Osteoma

From Libre Pathology
Jump to navigation Jump to search
Osteoma
Diagnosis in short

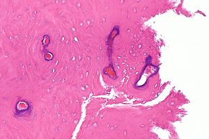
Benign bone consistent with osteoma. H&E stain.

LM benign (normal) bone
LM DDx normal bone
Site bone

Syndromes familial adenomatous polyposis

Prevalence common
Prognosis benign
Treatment excise if symptomatic or growing

Osteoma is a benign chondro-osseous tumour that may be seen in the context of familial adenomatous polyposis.

It should not be confused with osteoid osteoma.

General

Microscopic

Features:

  • Normal bone.

Note:

  • Correlation with radiologic findings is essential.

Images

Sign out

Submitted as "Left Frontal Skull Tumour", Excision:
- Benign bone, compatible with osteoma.

See also

References

  1. Singh, K.; Singh, A.; Kumar, P.; Gupta, N. (Mar 2014). "Prosthodontic management of a patient with Gardner's syndrome: A clinical case report.". Dent Res J (Isfahan) 11 (2): 276-80. PMID 24932202.