LP:Sandbox

From Libre Pathology
Jump to navigation Jump to search
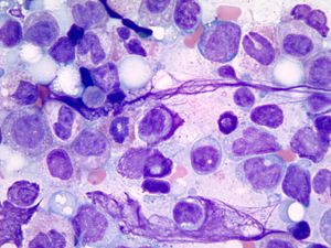
Atypical granulocytic lineage cells in a patient with myelodysplasia.
Atypical ductal hyperplasia. Very low magnification. H&E stain. (WC/Nephron)

The sandbox is a test page.

This is a place where things can be tried.

A reference follows this sentence.[1]

Another reference follows this sentence.[2]

Section

This is another section.

Tubular adenomas are a precursor CRC[3] Example.jpg

A brokennn link is here.

File:Link to nonexistant file.jpg

I am adding some text.

DOI

doi:10.1038/ng.2868

doi:10.1038/ng.2868

See also

References

  1. This is a reference.
  2. Bonert, M.; Saville, BA. (2010). "A non-dimensional analysis of hemodialysis.". Open Biomed Eng J 4: 138-55. doi:10.2174/1874120701004010138. PMID 21673980.
  3. Roloff, KA.; Brown, E.; Stepanyan, G.; Valenzuela, GR. (May 2015). "Timing of Indicated Repeat Cesarean Delivery Before 39 Weeks of Gestation [151].". Obstet Gynecol 125 Suppl 1: 52S. doi:10.1097/01.AOG.0000463691.56327.ae. PMID 25930481.