Renal failure
Jump to navigation
Jump to search
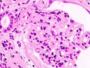
Nodular glomerulosclerosis in diabetes, a common cause of chronic renal failure. H&E stain. (WC/KGH)
Renal failure, also kidney failure, is dysfunction of the kidneys.
It can be subdivided in a number of different ways.
Acutity
- Acute kidney injury (abbreviated AKI) - previously acute renal failure (abbreviated ARF).
- Chronic renal failure (CRF).
Acute kidney injury
- Acute tubular necrosis.
- Acute cardiac failure, e.g. myocardial infarction.
- Cholesterol embolism.[1]
- Hepatorenal syndrome.
Chronic renal failure
- Diabetic nephropathy (diabetes mellitus).
- IgA nephropathy.
- Autosomal dominant polycystic kidney disease.
- Lupus nephritis (systemic lupus erythematosus).
- Wegener's granulomatosis.
- Chronic cardiac insufficiency (congestive heart failure).
Note:
- The cause of end-stage renal disease (like end-stage liver disease) may be difficult to determine.
Anatomical cause
Renal failure 101:
- Pre-renal.
- Renal.
- Post-renal.
Pre-renal
- Hypotension due to blood loss (e.g. blunt force trauma, sharp force trauma, gunshot wound).
- Reduced cardiac output, e.g. myocardial infarction.
- Renal artery stenosis.
Renal
Post-renal
- Nodular hyperplasia of the prostate.
- Obstruction due to abdominal malignancy.
- Posterior urethral valves.
See also
References
- ↑ Saric M, Kronzon I (November 2011). "Cholesterol embolization syndrome". Curr. Opin. Cardiol. 26 (6): 472–9. doi:10.1097/HCO.0b013e32834b7fdd. PMID 21993354.