Pterygium
Jump to navigation
Jump to search
| Pterygium | |
|---|---|
| Diagnosis in short | |
|
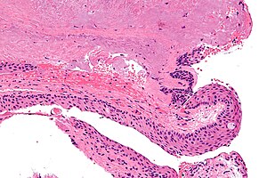
Pterygium. H&E stain. | |
|
| |
| Synonyms | surfer eye |
|
| |
| LM | hyaline material beneath epithelium, elastic fibres beneath the hyaline material, +/-inflammation, solar elastosis, dilated blood vessels |
| LM DDx | squamous dysplasia, squamous cell carcinoma |
| Site | eye - more specifically conjunctiva |
|
| |
| Clinical history | sun exposure |
| Prevalence | common |
| Prognosis | benign |
| Other | pinguecula considered early pterygium by some |
| Treatment | excision |
Pterygium is a common benign pathology of the eye. It is also known as surfer eye.
It is similar to pinguecula and Raizada et al.[1] suggest pinguecula is an early pterygium; however, this is disputed.
General
- Pronounced: "tuh-rij-ee-uhm".[2]
- Conjunctiva lesion that covers part of the sclera.
- Benign.
- Due to ultraviolet light exposure, i.e. sunlight.[4]
Gross
- Medial aspect of eye - covers sclera (white part) and part of the iris (coloured part).
Image
Microscopic
Features:[4]
- Hyaline material beneath epithelium.
- Elastic fibres beneath the hyaline material.
- +/-Inflammation.
- Solar elastosis.[5]
- Dense gray/light brown acellular material.
- Dilated vessels.[5]
Note:
- Goblet cells within the squamous epithelium are expected; normal conjunctiva has goblet cells.
DDx:
- Squamous dysplasia.
- Squamous cell carcinoma.[6]
Images
www:
Sign out
Right eye
Right Eye, Conjunctiva (Submitted as "Pterygium"), Excision: - Conjunctival mucosa with solar elastosis and dilated superficial blood vessels, compatible with pterygium. - NEGATIVE for dysplasia.
Inflammation present
Right Eye, Conjunctiva (Submitted as "Left Pterygium"), Excision: - Conjunctival mucosa with solar elastosis, mild inflammation and dilated superficial blood vessels, compatible with pterygium. - NEGATIVE for dysplasia.
No solar elastosis
Right Eye, Conjunctiva (Submitted as "Right Pterygium"), Excision: - Conjunctival mucosa with dilated superficial blood vessels and benign mild stromal changes. - NEGATIVE for dysplasia.
Block letters
CONJUNCTIVA ("PTERYGIUM"), RIGHT, EXCISION:
- CONJUNCTIVAL MUCOSA WITH STROMAL ACTINIC CHANGES -- CONSISTENT WITH PTERYGIUM.
CONJUNCTIVA ("PTERYGIUM"), RIGHT, EXCISION:
- CONJUNCTIVAL MUCOSA WITH STROMAL ACTINIC CHANGES -- CONSISTENT WITH PTERYGIUM.
- NEGATIVE FOR DYSPLASIA.
CONJUNCTIVA ("PTERYGIUM"), RIGHT EYE, EXCISION:
- CONJUNCTIVAL MUCOSA WITH SOLAR ELASTOSIS AND DILATED SUPERFICIAL BLOOD VESSELS -- CONSISTENT WITH PTERYGIUM.
- NEGATIVE FOR DYSPLASIA.
Left eye
CONJUNCTIVA ("PTERYGIUM"), LEFT EYE, EXCISION:
- CONJUNCTIVAL MUCOSA WITH SOLAR ELASTOSIS AND DILATED SUPERFICIAL BLOOD VESSELS -- CONSISTENT WITH PTERYGIUM.
- NEGATIVE FOR DYSPLASIA.
See also
References
- ↑ Raizada, IN.; Bhatnagar, NK. (Jul 1976). "Pinguecula and pterygium (a histopathological study).". Indian J Ophthalmol 24 (2): 16-8. PMID 1031388.
- ↑ URL: http://dictionary.reference.com/browse/pterygium. Accessed on: 20 October 2011
- ↑ URL: http://www.ncbi.nlm.nih.gov/pubmedhealth/PMH0002006/. Accessed on: 20 October 2011.
- ↑ 4.0 4.1 Hill, JC.; Maske, R. (1989). "Pathogenesis of pterygium.". Eye (Lond) 3 ( Pt 2): 218-26. doi:10.1038/eye.1989.31. PMID 2695353.
- ↑ 5.0 5.1 URL: http://www.uic.edu/depts/mcpt/eyepath/specco4.htm. Accessed on: 25 October 2011.
- ↑ Clear, AS.; Chirambo, MC.; Hutt, MS. (Feb 1979). "Solar keratosis, pterygium, and squamous cell carcinoma of the conjunctiva in Malawi.". Br J Ophthalmol 63 (2): 102-9. PMC 1043407. PMID 427069. https://www.ncbi.nlm.nih.gov/pmc/articles/PMC1043407/.