Primary sclerosing cholangitis

From Libre Pathology
Jump to navigation Jump to search

Primary sclerosing cholangitis, abbreviated PSC, is an uncommon medical liver disease that can afflicts the young and old, and is often associated with ulcerative colitis.

Pericholangitis is considered a synonym for small duct PSC.[1]

General

Serology:

  • p-ANCA (MPO-ANCA) +ve in ~ 90% of cases.[4]

Diagnosis

  • Diagnosed radiologically.
    • Classically described as a chain of lakes.
  • Liver biopsy is rarely useful diagnostically[5] - as the disease may be patchy.
    • The utility of the biopsy is staging.

Treatment

  • None very good.
  • May be indication for transplant.

Microscopic

Features:

  • Classic: "onion-skinning" - cells layer around the bile ducts; "onion skin" present in approx. 40% of cases.[6]
    • Not pathognomonic for PSC[6] - but not too much else looks like this on microscopy (ergo good fellowship exam question).
  • +/-Ductopenia.
  • +/-Ductal proliferation.

Notes:

  • PSC often has minimal inflammation.[7]

DDx:

Staging

Features:[9]

  • Stage I - focal portal inflammation, +/- duct abnormalities, no fibrosis.
  • Stage II - portal enlargement (fibrosis), +/- inflammation.
  • Stage III - bridging fibrosis + necrosis.
  • Stage IV - cirrhosis.

Notes:

  • Similar to PBC staging.

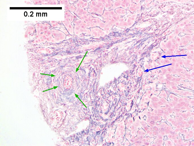
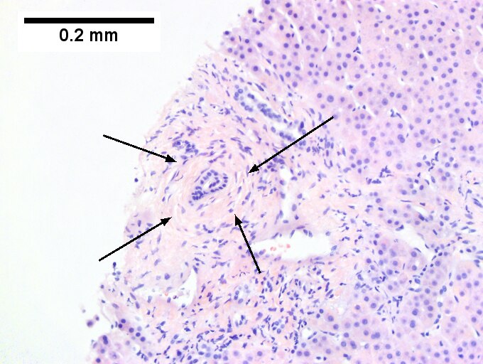
Images

Primary sclerosing cholangitis in patient with history of ulcerative colitis.Primary sclerosing cholangitis in patient with history of ulcerative colitis.
Primary sclerosing cholangitis in patient with history of ulcerative colitis.Primary sclerosing cholangitis in patient with history of ulcerative colitis.
Primary sclerosing cholangitis in patient with history of ulcerative colitis.Primary sclerosing cholangitis in patient with history of ulcerative colitis.


Primary sclerosing cholangitis in patient with history of ulcerative colitis.
Low power shows inflamed bands [green arrows] and a rare scar at the edge of a triad [black arrow] (Row 1 Left 40X). A triad with a characteristic periductal fibrosis [black arrows] is seen (Row 1 Right 200X). Reticulin shows the space about the duct [green arrows], as well as some foci of piecemeal necrosis [blue arrows] (Row 2 Left 200X). Trichrome shows fibrous bridges [black arrows] (Row 2 Right 200X). Damage to bile ducts is seen by peripheral proliferated bile ductules [green arrows] with neutrophils [blue arrows] (Row 3 Left 400X). Also seen is a small periportal bile infarct with necrotic hepatocyte nuclei [black arrows] (Row 3 Right 400X).

See also

References

  1. URL: http://emedicine.medscape.com/article/181889-overview. Accessed on: 25 January 2012.
  2. Khurana V, Singh T. Primary sclerosing cholangitis. eMedicine.com. URL: http://emedicine.medscape.com/article/187724-overview. Accessed on: 29 November 2009.
  3. Jesudian, AB.; Jacobson, IM. (2009). "Screening and diagnosis of cholangiocarcinoma in patients with primary sclerosing cholangitis.". Rev Gastroenterol Disord 9 (2): E41-7. PMID 19668124.
  4. Terjung, B.; Worman, HJ. (Aug 2001). "Anti-neutrophil antibodies in primary sclerosing cholangitis.". Best Pract Res Clin Gastroenterol 15 (4): 629-42. doi:10.1053/bega.2001.0209. PMID 11492972.
  5. Khurana V, Singh T. Primary sclerosing cholangitis. eMedicine.com. URL: http://emedicine.medscape.com/article/187724-diagnosis. Accessed on: 29 November 2009.
  6. 6.0 6.1 Steele et al. URL: http://www.medscape.com/viewarticle/552500_6. Accessed on: 29 November 2009.
  7. STC. 9 December 2010.
  8. Deshpande, V.; Sainani, NI.; Chung, RT.; Pratt, DS.; Mentha, G.; Rubbia-Brandt, L.; Lauwers, GY. (Oct 2009). "IgG4-associated cholangitis: a comparative histological and immunophenotypic study with primary sclerosing cholangitis on liver biopsy material.". Mod Pathol 22 (10): 1287-95. doi:10.1038/modpathol.2009.94. PMID 19633647.
  9. Steele et al. URL: http://www.medscape.com/viewarticle/552500_6. Accessed on: 29 November 2009.
  10. URL: http://trialx.com/curebyte/2011/07/08/clinical-trials-and-images-of-primary-sclerosing-cholangitis/. Accessed on: 1 January 2012.
  11. URL: http://www.onmedica.com/NewsArticle.aspx?id=d7f992b5-6dee-46c6-8383-bbdfb4528ccc. Accessed on: 1 January 2011.
  12. Mendes, F.; Lindor, KD. (Nov 2010). "Primary sclerosing cholangitis: overview and update.". Nat Rev Gastroenterol Hepatol 7 (11): 611-9. doi:10.1038/nrgastro.2010.155. PMID 20938459.