Hepatic adenoma
Jump to navigation
Jump to search
| Hepatic adenoma | |
|---|---|
| Diagnosis in short | |
|
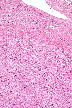
Hepatic adenoma. H&E stain. | |
|
| |
| Synonyms | hepatocellular adenoma |
|
| |
| LM | sheets or cords of cells with mild variation of cell and nuclear size; cords of cells up to 3 cells thick, vascular (large arteries, dilated thin-walled veins), +/-cytoplasmic clearing/pale (due to glycogen); negatives: no bile ducts, no portal tracts, no cirrhosis |
| Subtypes | inflammatory hepatic adenoma (AKA telangiectatic adenoma), hepatocyte nuclear factor 1 alpha-mutated hepatic adenoma, beta-catenin-mutated hepatic adenoma, unclassified hepatic adenoma |
| LM DDx | hepatocellular carcinoma (well-differentiated), focal nodular hyperplasia |
| Gross | well-circumscribed, typically subcapsular |
| Site | liver - see liver neoplasms |
|
| |
| Clinical history | women +/-OCP use |
| Prevalence | uncommon |
| Radiology | subcapsular, well-circumscribed |
| Prognosis | benign |
Hepatic adenoma, also known as hepatocellular adenoma (abbreviated HCA), is a benign neoplasm of the liver.
General
- Grow under the influence of sex hormones.
- Associated with oral contraceptive pill (OCP) use[1][2] - may regress with discontinuation.
- May rupture in pregnancy.
- Usually diagnosed by radiology.
Gross
Features:[3]
- Often subcapsular location.
- Well-circumscribed, but not encapsulated.
Microscopic
Features:
- Sheets or cords of cells with mild variation of cell and nuclear size.[4]
- Cords of cells up to 3 cells thick.[5]
- Cells may have cytoplasmic clearing due to glycogen or be pale - obvious if seen.
- Vascular - large arteries, dilated thin-walled veins.
Negatives:
- No bile ducts.
- No portal tracts.
- No cirrhosis! If cirrhosis is present it isn't a hepatic adenoma - important.
DDx:
- Well-differentiated hepatocellular carcinoma.[6]
- Hepatic adenoma is differentiated from well-differentiated HCC by its architecture; adenomas have cords of cells upto 3 cells thick & have preserved reticulin architecture.
- Focal nodular hyperplasia.
Images
www:
- Hepatic adenoma (ajronline.org).
- Series of liver micrographs including hepatic adenoma (radiographics.rsna.org).
Subclassification
Based on molecular changes:[7][8]
- Inflammatory hepatic adenoma.
- AKA telangiectatic adenoma.[9]
- Associated with obesity.[citation needed]
- Hepatocyte nuclear factor 1 alpha-mutated hepatic adenoma.
- Inactivating mutation.
- Beta-catenin-mutated hepatic adenoma
- Activating mutation.
- Unclassified hepatic adenoma.
Note:
- Beta-catenin is considered an oncogene.
IHC
- AFP -ve. (???)
- HNF1alpha +ve/-ve.
- Beta-catenin +ve/-ve.
See also
References
- ↑ Humphrey, Peter A; Dehner, Louis P; Pfeifer, John D (2008). The Washington Manual of Surgical Pathology (1st ed.). Lippincott Williams & Wilkins. pp. 221. ISBN 978-0781765275.
- ↑ Rooks, JB.; Ory, HW.; Ishak, KG.; Strauss, LT.; Greenspan, JR.; Hill, AP.; Tyler, CW. (Aug 1979). "Epidemiology of hepatocellular adenoma. The role of oral contraceptive use.". JAMA 242 (7): 644-8. PMID 221698.
- ↑ STC S.20, 19 Jan 2009.
- ↑ Cotran, Ramzi S.; Kumar, Vinay; Fausto, Nelson; Nelso Fausto; Robbins, Stanley L.; Abbas, Abul K. (2005). Robbins and Cotran pathologic basis of disease (7th ed.). St. Louis, Mo: Elsevier Saunders. pp. 923. ISBN 0-7216-0187-1.
- ↑ STC S.19, 19 Jan 2009.
- ↑ SN. 29 May 2009.
- ↑ Katabathina, VS.; Menias, CO.; Shanbhogue, AK.; Jagirdar, J.; Paspulati, RM.; Prasad, SR. (Oct 2011). "Genetics and imaging of hepatocellular adenomas: 2011 update.". Radiographics 31 (6): 1529-43. doi:10.1148/rg.316115527. PMID 21997980.
- ↑ Sasaki, M.; Yoneda, N.; Kitamura, S.; Sato, Y.; Nakanuma, Y. (Oct 2011). "Characterization of hepatocellular adenoma based on the phenotypic classification: The Kanazawa experience.". Hepatol Res 41 (10): 982-8. doi:10.1111/j.1872-034X.2011.00851.x. PMID 21883740.
- ↑ Maylee, H.; Harada, K.; Igarashi, S.; Tohda, G.; Yamamoto, M.; Ren, XS.; Osawa, T.; Hasegawa, Y. et al. (Jun 2012). "Case of telangiectatic/inflammatory hepatocellular adenoma arising in a patient with primary sclerosing cholangitis.". Hepatol Res 42 (6): 611-8. doi:10.1111/j.1872-034X.2011.00962.x. PMID 22568458.