Nipple adenoma

From Libre Pathology
Jump to navigation Jump to search
Nipple adenoma
Diagnosis in short

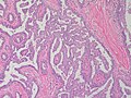
Nipple adenoma. H&E stain.

LM proliferation of epithelial and myoepithelial elements that extends into the breast stroma; not encapsulated; lacks true fibrovascular cores, +/-focal necrosis
LM DDx intraductal papilloma of the breast
Site breast - nipple

Prevalence uncommon
Prognosis benign
Clin. DDx Paget's disease of the breast

Nipple adenoma is a benign pathology of the breast.

It is also known as nipple duct adenoma, nipple adenoma of breast, adenoma of the nipple and florid papillomatosis of the nipple.[1]

General

  • A benign lesion with papillary architecture arising at the nipple.
  • Rare.[2]
  • Reported in men.[1]

Clinical DDx:

Microscopic

Features:

  • Not encapsulated.[4]
  • Proliferation of epithelial and myoepithelial elements that extends into the breast stroma.[4]
  • Arborising papillomatous epithelial proliferation within duct
  • (Papillae have fibrovascular cores) at least as far as I can see but not according to Stanford.
  • Florid epithelial hyperplasia can be seen
  • Can see haphazard arrangement of proliferating tubular structures

Notes:

  • Lacks true fibrovascular cores.[5]
  • Focal necrosis may be present.[6]

DDx:

  • Intraductal papilloma of the breast.
    • Found within the duct not the stroma.
    • Often deeper - one should not see skin in the histologic section.
  • Syringomatous adenoma
  • Intraductal carcinoma - the proliferation in nipple adenoma should be no more atypical than that seen with usual intraductal hyperplasia or intraductal papillomatosis. Cribriforming glands should be absent
  • Invasive ductal carcinoma - IHC is useful (see below) the ducts should all be lined by myoepithelium.

Images

www:

See also

References

  1. 1.0 1.1 Boutayeb, S.; Benomar, S.; Sbitti, Y.; Harroudi, T.; Hassam, B.; Errihani, H. (2012). "Nipple adenoma in a man: An unusual case report.". Int J Surg Case Rep 3 (5): 190-2. doi:10.1016/j.ijscr.2011.05.008. PMID 22342578.
  2. Shinn, L.; Woodward, C.; Boddu, S.; Jha, P.; Fouroutan, H.; Péley, G.. "Nipple adenoma arising in a supernumerary mammary gland: a case report.". Tumori 97 (6): 812-4. doi:10.1700/1018.11102. PMID 22322852.
  3. HANDLEY, RS.; THACKRAY, AC. (Jun 1962). "Adenoma of nipple.". Br J Cancer 16: 187-94. PMC 2070922. PMID 13904317. http://www.ncbi.nlm.nih.gov/pmc/articles/PMC2070922/?tool=pubmed.
  4. 4.0 4.1 "Adenoma of Nipple.". Br Med J 1 (5330): 563. Mar 1963. PMC 2123505. PMID 20789667. http://www.ncbi.nlm.nih.gov/pmc/articles/PMC2123505/?page=1.
  5. URL: http://surgpathcriteria.stanford.edu/breast/nippleadenoma/printable.html. Accessed on: 6 August 2011.
  6. Lefkowitch, Jay H. (2006). Anatomic Pathology Board Review (1st ed.). Saunders. pp. 307 Q16. ISBN 978-1416025887.