Papillary urothelial neoplasm of low malignant potential
| Papillary urothelial neoplasm of low malignant potential | |
|---|---|
| Diagnosis in short | |
|
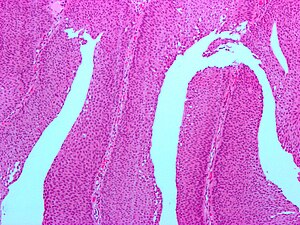
PUNLMP. H&E stain. | |
|
| |
| LM | rare fused papillae, infrequent mitoses, nuclei larger than papilloma - but monotonous |
| LM DDx | low grade papillary urothelial carcinoma, urothelial papilloma |
| Site | urothelium |
|
| |
| Prevalence | uncommon |
| Treatment | excision and on-going follow-up - like non-invasive low grade papillary urothelial carcinoma |
Papillary urothelial neoplasm of low malignant potential, abbreviated PUNLMP, is an uncommon urothelial lesion that is similar to low-grade papillary urothelial carcinoma.
PUNLMP is pronounced pun-lump.
Inverted urothelial neoplasm of low malignant potential (abbreviated IUNLMP) redirects here.
General
- Uncommon: prevalence ~ 0-3.5%.[1]
- PUNLMP vs. low grade papillary urothelial carcinoma has a poor inter-rater reliability.[2]
Treatment:
- Excision and on-going follow-up - like non-invasive low grade papillary urothelial carcinoma (LGPUC).[3]
Microscopic
Features:[5]
- Rare fused papillae.
- Infrequent mitoses.
- Nuclei larger than papilloma - but monotonous.[6]
Note:
- May grow downward; known as PUNLMP with inverted growth[7] and inverted urothelial neoplasm of low malignant potential (abbreviated IUNLMP).[8]
DDx:
Images
Sign out
Urinary Bladder Tumour, Transurethral Resection:
- Papillary urothelial neoplasm of low malignant potential (PUNLMP).
Micro
The sections show a papillary urothelial lesion with minimal anisonucleosis. The papillae are predominantly slender and branch. Minimal proliferative activity is present. The lesion is well demarcated in relation to the subepithelial tissue.
Alternate
The sections show a papillary urothelial lesion with monotonous nuclei and minimal atypia. The papillae are predominantly slender and branch. Mitotic figures are very rare. The lesion is well demarcated in relation to the subepithelial tissue.
Inverted pattern predominant
Urinary Bladder Tumour, Transurethral Resection: - Inverted urothelial neoplasm of low malignant potential with an exophytic papillary component. Comment: This lesion is a variant of papillary urothelial neoplasm of low malignant potential (PUNLMP). Followup is required. The case was reviewed by a second GU pathologist.
See also
References
- ↑ May M, Brookman-Amissah S, Roigas J, et al. (March 2009). "Prognostic Accuracy of Individual Uropathologists in Noninvasive Urinary Bladder Carcinoma: A Multicentre Study Comparing the 1973 and 2004 World Health Organisation Classifications". Eur. Urol. 57 (5): 850. doi:10.1016/j.eururo.2009.03.052. PMID 19346063.
- ↑ MacLennan GT, Kirkali Z, Cheng L (April 2007). "Histologic grading of noninvasive papillary urothelial neoplasms". Eur. Urol. 51 (4): 889–97; discussion 897–8. doi:10.1016/j.eururo.2006.10.037. PMID 17095142.
- ↑ Jones TD, Cheng L (June 2006). "Papillary urothelial neoplasm of low malignant potential: evolving terminology and concepts". J. Urol. 175 (6): 1995–2003. doi:10.1016/S0022-5347(06)00267-9. PMID 16697785.
- ↑ Cheng, L.; Maclennan, GT.; Lopez-Beltran, A. (Dec 2012). "Histologic grading of urothelial carcinoma: a reappraisal.". Hum Pathol 43 (12): 2097-108. doi:10.1016/j.humpath.2012.01.008. PMID 22542126.
- ↑ Humphrey, Peter A; Dehner, Louis P; Pfeifer, John D (2008). The Washington Manual of Surgical Pathology (1st ed.). Lippincott Williams & Wilkins. pp. 310. ISBN 978-0781765275.
- ↑ Zhou, Ming; Magi-Galluzzi, Cristina (2006). Genitourinary Pathology: A Volume in Foundations in Diagnostic Pathology Series (1st ed.). Churchill Livingstone. pp. 170. ISBN 978-0443066771.
- ↑ Maxwell, JP.; Wang, C.; Wiebe, N.; Yilmaz, A.; Trpkov, K. (2015). "Long-term outcome of primary Papillary Urothelial Neoplasm of Low Malignant Potential (PUNLMP) including PUNLMP with inverted growth.". Diagn Pathol 10: 3. doi:10.1186/s13000-015-0234-z. PMID 25886613.
- ↑ Montironi, R.; Cheng, L.; Lopez-Beltran, A.; Scarpelli, M.; Mazzucchelli, R.; Mikuz, G.; Kirkali, Z.; Montorsi, F. (Feb 2011). "Inverted (endophytic) noninvasive lesions and neoplasms of the urothelium: the Cinderella group has yet to be fully exploited.". Eur Urol 59 (2): 225-30. doi:10.1016/j.eururo.2010.11.018. PMID 21122976.