Spermatocytic tumour

From Libre Pathology
Jump to navigation Jump to search
Spermatocytic tumour
Diagnosis in short

Spermatocytic tumour

Synonyms spermatocytic seminoma (old term, not recommended by World Health Organization)

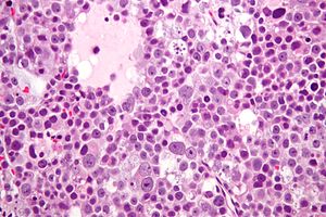
LM three cell populations: (1) small cells (6-8 µm) - with a large NC ratio, (2) medium cells (15-18 µm) with prominent nucleoli and spireme chromatin, (3) Large cells (50-100 µm) with spireme chromatin; mucoid lakes, intratubular spread
LM DDx DLBCL, seminoma
IHC SALL4 +ve, OCT3/4 -ve, CD117 +ve/-ve
Site testis

Signs mass lesion
Prevalence rare
Prognosis benign, good
Clin. DDx other germ cell tumours, lymphoma
Treatment excision to exclude malignancy

Spermatocytic tumour is a rare benign testicular tumour.

It was previously known as spermatocytic seminoma. It should not be confused with seminoma which is an unrelated tumour.

General

  • Rare tumour.
  • Only one case of metastases in 200 cases.[1]
  • Orchiectomy is curative.
  • Not reported/found in females.[1]
  • Typically older - mean age 50s.[1]

Epidemiology

Microscopic

Features:[3]

  • Population of three cells.
    1. Small cells (6-8 µm) - with a large NC ratio.
      • Look like secondary spermatocytes.
      • May be confused with (mature) lymphocytes.
    2. Medium cells (15-18 µm) with prominent nucleoli.
      • Filamentous chromatin (AKA spireme chromatin).[1]
    3. Large cells (50-100 µm).
      • Filamentous chromatin.
  • Mucoid lakes.
  • Intratubular spread.

Notes:

  • Spireme = the tangle of filaments in prophase portion of mitosis.[4]
  • May have eosinophilic cytoplasm (dependent on lab).

DDx:

Images

IHC

Features:[5]

  • PLAP -ve (0 positive/17).
  • CD117 -ve (7 positive/17).
  • CAM5.2 -ve (1 positive/17).

Others:[6]

  • SALL4 +ve.
  • OCT3/4 -ve.
  • AFP -ve.
  • CD30 -ve.
  • Beta-hCG -ve.

Sign out

Left Testis, Radical Orchiectomy:
	- Spermatocytic tumour, see comment.
	- NEGATIVE for germ cell neoplasia in situ.
	- Background testis with spermatogenesis and atrophy.

Comment:
Spermatocytic tumours are rare. They are not associated with germ cell neoplasia in situ (GCNIS) and typically not seen together with other germ cell types.  

The tumour stains as follows:
POSITIVE: CD117 (moderate, patchy), SALL4 (moderate, diffuse), BCL2 (scattered cells, moderate membranous).
NEGATIVE: AE1/AE3, AFP, CD31, CD34, calretinin, hCG, CD3, CD10, CD20, CD30, CD45, GATA3, PLAP, PSA, OCT3/4, CAM5.2, D2-40.

This tumour (spermatoctyic tumour) was previously known as "spermatocytic seminoma".  The term "spermatocytic seminoma" is no longer recommended by the World Health Organization, presumably as the name may: (1) create confusion with "seminoma" and (2) falsely raise the possibility of a mixed tumour (that develops in the context of GCNIS).

Micro

This tumour has three cell types with spireme chromatin in the larger and intermediate cell type. Infiltrating lymphocytes are absent.

The background testis has some spermatogenesis and atrophic change. Germ cell neoplasia in situ (GCNIS) is ABSENT. The seminiferous tubules adjacent to the tumour, where visualized, are atrophic.

See also

References

  1. 1.0 1.1 1.2 1.3 Eble JN (October 1994). "Spermatocytic seminoma". Hum. Pathol. 25 (10): 1035–42. PMID 7927308.
  2. Müller J, Skakkebaek NE, Parkinson MC (February 1987). "The spermatocytic seminoma: views on pathogenesis". Int. J. Androl. 10 (1): 147–56. doi:10.1111/j.1365-2605.1987.tb00176.x. PMID 3583416.
  3. Cotran, Ramzi S.; Kumar, Vinay; Fausto, Nelson; Nelso Fausto; Robbins, Stanley L.; Abbas, Abul K. (2005). Robbins and Cotran pathologic basis of disease (7th ed.). St. Louis, Mo: Elsevier Saunders. ISBN 0-7216-0187-1.
  4. URL: http://www.thefreedictionary.com/spireme. Accessed on: 4 June 2010.
  5. Kraggerud, SM.; Berner, A.; Bryne, M.; Pettersen, EO.; Fossa, SD. (Mar 1999). "Spermatocytic seminoma as compared to classical seminoma: an immunohistochemical and DNA flow cytometric study.". APMIS 107 (3): 297-302. PMID 10223302.
  6. WHO Classification of Tumours Editorial Board (2022). Urinary and Male Genital Tumours (5th ed.). Lyon: World Health Organization. pp. 289. ISBN 978-9283245124.