Luteinized follicular cyst
Jump to navigation
Jump to search
Luteinized follicular cyst is a benign finding in gynecologic pathology.
General
- Benign.
Microscopic
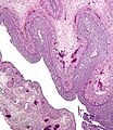
Features:[1]
- Stratified cuboidal/columnar epithelium-like cells with:
- Small nuclei and small nucleoli.
- Cytoplasm may be eosinophilic.
- Sit on spindled cells (theca interna) that is luteinized.
Image
See also
References
- ↑ URL: http://www.med-ed.virginia.edu/courses/path/gyn/ovary2.cfm. Accessed on: 20 May 2010.
.