Inflammatory fibroid polyp

From Libre Pathology
Jump to navigation Jump to search
Inflammatory fibroid polyp
Diagnosis in short

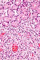
Inflammatory fibroid polyp. H&E stain.

LM proliferating spindle cells - loosely arranged round blood vessels with perivascular hypocellular zones, eosinophils (usually prominent), +/-leiomyoma/schwannoma-like areas - with nuclear palisading
LM DDx inflammatory myofibroblastic tumour, GIST, hemangiopericytoma, eosinophilic gastritis, schwannoma
IHC CD34 +ve, vimentin +ve, CD117 -ve, S-100 -ve
Molecular +/-PDGFRA mutations
Site stomach, other places in the GI tract

Prevalence uncommon
Prognosis good - benign

Inflammatory fibroid polyp, abbreviated IFP, is an uncommon gastrointestinal polyp.

General

  • Benign.
  • Through-out GI tract.
  • Can be thought of as granulation tissue-like.[1]
  • Uncommon.

Microscopic

Features:[2]

  • Proliferating spindle cells (fibroid) - key feature.
    • Loosely arranged, concentrically, around blood vessels.[3]
    • Perivascular hypocellular zones.[1]
  • Inflammation:
    • Eosinophils - often prominent.
  • +/-Leiomyoma/schwannoma-like areas - with nuclear palisading.[1]
  • +/-Vascular for fibrous tissue.
  • Poorly circumscribed/infiltrates into the lamina propria.
  • +/-Myxoid stroma.[4]

Notes:

  • Concentric = share the same centre.[5]

DDx:[6]

Images

IHC

Features:[2]

  • CD34 +ve.
    • There is a CD34 -ve variant.
  • Vimentin +ve -- diffuse.[7]

Others:

  • CD117 -ve.[8]
  • S100 -ve.
  • Cyclin D1 +ve.[9]

Molecular

  • A subset have mutations in PDGFRA.[2]

See also

References

  1. 1.0 1.1 1.2 Tadrous, Paul.J. Diagnostic Criteria Handbook in Histopathology: A Surgical Pathology Vade Mecum (1st ed.). Wiley. pp. 138. ISBN 978-0470519035.
  2. 2.0 2.1 2.2 Daum, O.; Hatlova, J.; Mandys, V.; Grossmann, P.; Mukensnabl, P.; Benes, Z.; Michal, M. (May 2010). "Comparison of morphological, immunohistochemical, and molecular genetic features of inflammatory fibroid polyps (Vanek's tumors).". Virchows Arch 456 (5): 491-7. doi:10.1007/s00428-010-0914-8. PMID 20393746.
  3. Iacobuzio-Donahue, Christine A.; Montgomery, Elizabeth A. (2005). Gastrointestinal and Liver Pathology: A Volume in the Foundations in Diagnostic Pathology Series (1st ed.). Churchill Livingstone. pp. 115. ISBN 978-0443066573.
  4. Islam, RS.; Patel, NC.; Lam-Himlin, D.; Nguyen, CC. (Oct 2013). "Gastric polyps: a review of clinical, endoscopic, and histopathologic features and management decisions.". Gastroenterol Hepatol (N Y) 9 (10): 640-51. PMID 24764778.
  5. URL: http://dictionary.reference.com/browse/concentric. Accessed on: 29 November 2011.
  6. Rossi, P.; Montuori, M.; Balassone, V.; Ricciardi, E.; Anemona, L.; Manzelli, A.; Petrella, G.. "Inflammatory fibroid polyp. A case report and review of the literature.". Ann Ital Chir 83 (4): 347-51. PMID 22759473.
  7. Kolodziejczyk, P.; Yao, T.; Tsuneyoshi, M. (Nov 1993). "Inflammatory fibroid polyp of the stomach. A special reference to an immunohistochemical profile of 42 cases.". Am J Surg Pathol 17 (11): 1159-68. PMID 8214261.
  8. Ozolek, JA.; Sasatomi, E.; Swalsky, PA.; Rao, U.; Krasinskas, A.; Finkelstein, SD. (Mar 2004). "Inflammatory fibroid polyps of the gastrointestinal tract: clinical, pathologic, and molecular characteristics.". Appl Immunohistochem Mol Morphol 12 (1): 59-66. PMID 15163021.
  9. Pantanowitz, L.; Antonioli, DA.; Pinkus, GS.; Shahsafaei, A.; Odze, RD. (Jan 2004). "Inflammatory fibroid polyps of the gastrointestinal tract: evidence for a dendritic cell origin.". Am J Surg Pathol 28 (1): 107-14. PMID 14707872.