Lipoma

From Libre Pathology
Jump to navigation Jump to search
Lipoma
Diagnosis in short

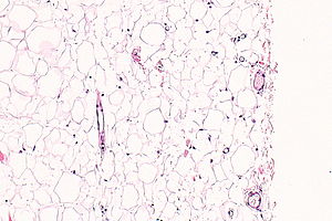
Mature adipose tissue (lipoma). H&E stain.

Synonyms steatoma (old term, ambiguous)

LM mature adipocytes
LM DDx liposarcoma, benign fat
IHC S-100 +ve
Molecular MDM2/CDK4 amplification absent
Gross soft yellow tissue - typically with a thin capsule and lobulated
Site soft tissue

Signs pillow sign (endoscopy)
Prevalence common
Endoscopy smooth yellow coloured submucosal lesion
Prognosis benign
Treatment surgical removal or follow-up

Lipoma is a benign adipocytic tumour.

General

  • Benign.
  • Several variants exist.
  • May be seen in association with MERRF syndrome (myoclonic epilepsy with ragged-red fibres).[1]
  • May be seen in the context of Madelung's disease.[2]

Gross

  • Soft yellow tissue - typically lobulated and with a very thin capsule.

Note:

  • May be quite large ~10 cm.
  • Thigh lesions are more likely to the malignant than other sites.[3]

Microscopic

Features:

  • Collection of mature adipocytes.
    • Variation of size may be seen -- should prompt a search for lipoblasts.[4]

Notes:

  • Microscopically not definitely distinguishable from mature clump of fat.
    • The lesion must be labeled lipoma (by the clinican) to be signed-out as such.

DDx:

  • Liposarcoma - increased number of blood vessels,[5] esp. chickenwire-like vessels, fibrous septae.
  • Benign adipose tissue.

Images:

Variants

Angiolipoma

Microscopic:

  • Numerous blood vessels present.
  • +/-Microthrombi.

DDx:

Myolipoma

General:

  • May mimic a sarcoma radiologically.[7]
  • Extremely rare.[8]
  • Usually large ~ 16 cm.[9]

Microscopic:[8]

  • Mature adipose tissue.
  • Benign smooth muscle - usually ~ 2x amount of fat.

Note:

  • If skeletal muscle is present consider intramuscular lipoma.[10]

IHC:[8]

  • Actin +ve.
  • Desmin +ve.

Images:

Images

Molecular

  • MDM2/CDK4 gene amplification absent.
    • Testing suggested in lesions greater than 10 cm, thigh lesions and lesions with cytologic atypia.[3]

Sign out

Large lesion looks like lipoma

Bland lesions may be well-differentiated liposarcoma.[12] Lesions >10 cm should be of concern.

 
Lesion (Submitted as "Lipoma"), Right Neck, Excision:
	- Bland appearing adipose tissue suggestive of lipoma, see comment.
	- One benign lymph node.

Comment:
Due to the size of the lesion, the case will be sent to a soft tissue pathologist for review.

Block letter

SUBCUTANEOUS TISSUE ("LIPOMA"), LEFT AXILLA, EXCISION: 
- MATURE ADIPOSE TISSUE CONSISTENT WITH LIPOMA.
LESION ("LIPOMA"), SPERMATIC CORD (LATERALITY NOT SPECIFIED), EXCISION: 
- MATURE ADIPOSE TISSUE CONSISTENT WITH LIPOMA.

Colonic lipoma (clinically suspected)

B. SIGMOID COLON AT 55 CM, BIOPSY:
- COLORECTAL-TYPE MUCOSA WITHIN NORMAL LIMITS WITH A SMALL AMOUNT OF SUBMUCOSAL
  ADIPOSE TISSUE; COMPATIBLE WITH CLINICAL IMPRESSION OF LIPOMA.

Mirco

The sections show mature adipocytes. There is no increase in vascularity. No thick fibrous septa are present.

See also

References

  1. Jones, AP.; Lewis, CJ.; Dildey, P.; Hide, G.; Ragbir, M. (Jan 2012). "Lipoma or liposarcoma? A cautionary case report.". J Plast Reconstr Aesthet Surg 65 (1): e11-4. doi:10.1016/j.bjps.2011.08.004. PMID 21865105.
  2. Mayo Yáñez, M.; González Poggioli, N.; Álvarez-Buylla Blanco, M.; Herranz González-Botas, J. (Nov 2017). "Benign symmetric lipomatosis with lingual involvement: Case report and literature review.". J Stomatol Oral Maxillofac Surg. doi:10.1016/j.jormas.2017.11.006. PMID 29129710.
  3. 3.0 3.1 Wong, DD.; Low, IC.; Peverall, J.; Robbins, PD.; Spagnolo, DV.; Nairn, R.; Carey-Smith, RL.; Wood, D. (Apr 2016). "MDM2/CDK4 gene amplification in large/deep-seated 'lipomas': incidence, predictors and clinical significance.". Pathology 48 (3): 203-9. doi:10.1016/j.pathol.2016.02.007. PMID 27020493.
  4. Mentzel, T.; Fletcher, CD. (1995). "Lipomatous tumours of soft tissues: an update.". Virchows Arch 427 (4): 353-63. PMID 8548119.
  5. Yang, YJ.; Damron, TA.; Cohen, H.; Hojnowski, L. (Oct 2001). "Distinction of well-differentiated liposarcoma from lipoma in two patients with multiple well-differentiated fatty masses.". Skeletal Radiol 30 (10): 584-9. doi:10.1007/s002560100395. PMID 11685482.
  6. Friedberg, MK.; Chang, IL.; Silverman, NH.; Ramamoorthy, C.; Chan, FP. (May 2006). "Images in cardiovascular medicine. Near sudden death from cardiac lipoma in an adolescent.". Circulation 113 (21): e778-9. doi:10.1161/CIRCULATIONAHA.105.589630. PMID 16735681. http://circ.ahajournals.org/content/113/21/e778.full.
  7. URL: http://www.webmedcentral.com/article_view/1878. Accessed on: 14 March 2013.
  8. 8.0 8.1 8.2 Murphey, MD.; Carroll, JF.; Flemming, DJ.; Pope, TL.; Gannon, FH.; Kransdorf, MJ.. "From the archives of the AFIP: benign musculoskeletal lipomatous lesions.". Radiographics 24 (5): 1433-66. doi:10.1148/rg.245045120. PMID 15371618. http://radiographics.rsna.org/content/24/5/1433.long.
  9. Meis, JM.; Enzinger, FM. (Feb 1991). "Myolipoma of soft tissue.". Am J Surg Pathol 15 (2): 121-5. PMID 1703396.
  10. URL: http://surgpathcriteria.stanford.edu/softfat/lipoma/intramuscular_lipoma.html. Accessed on: 14 March 2013.
  11. Lee, YS.; Park, SE.; Lee, JU.; Choi, ES.. "MRI of a subcutaneous myolipoma in the ankle: a case report.". Korean J Radiol 12 (5): 641-5. doi:10.3348/kjr.2011.12.5.641. PMC 3168809. PMID 21927569. https://www.ncbi.nlm.nih.gov/pmc/articles/PMC3168809/.
  12. URL: https://www.ncbi.nlm.nih.gov/pmc/articles/PMC3422587/. Accessed on: 3 June 2017.