Keloid
(Redirected from Hypertrophic scar)
Jump to navigation
Jump to search
| Keloid | |
|---|---|
| Diagnosis in short | |
|
Template:Px Keloid. H&E stain. | |
|
| |
| LM | thick collagen bundles - surrounded by paler staining fibroblasts, loss of adnexal structures |
| LM DDx | hypertrophic scar, keloidal dermatofibroma |
| Site | skin |
|
| |
| Clinical history | typically dark skinned individuals, prior trauma, burn or surgery |
| Prognosis | benign |
| Treatment | intralesional steroid, radiotherapy, surgery |
| Keloid | |
|---|---|
| External resources | |
| Wikipedia | keloid |
- Hypertrophic scar redirects here.
Keloid is an uncommon abnormal scarring of the skin that extends beyond the boundaries of the initial injury.
General
- Sites of previous trauma/surgery/burn, especially in dark skinned individuals.[1]
- Various treatments:
Note:
- Reported as "keloidal-type collagen"; the clinician decides between hypertrophic scar and keloid.
- A keloid grows beyond the boundaries of the injury site,[4] a hypertrophic scar does not.
Gross
- Scar formation beyond the initial injury site.
Image
- Keloid.jpg
Keloid. (WC)
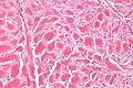
Microscopic
Features:[1]
- Thick collagen bundles - surrounded by paler staining fibroblasts - key feature.
- Lesion replaces adnexal structures, e.g. hair, sweat glands.
DDx:
- Hypertrophic scar.[5]
- Dermatofibroma - esp. keloidal dermatofibroma.[6]
Images
- Keloid - add - low mag.jpg
Keloid - low mag. (WC/Nephron)
- Keloid - add - intermed mag.jpg
Keloid - intermed. mag. (WC/Nephron)
- Keloid - high mag.jpg
Keloid - high mag. (WC/Nephron)
www:
Sign out
SKIN LESION, LEFT SCAPULA, EXCISION: - DERMAL SCAR WITH KELOIDAL-TYPE COLLAGEN, SEE COMMENT. COMMENT: The findings are consistent with a hypertrophic scar or keloid; clinical correlation is required.
Clinical provided
SKIN LESION, LEFT NIPPLE AREOLA, EXCISION: - DERMAL SCAR WITH KELOIDAL-TYPE COLLAGEN, CONSISTENT WITH HYPERTROPHIC SCAR.
See also
References
- ↑ 1.0 1.1 Humphrey, Peter A; Dehner, Louis P; Pfeifer, John D (2008). The Washington Manual of Surgical Pathology (1st ed.). Lippincott Williams & Wilkins. pp. 492. ISBN 978-0781765275.
- ↑ Acosta, S.; Ureta, E.; Yañez, R.; Oliva, N.; Searle, S.; Guerra, C. (Jan 2016). "Effectiveness of Intralesional Triamcinolone in the Treatment of Keloids in Children.". Pediatr Dermatol 33 (1): 75-9. doi:10.1111/pde.12746. PMID 26758090.
- ↑ Trisliana Perdanasari, A.; Lazzeri, D.; Su, W.; Xi, W.; Zheng, Z.; Ke, L.; Min, P.; Feng, S. et al. (Nov 2014). "Recent developments in the use of intralesional injections keloid treatment.". Arch Plast Surg 41 (6): 620-9. doi:10.5999/aps.2014.41.6.620. PMID 25396172.
- ↑ Kelly, AP. (Jun 2009). "Update on the management of keloids.". Semin Cutan Med Surg 28 (2): 71-6. doi:10.1016/j.sder.2009.04.002. PMID 19608056.
- ↑ Gauglitz, GG.; Korting, HC.; Pavicic, T.; Ruzicka, T.; Jeschke, MG.. "Hypertrophic scarring and keloids: pathomechanisms and current and emerging treatment strategies.". Mol Med 17 (1-2): 113-25. doi:10.2119/molmed.2009.00153. PMC 3022978. PMID 20927486. https://www.ncbi.nlm.nih.gov/pmc/articles/PMC3022978/.
- ↑ Kuo, TT.; Hu, S.; Chan, HL. (May 1998). "Keloidal dermatofibroma: report of 10 cases of a new variant.". Am J Surg Pathol 22 (5): 564-8. PMID 9591726.