Thecoma
Jump to navigation
Jump to search
| Thecoma | |
|---|---|
| Diagnosis in short | |
|
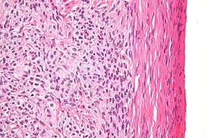
Thecoma. H&E stain. | |
|
| |
| LM | bland oval or spindled nuclei, abundant cytoplasm that is pale and vaculolated |
| LM DDx | ovarian fibroma, fibroma-thecoma |
| IHC | alpha-inhibin +ve |
| Gross | solid yellow mass, usually well-circumscribed |
| Site | ovary - see ovarian tumours |
|
| |
| Prevalence | uncommon |
| Prognosis | benign |
| Clin. DDx | other ovarian tumours |
Thecoma is an ovarian sex-cord stromal tumour.
General
- Associated with compression & atrophy of ovarian cortex, thought to arise from medulla.[1]
- Approximately 50% have symptoms related to estrogen secretion.[2]
- May also be viralizing.
Gross
Features:
- Solid yellow mass, usually well-circumscribed.[3]
DDx:
- Ovarian fibroma - white solid mass.[3]
- Fibroma-thecoma (fibrothecoma).
Microscopic
Features:[2]
- Nuclei with oval to spindle morphology.
- Abundant cytoplasm that is pale, vaculolated -- key feature.
DDx:
- Ovarian fibroma.
- Leiomyoma - rare.
- Other sex cord-stromal tumours.
Images
IHC
- Alpha-inhibin +ve (90%+).[2]
See also
References
- ↑ Nocito, AL.; Sarancone, S.; Bacchi, C.; Tellez, T. (Feb 2008). "Ovarian thecoma: clinicopathological analysis of 50 cases.". Ann Diagn Pathol 12 (1): 12-6. doi:10.1016/j.anndiagpath.2007.01.011. PMID 18164409.
- ↑ 2.0 2.1 2.2 Roth, LM. (Jul 2006). "Recent advances in the pathology and classification of ovarian sex cord-stromal tumors.". Int J Gynecol Pathol 25 (3): 199-215. doi:10.1097/01.pgp.0000192271.22289.e6. PMID 16810055.
- ↑ 3.0 3.1 Rose, Alan G. (2008). Atlas of Gross Pathology with Histologic Correlation (1st ed.). Cambridge University Press. pp. 398. ISBN 978-0521868792.