Hamazaki-Wesenberg bodies

From Libre Pathology
Jump to navigation Jump to search
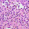
Hamazaki-Wesenberg bodies. H&E stain.

Hamazaki-Wesenberg bodies are a benign lymph node finding associated with sinus histiocytosis.[1]

They are also known as yellow bodies, yellow‐brown bodies and Hamazaki corpuscles.

General

  • May be seen in a number of conditions.

Microscopic

Features:[1]

  • Round bodies ~2-8 micrometres - brown-yellow.

DDx:

Stains

Features:[1]

  • GMS = black (positive).
    • May lead to confusion with fungal organisms.
  • PASD = bright red.

Image

www:

See also

References

  1. 1.0 1.1 1.2 Winters, R.; Kida, M.; Cooper, K. (Oct 2007). "Hamazaki-Wesenberg bodies in two patients with no history of sarcoidosis.". J Clin Pathol 60 (10): 1169-71. doi:10.1136/jcp.2006.045997. PMID 17906070.