Myocarditis

From Libre Pathology
Jump to navigation Jump to search

Myocarditis is inflammation of the heart.

Idiopathic granulomatous myocarditis is dealt with in a separate article.

General

  • Uncommon.

Gross

  • Not apparent on gross.

Grossing:

  • Requires 10 sections to exclude;[1] sections should include right ventricle and left ventricle.
    • It is often missed with five.[2]

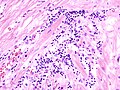
Microscopic

Features:

  • Inflammation.
  • Myocyte necrosis - disputed.[3]

Classification

Classified by the inflammatory cells present:[4]

  • Eosinophilic - hypersensitivity myocarditis - most common.
    • May be assoc. with peripheral blood eosinophilia.[5]
  • Lymphocytic - viral, autoimmune.
  • Granulomatous - infectious, idiopathic.
  • Neutrophilic.
  • Reperfusion (associated with myocardial infarction).

Images

www

See also

References

  1. KC. 1 October 2010.
  2. Kubo, N.; Morimoto, S.; Hiramitsu, S.; Uemura, A.; Kimura, K.; Shimizu, K.; Hishida, H. (1997). "Feasibility of diagnosing chronic myocarditis by endomyocardial biopsy.". Heart Vessels 12 (4): 167-70. PMID 9559966.
  3. Baughman, KL. (Jan 2006). "Diagnosis of myocarditis: death of Dallas criteria.". Circulation 113 (4): 593-5. doi:10.1161/CIRCULATIONAHA.105.589663. PMID 16449736.
  4. http://emedicine.medscape.com/article/1612533-overview
  5. 5.0 5.1 Amini R, Nielsen C (2010). "Eosinophilic myocarditis mimicking acute coronary syndrome secondary to idiopathic hypereosinophilic syndrome: a case report". J Med Case Reports 4: 40. doi:10.1186/1752-1947-4-40. PMC 2830978. PMID 20181108. https://www.ncbi.nlm.nih.gov/pmc/articles/PMC2830978/.