic

Features:

  • Often in yeast form - in tissue, spherical, 2-5 micrometres.[9]
  • Intracellular[10] - may be within macrophages that form a granuloma.
    • Nice bright red on PAS-D.
      • Have a "central dot".[11]

Images

www:

Coccidioidomycosis

General

  • Organism: Coccidioides.
  • Specific organism: Coccidioides immitis.
    • Usu. from soil.
  • Typical locations: lung, oral cavity.[12]
  • +/-Immunodeficiency.[13]
  • Predominantly southwest USA and Mexico.[14]

Microscopic

Features:

  • Forms spherules 60-80 μm in size.[9]
    • Contain endospores 1-5 μm in diameter.

Notes:

  • Spherules may be described as a "bag of marbles".

Images

www:

Pneumocystis pneumonia

  • Abbreviated PCP.
  • AKA Pneumocystis jirovecii pneumonia.

General

  • Organism: pneumocystis,
  • Specific organism: Pneumocystis jirovecii[16] (used to be called Pneumocystis carinii).
    • May be spelled Pneumocystis jiroveci.
    • Fungus... used to be considered a parasite.
  • Typical location: lung.

Clinical:

  • Opportunistic infection - typically in HIV +ve individuals.
  • May have subtle findings on chest X-ray.

Microscopic

Features:

  • Form frothy aggregates that take the shape of the alveoli they sit within, i.e. they form "alveolar casts".
  • "Dented ping-pong ball" appearance.[9] **Remember PCP = ping-pong.
    • Approximately 7-8 μm in size.

DDx:

Images

www:

Stains

Cryptococcosis

General

  • Organism: Cryptococcus.
  • Specific organism: C. neoformans.
  • Opportunistic infection.
  • Typical location: lung.
    • Most common fungus seen in CSF specimens.[5]

Trivia:

  • Crypto- = hidden/invisible.[17]
    • Why the name? A. The capsule is almost invisible.

Gross

Features (brain):

  • Small cystic spaces, often diffuse.
    • Known as "soap bubble brain".

Image:

Microscopic

Features:

  • Yeast:
    • Round/ovoid 5-15 micrometres (may resemble Histoplasma or Candida -- but often larger).
    • Thick mucopolysacchardie capsule + refractile centre.[5]
    • "Tear drop-shapped" budding pattern (useful to differentiate from Blastomyces, Histoplasma).[5]
  • Usually accompanied by very little inflammation.[18]

Notes:

  • May be confused with corpora amylacea in the CNS, esp. as they (like cryptococci) stain for methenamine silver, Alcian blue, and PAS.[19]

Images

www:

Cryptosporidiosis

General

  • Caused by cryptosporidium.
  • Fecal-oral transmission.
  • Usu. in immunoincompetent individuals, e.g. HIV/AIDS.

Microscopic

Features:

  • Uniform spherical nodules 2-4 micrometres in diameter, typical location - GI tract brush border.
    • Bluish staining of brush border key feature - low power.

Images

www:

Notes:

  • Cryptosporidium parvum?[20]

Candidiasis

In the context of pap tests see: Gynecologic_cytopathology#Candida.

General

  • Commonly Candida albicans.
  • Yeast forms.
  • Locations: oral cavity, vagina.

Gross

Esophageal candidiasis:

  • "Sticky": do not wash-off from the mucosa with water irrigation.[21]

Microscopic

Features:

  • Dimorphic - seen in two forms:
    • Pseudohyphae[12] - collections of many C. albicans cells in a branching pattern.
    • Yeast form - single cells, 10 to 12 micrometres in diameter.[citation needed]

Notes:

  • May be described as "sticks and stones".

Images

www:

Stains

Features:

  • PAS +ve.
  • Methenamine silver +ve.
  • Gram +ve.[22]

Blastomycosis

General

  • Usually Blastomyces dermatitidis - fungus.
  • May be in the oral cavity.[12]

Microscopic

Features:

  • Broad-based budding yeast -- is Blastomyces.[23]
    • The interface between two separating fungi, i.e. fungi in the process of reproducing, is very large.

DDx:

Images

www:

Mucormycosis

General

  • Causative organism: Mucorales.
    • Kingdom: Fungi.
    • AKA Zygomycota (zygomycosis).
  • Associated with diabetes, immunodeficiency.

Microscopic

Features:[5]

  • Branching hyphae with variable width.
  • Granulomata associated.

Notes:

  • Not septated.
  • Branching angle typically ~90 degrees.

DDx:

Images

www:

Aspergillosis

Microsporidiosis

General

  • A group of (extremely) small intracellular microorganisms - classified as fungi.[24]
    • Human pathogenic organisms in this group include: Enterocytozoon bieneusi, Encephalitozoon hellem, and Encephalitozoon intestinalis.[25]
  • Important in the context of HIV/AIDS,[26] and solid organ transplant recipients.
  • May be seen in immune competent individuals.[25]

Clinical:[25]

  • Diarrhea.
  • Weight loss.
  • Abdominal pain.

Microscopic

Features:

  • Partial villus atrophy (villous blunting) and crypt hyperplasia.[25]
  • Small intracellular microorganisms ~ 1.0-4.0 μm.

Images:

EM

  • Small intracellular microorganisms ~ 1.0-4.0 μm.[24]

Image:

See also

References

  1. http://www.fungionline.org.uk/1intro/3growth_forms.html
  2. http://pathmicro.med.sc.edu/mycology/mycology-3.htm
  3. CM 17 Apr 2009.
  4. Sangoi, AR.; Rogers, WM.; Longacre, TA.; Montoya, JG.; Baron, EJ.; Banaei, N. (Mar 2009). "Challenges and pitfalls of morphologic identification of fungal infections in histologic and cytologic specimens: a ten-year retrospective review at a single institution.". Am J Clin Pathol 131 (3): 364-75. doi:10.1309/AJCP99OOOZSNISCZ. PMID 19228642.
  5. 5.00 5.01 5.02 5.03 5.04 5.05 5.06 5.07 5.08 5.09 5.10 Lefkowitch, Jay H. (2006). Anatomic Pathology Board Review (1st ed.). Saunders. pp. 682. ISBN 978-1416025887.
  6. http://pathmicro.med.sc.edu/mycology/mycology-6.htm
  7. Lefkowitch, Jay H. (2006). Anatomic Pathology Board Review (1st ed.). Saunders. pp. 684. ISBN 978-1416025887.
  8. Schneider E, Whitmore S, Glynn KM, Dominguez K, Mitsch A, McKenna MT (December 2008). "Revised surveillance case definitions for HIV infection among adults, adolescents, and children aged <18 months and for HIV infection and AIDS among children aged 18 months to <13 years--United States, 2008". MMWR Recomm Rep 57 (RR-10): 1–12. PMID 19052530. http://www.cdc.gov/mmwr/preview/mmwrhtml/rr5710a1.htm.
  9. 9.0 9.1 9.2 Humphrey, Peter A; Dehner, Louis P; Pfeifer, John D (2008). The Washington Manual of Surgical Pathology (1st ed.). Lippincott Williams & Wilkins. pp. 103. ISBN 978-0781765275.
  10. Gorocica, P.; Taylor, ML.; Alvarado-Vásquez, N.; Pérez-Torres, A.; Lascurain, R.; Zenteno, E. (May 2009). "The interaction between Histoplasma capsulatum cell wall carbohydrates and host components: relevance in the immunomodulatory role of histoplasmosis.". Mem Inst Oswaldo Cruz 104 (3): 492-6. PMID 19547878.
  11. 11.0 11.1 URL: http://moon.ouhsc.edu/kfung/jty1/opaq/PathQuiz/A6I001-PQ01-M.htm. Accessed on: 19 October 2010
  12. 12.0 12.1 12.2 Humphrey, Peter A; Dehner, Louis P; Pfeifer, John D (2008). The Washington Manual of Surgical Pathology (1st ed.). Lippincott Williams & Wilkins. pp. 3. ISBN 978-0781765275.
  13. Nguyen, C.; Barker, BM.; Hoover, S.; Nix, DE.; Ampel, NM.; Frelinger, JA.; Orbach, MJ.; Galgiani, JN. (Jul 2013). "Recent advances in our understanding of the environmental, epidemiological, immunological, and clinical dimensions of coccidioidomycosis.". Clin Microbiol Rev 26 (3): 505-25. doi:10.1128/CMR.00005-13. PMID 23824371.
  14. Welsh, O.; Vera-Cabrera, L.; Rendon, A.; Gonzalez, G.; Bonifaz, A.. "Coccidioidomycosis.". Clin Dermatol 30 (6): 573-91. doi:10.1016/j.clindermatol.2012.01.003. PMID 23068145.
  15. URL: http://library.med.utah.edu/WebPath/EXAM/IMGQUIZ/pufrm.html. Accessed on: 4 December 2011.
  16. Redhead, SA.; Cushion, MT.; Frenkel, JK.; Stringer, JR.. "Pneumocystis and Trypanosoma cruzi: nomenclature and typifications.". J Eukaryot Microbiol 53 (1): 2-11. doi:10.1111/j.1550-7408.2005.00072.x. PMID 16441572.
  17. URL: http://en.wiktionary.org/wiki/crypto-. Accessed on: 12 April 2012.
  18. Lefkowitch, Jay H. (2006). Anatomic Pathology Board Review (1st ed.). Saunders. pp. 423 Q29. ISBN 978-1416025887.
  19. URL: http://flylib.com/books/en/2.953.1.17/1/. Accessed on: 15 December 2010.
  20. http://www.dpd.cdc.gov/dpdx/HTML/Cryptosporidiosis.htm
  21. URL: https://www.ncbi.nlm.nih.gov/books/NBK537268/. Accessed on: 2022 June 22.
  22. Salerno, C.; Pascale, M.; Contaldo, M.; Esposito, V.; Busciolano, M.; Milillo, L.; Guida, A.; Petruzzi, M. et al. (Mar 2011). "Candida-associated denture stomatitis.". Med Oral Patol Oral Cir Bucal 16 (2): e139-43. PMID 20711156.
  23. Veligandla, SR.; Hinrichs, SH.; Rupp, ME.; Lien, EA.; Neff, JR.; Iwen, PC. (Oct 2002). "Delayed diagnosis of osseous blastomycosis in two patients following environmental exposure in nonendemic areas.". Am J Clin Pathol 118 (4): 536-41. doi:10.1309/JEJ0-3N98-C3G8-21DE. PMID 12375640.
  24. 24.0 24.1 Didier, ES. (Apr 2005). "Microsporidiosis: an emerging and opportunistic infection in humans and animals.". Acta Trop 94 (1): 61-76. doi:10.1016/j.actatropica.2005.01.010. PMID 15777637.
  25. 25.0 25.1 25.2 25.3 Didier, ES.; Weiss, LM. (Oct 2011). "Microsporidiosis: not just in AIDS patients.". Curr Opin Infect Dis 24 (5): 490-5. doi:10.1097/QCO.0b013e32834aa152. PMID 21844802.
  26. Orenstein, JM.. "Diagnostic pathology of microsporidiosis.". Ultrastruct Pathol 27 (3): 141-9. PMID 12775504.
  27. URL: http://wwwnc.cdc.gov/eid/article/18/2/11-1319_article.htm. Accessed on: 2 June 2012.