Perineurioma

From Libre Pathology
Jump to navigation Jump to search

Perineurioma is an uncommon benign peripheral nerve sheath tumour.

General

  • Benign tumour derived from perineurial cells (intraneural or soft tissue).
    • ICD-O 9571/0
    • WHO grade I
  • Rarely malignant soft tissue perineurioma.

Variant:

  • Reticular perineurioma.[1]

Macroscopy

  • Intraneural perineurioma: segmental tubular enlargement of the nerve.
  • Soft tissue perineurioma: Well circumscribed, but not encapsulated.
  • Sclerosing perineurioma: Predilection for hands.[2]

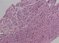
Microscopic

Features:[3]

  • Perineural epithelioid cells.
    • Abundant pale, fluffy appearing cytoplasm.

Note:

  • May be intraneural.[3]
    • Typical pseudo-onion bulbs.
    • Long considered hypertrophic neuropathy.
    • Rare (less than 1% of all nerve sheath tumours).

DDx:

Images:

IHC

Features:[4][5]

  • S100 -ve.
  • EMA +ve.
  • CD34 ~65% +ve.[4]

Molecular

  • Frequent TRAF7 mut.[6]

See also

References

  1. Graadt van Roggen, JF.; McMenamin, ME.; Belchis, DA.; Nielsen, GP.; Rosenberg, AE.; Fletcher, CD. (Apr 2001). "Reticular perineurioma: a distinctive variant of soft tissue perineurioma.". Am J Surg Pathol 25 (4): 485-93. PMID 11257623.
  2. Fetsch JF, Miettinen M (December 1997). "Sclerosing perineurioma: a clinicopathologic study of 19 cases of a distinctive soft tissue lesion with a predilection for the fingers and palms of young adults". Am. J. Surg. Pathol. 21 (12): 1433–42. doi:10.1097/00000478-199712000-00005. PMID 9414186.
  3. 3.0 3.1 3.2 Mills, Stacey E; Carter, Darryl; Greenson, Joel K; Reuter, Victor E; Stoler, Mark H (2009). Sternberg's Diagnostic Surgical Pathology (5th ed.). Lippincott Williams & Wilkins. pp. 424. ISBN 978-0781779425.
  4. 4.0 4.1 Hornick, JL.; Fletcher, CD. (Jul 2005). "Soft tissue perineurioma: clinicopathologic analysis of 81 cases including those with atypical histologic features.". Am J Surg Pathol 29 (7): 845-58. PMID 15958848.
  5. Tsang, WY.; Chan, JK.; Chow, LT.; Tse, CC. (Aug 1992). "Perineurioma: an uncommon soft tissue neoplasm distinct from localized hypertrophic neuropathy and neurofibroma.". Am J Surg Pathol 16 (8): 756-63. PMID 1497116.
  6. Klein CJ, Wu Y, Jentoft ME, Mer G, Spinner RJ, Dyck PJ, Dyck PJ, Mauermann ML (February 2017). "Genomic analysis reveals frequent TRAF7 mutations in intraneural perineuriomas". Ann. Neurol. 81 (2): 316–321. doi:10.1002/ana.24854. PMC 5725965. PMID 28019650. https://www.ncbi.nlm.nih.gov/pmc/articles/PMC5725965/.