Hypersensitivity pneumonitis
Jump to navigation
Jump to search
| Hypersensitivity pneumonitis | |
|---|---|
| Diagnosis in short | |
|
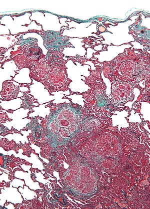
Hypersensitivity pneumonitis. Trichrome stain. | |
|
| |
| Synonyms | extrinsic allergic alveolitis |
|
| |
| LM | centrilobular prominence of lesions, granulomata, chronic interstitial inflammation consisting primarily of lymphocytes, interstitial fibrosis, air space involvement (alveolitis) |
| LM DDx | usual interstitial pneumonia, asbestosis |
| Site | lung - see diffuse lung diseases |
|
| |
| Clinical history | allergen exposure |
| Prevalence | uncommon |
| Radiology | upper lung predominant |
| Prognosis | usu. good if allergen exposure eliminated |
| Clin. DDx | other diffuse lung diseases, esp. idiopathic pulmonary fibrosis |
| Treatment | eliminate allergen exposure |
Hypersensitivity pneumonitis, abbreviated HP, is a diffuse lung diseases caused by an allergen.
It is also known as extrinsic allergic alveolitis, abbreviated EAA.
General
- Exposure to stuffs... e.g. moldy hay - Farmer's lung, atypical mycobacteria - hot tub lung.
- Upper lung predominant disease.
- Mnemonic FASSTEN - upper lung field: Farmer's lung, Ankylosing spondylitis, Sarcoidosis, Silicosis, Tuberculosis (miliary), Eosinophilic granuloma, Neurofibromatosis.
- An immune complex-mediated hypersensitivity[1] (Gell-Coombs classification type III).
- If chronic, may develop into a cell-mediated hypersensitivity (Gell-Coombs classification type IV).[2]
Specific diseases/etiology
Selected causes of hypersensitivity pneumonitis:[3]
| Disease | Cause |
|---|---|
| Silicosis | silica exposure |
| Asbestosis | asbestos |
| Flavour-worker's lung (popcorn lung) | diacetyl - used for butter flavour[4] |
| Talcosis | |
| Sick building syndrome | volatile organic compounds, smoke, dampness |
| Berylliosis | beryllium |
| Coal worker’s pneumoconiosis | coal dust |
Gross
- Peripheral or peribronchiolar.[5]
- Not large airways.
Microscopic
Features:
- Lesions have centrilobular prominence - important feature. [6]
- Allergens enter lung through airway which has a centrilobular location.
- Granulomata (not typically seen in UIP) - important feature.[6]
- Chronic interstitial inflammation consisting primarily of lymphocytes.
- Interstitial fibrosis.
- Air space involvement (alveolitis).
DDx:
Images
See also
References
- ↑ Kaltreider, HB. (Nov 1993). "Hypersensitivity pneumonitis.". West J Med 159 (5): 570-8. PMID 8279154. http://www.ncbi.nlm.nih.gov/pmc/articles/pmid/8279154/?tool=pubmed.
- ↑ URL: http://library.med.utah.edu/WebPath/EXAM/IMGQUIZ/pufrm.html. Accessed on: 4 December 2011.
- ↑ Zacharisen MC, Fink JN (November 2011). "Hypersensitivity pneumonitis and related conditions in the work environment". Immunol Allergy Clin North Am 31 (4): 769–86, vii. doi:10.1016/j.iac.2011.07.004. PMID 21978856.
- ↑ Egilman DS, Schilling JH, Menendez L (2011). "A proposal for a safe exposure level for diacetyl". Int J Occup Environ Health 17 (2): 122–34. PMID 21618944.
- ↑ Churg, A.; Muller, NL.; Flint, J.; Wright, JL. (Feb 2006). "Chronic hypersensitivity pneumonitis.". Am J Surg Pathol 30 (2): 201-8. PMID 16434894.
- ↑ 6.0 6.1 Ohtani, Y.; Saiki, S.; Kitaichi, M.; Usui, Y.; Inase, N.; Costabel, U.; Yoshizawa, Y. (Aug 2005). "Chronic bird fancier's lung: histopathological and clinical correlation. An application of the 2002 ATS/ERS consensus classification of the idiopathic interstitial pneumonias.". Thorax 60 (8): 665-71. doi:10.1136/thx.2004.027326. PMID 16061708.