Herpes esophagitis
Jump to navigation
Jump to search
| Herpes esophagitis | |
|---|---|
| Diagnosis in short | |
|
Herpes esophagitis | |
|
| |
| LM | nuclear moulding, multinucleation, margination of chromatin |
| IHC | HSV-1 +ve |
| Site | esophagus |
|
| |
| Clinical history | usually immune deficient |
| Prevalence | rare |
| Endoscopy | punched-out ulcers with brown/red edge |
Herpes esophagitis is an inflammation of the esophagus due to herpes simplex virus.
General
- Usually immunodeficient.[1]
Etiology:
Gross/endoscopic
Features:
- Ulcers with a "punched-out" appearance with a brown/red edge.
Images
www:
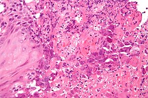
Microscopic
Features (3 Ms):
- Moulding.
- Multinucleation.
- Margination of chromatin.
Images
IHC
- HSV-1 +ve.[2]
- Occasionally HSV-2 +ve.
See also
References
- ↑ Monsanto, P.; Almeida, N.; Cipriano, MA.; Gouveia, H.; Sofia, C. (Sep 2012). "Concomitant herpetic and eosinophilic esophagitis--a causality dilemma.". Acta Gastroenterol Belg 75 (3): 361-3. PMID 23082710.
- ↑ Canalejo Castrillero, E.; García Durán, F.; Cabello, N.; García Martínez, J. (Jul 2010). "Herpes esophagitis in healthy adults and adolescents: report of 3 cases and review of the literature.". Medicine (Baltimore) 89 (4): 204-10. doi:10.1097/MD.0b013e3181e949ed. PMID 20616659.