Pilomyxoid astrocytoma

From Libre Pathology
Jump to navigation Jump to search

Pilomyxoid astrocytoma is a neuropathology tumour related to pilocytic astrocytoma.

General

Features:[1]

  • A variant of pilocytic astrocytoma.
    • Some have suggested it is a unique entity.[2]
    • Some say the outcome is less good than conventional pilocytic astrocytoma.[3]
    • Tumors may mature to conventional PA over time.[4]
  • Childhood or adolescence.
  • ICD-O: 9425/3

Grading:

  • Currently no WHO grade assigned.[5]
    • From 2007-2016 the tumor was WHO Grade II by definition.[1] Grading was dropped until further studies clarify the true behaviour.

Gross

Features:[1]

  • Classically - hypothalamic location/suprasellar location; may involve the sella turcica.[6]
  • Solid.
  • Well-circumscribed.

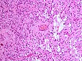
Microscopic

Features:[1]

  • Consists of small round/ovoid bland cells in a myxoid stroma.
  • Hair-like fibres ~ 1 micrometer.
    • Often difficult to appreciate on standard (H&E) histologic sections.
  • Usually angiocentric (surround blood vessel) - key feature.

Notes:[1]

  • Rosenthal fibres are absent - key negative.
  • Monophasic (unlike classical pilocytic astrocytomas) - key negative.
  • May rarely have eosinophilic granular bodies.

Images

See also

References

  1. 1.0 1.1 1.2 1.3 1.4 Perry, Arie; Brat, Daniel J. (2010). Practical Surgical Neuropathology: A Diagnostic Approach: A Volume in the Pattern Recognition series (1st ed.). Churchill Livingstone. pp. 86. ISBN 978-0443069826.
  2. Komotar RJ, Mocco J, Jones JE, et al. (June 2005). "Pilomyxoid astrocytoma: diagnosis, prognosis, and management". Neurosurg Focus 18 (6A): E7. PMID 16048293.
  3. Louis, DN.; Perry, A.; Reifenberger, G.; von Deimling, A.; Figarella-Branger, D.; Cavenee, WK.; Ohgaki, H.; Wiestler, OD. et al. (Jun 2016). "The 2016 World Health Organization Classification of Tumors of the Central Nervous System: a summary.". Acta Neuropathol 131 (6): 803-20. doi:10.1007/s00401-016-1545-1. PMID 27157931.
  4. Kleinschmidt-DeMasters, BK.; Donson, AM.; Vogel, H.; Foreman, NK. (Jul 2015). "Pilomyxoid Astrocytoma (PMA) Shows Significant Differences in Gene Expression vs. Pilocytic Astrocytoma (PA) and Variable Tendency Toward Maturation to PA.". Brain Pathol 25 (4): 429-40. doi:10.1111/bpa.12239. PMID 25521223.
  5. Louis, DN.; Perry, A.; Reifenberger, G.; von Deimling, A.; Figarella-Branger, D.; Cavenee, WK.; Ohgaki, H.; Wiestler, OD. et al. (Jun 2016). "The 2016 World Health Organization Classification of Tumors of the Central Nervous System: a summary.". Acta Neuropathol 131 (6): 803-20. doi:10.1007/s00401-016-1545-1. PMID 27157931.
  6. Alimohamadi M, Bidabadi MS, Ayan Z, Ketabchi E, Amirjamshidi A (December 2009). "Pilomyxoid astrocytoma with involvement of the sella turcica in an adolescent". J Clin Neurosci 16 (12): 1648–9. doi:10.1016/j.jocn.2009.01.035. PMID 19766001.