Hereditary hemochromatosis

From Libre Pathology
Jump to navigation Jump to search

Hereditary hemochromatosis, abbreviated HH, is a genetic (autosomal dominant inherited) cause of iron deposition.

Secondary causes of hemochromatosis are dealt with in secondary hemochromatosis.

General

Epidemiology:

  • Genetic defect - HFE gene.[1]
    • One mutation (C282Y mutation) in up to 12.5% of people in populations of northern and central European origin.[2]
    • Homozygotes get the disease.[1]
  • Onset in males earlier than females (due to menses).
  • Mutation thought to confer survival advantage - several theories (increased resistance to TB, S. typhi vs. decreased iron deficiency/increased iron absorption).[2]

Associated pathology (mnemonic: hemochromatosis can cause deposits anywhere):[3][4]

Pathophysiology:

Microscopic

Features:

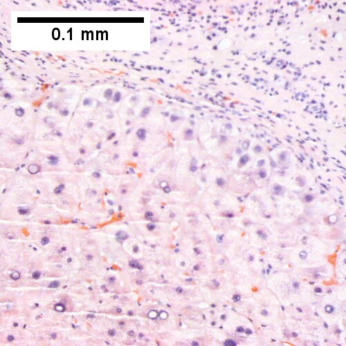
  • Periportal iron deposition (early).
    • Late stage disease has diffuse iron deposition.
  • Brown granular - may vaguely look like lipofuscin on H&E.

Notes:

  • Iron in the bile ducts and endothelium used to be though specific of hereditary hemochromatosis.[7]
    • It is now thought to just reflect the severity of iron deposition, i.e. if the bile ducts and endothelium have iron - it is severe.

DDx - secondary hemochromatosis:

Images

www:

Trichrome shows thin fibrous bands (20X).Iron stain shows dense iron deposition (40X).At high power, a modest inflammatory infiltrate accompanies proliferating bile ductules; no piecemeal necrosis (400X)Reticulin stain with regenerative findings, cords with two nuclei thickness, hepatic acini (400X, higher pixel photo)

Hemochromatosis with bridging fibrosis. Trichrome shows thin fibrous bands (Row 1 Left 20X). Iron stain shows dense iron deposition (Row 1 Right 40X). At high power, a modest inflammatory infiltrate accompanies proliferating bile ductules; no piecemeal necrosis (Row 2 Left 400X). Reticulin stain with regenerative findings, cords with two nuclei thickness, hepatic acini (Row 2 right 400X, higher pixel photo).

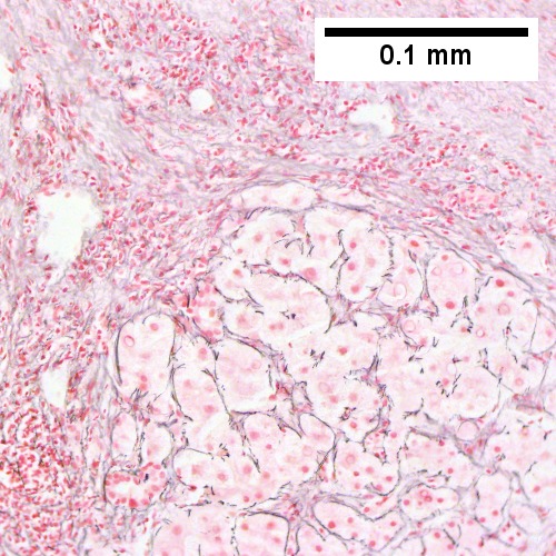
Fibrous bands dissect hepatocyte nodules (Row 1 Left 20X).Iron stain shows 4+ iron, identifiable at the lowest magnification, as well by naked eye (Row 1 Right 20X)
This nodule has occasionally enlarged nuclei, which should not be considered dysplasia in and of itself. Note associated relatively inflammation free band with proliferated bile ductules. (Row 2 Left 400X).Reticulin stain shows two cell thick regenerative cords with sinusoidal black lines lacking orientation (Row 2 Right 400X).

Hemochromatosis with cirrhosis.. Fibrous bands dissect hepatocyte nodules (Row 1 Left 20X). Iron stain shows 4+ iron, identifiable at the lowest magnification, as well by naked eye (Row 1 Right 20X) This nodule has occasionally enlarged nuclei, which should not be considered dysplasia in and of itself. Note associated relatively inflammation free band with proliferated bile ductules. (Row 2 Left 400X). Reticulin stain shows two cell thick regenerative cords with sinusoidal black lines lacking orientation (Row 2 Right 400X).

Stains

Iron stain +ve -- important.

  • Light blue haze is not enough.
    • Must be separated from siderosis -- iron in Kupffer cells.

Grading

The quantity of iron is scored as follows:

  • 0 = none.
  • 1: only at high power.
  • 2: at medium power.
  • 3: at lowest power.
  • 4: seen without microscope.

Molecular

See also

References

  1. 1.0 1.1 Online 'Mendelian Inheritance in Man' (OMIM) 613609
  2. 2.0 2.1 Weinberg ED (2008). "Survival advantage of the hemochromatosis C282Y mutation". Perspect. Biol. Med. 51 (1): 98-102. doi:10.1353/pbm.2008.0001. PMID 18192769.
  3. URL: http://en.wikibooks.org/wiki/USMLE_Step_2_Review. Accessed on: 15 March 2012.
  4. Fix, OK.; Kowdley, KV. (Dec 2008). "Hereditary hemochromatosis.". Minerva Med 99 (6): 605-17. PMID 19034258.
  5. Mahon, NG.; Coonar, AS.; Jeffery, S.; Coccolo, F.; Akiyu, J.; Zal, B.; Houlston, R.; Levin, GE. et al. (Nov 2000). "Haemochromatosis gene mutations in idiopathic dilated cardiomyopathy.". Heart 84 (5): 541-7. PMID 11040018.
  6. von Kempis, J. (Jan 2001). "Arthropathy in hereditary hemochromatosis.". Curr Opin Rheumatol 13 (1): 80-3. PMID 11148720.
  7. MG. 17 September 2009.