Papillary adenoma of the kidney
(Redirected from Renal papillary adenoma)
Jump to navigation
Jump to search
| Papillary adenoma of the kidney | |
|---|---|
| Diagnosis in short | |
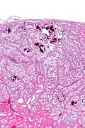
|
Papillary adenoma. H&E stain. | |
|
| |
| Synonyms | papillary adenoma, renal papillary adenoma |
|
| |
| LM | papillae typically with foam cells, +/-psammoma bodies, low ISUP nucleolar grade, must be <=1.5 cm |
| LM DDx | papillary renal cell carcinoma, metanephric adenoma |
| IHC | AMACR +ve |
| Gross | typically subcapsular location |
| Site | kidney - see kidney tumours |
|
| |
| Associated Dx | often seen with papillary renal cell carcinoma |
| Clinical history | often an incidental finding |
| Prevalence | common |
| Prognosis | benign |
| Clin. DDx | other renal tumours |
| Treatment | observation |
Papillary adenoma of the kidney, also renal papillary adenoma, is a benign kidney tumour related to papillary renal cell carcinoma.
General
- Benign.
- Considered a precursor for papillary renal cell carcinoma (PaRCC).[1]
- Stains like PaRCC.
- Found with an increased frequency within the content of PaRCC.
Note:
- In the kidney, the concept of adenoma only exists for papillary lesions that are papillary RCC-like. Small lesions that are chromophobe RCC-like or clear cell RCC-like are carcinomas.[2]
Gross
- Cortical kidney lesion.
- Usually subcapsular.
Microscopic
Features:
- Histomorphology of papillary renal cell carcinoma with low ISUP nucleolar grade (grade 1 or 2).
- Must be <=1.5 cm as per 2016 WHO classification.[3]
- Diagnostic size cutoff - larger lesions are papillary renal cell carcinoma.
Note:
DDx:
Images
www:
IHC
- CK7 +ve.
- AMACR +ve.[1]
See also
References
- ↑ 1.0 1.1 Wang, KL.; Weinrach, DM.; Luan, C.; Han, M.; Lin, F.; Teh, BT.; Yang, XJ. (Feb 2007). "Renal papillary adenoma--a putative precursor of papillary renal cell carcinoma.". Hum Pathol 38 (2): 239-46. doi:10.1016/j.humpath.2006.07.016. PMID 17056094.
- ↑ 2.0 2.1 2.2 Algaba, F. (2008). "Renal adenomas: pathological differential diagnosis with malignant tumors.". Adv Urol: 974848. doi:10.1155/2008/974848. PMC 2563151. PMID 18846240. https://www.ncbi.nlm.nih.gov/pmc/articles/PMC2563151/.
- ↑ 3.0 3.1 Moch, H.; Cubilla, AL.; Humphrey, PA.; Reuter, VE.; Ulbright, TM. (Feb 2016). "The 2016 WHO Classification of Tumours of the Urinary System and Male Genital Organs-Part A: Renal, Penile, and Testicular Tumours.". Eur Urol. doi:10.1016/j.eururo.2016.02.029. PMID 26935559.
- ↑ Zhou, Ming; Magi-Galluzzi, Cristina (2006). Genitourinary Pathology: A Volume in Foundations in Diagnostic Pathology Series (1st ed.). Churchill Livingstone. pp. 288. ISBN 978-0443066771.