Walthard cell rest

From Libre Pathology
Jump to navigation Jump to search
Walthard cell rest
Diagnosis in short

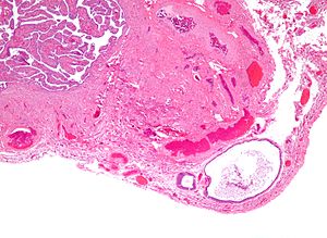
A cystic Walthard cell rest of the fallopian tube. H&E stain.

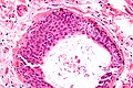
LM collection of eosinophilic (i.e. pink) cuboidal cells - usually solid, may be cystic; elliptical nucleus with single groove along major axis - "coffee bean" nucleus
LM DDx Brenner tumour
Site Fallopian tube, testis

Syndromes none

Signs none
Prevalence common
Prognosis benign
Treatment none

Walthard cell rest, also Walthard cell nest, is a benign finding often seen in gynecologic pathology.

General

  • Benign.
  • Typically an incidental finding.
  • May be found in the testis.[1]

Epidemiology

Microscopic

Features:[2]

  • Collection of eosinophilic (i.e. pink) cuboidal cells; usually solid, may be cystic.
  • Elliptical nucleus with single groove along major axis; "coffee bean" nucleus -- key feature.

Location:

  • Usually in soft tissue of the uterine tube.

DDx:

  • Brenner tumour - consist of (multiple) nests with a surrounding fibromatous stroma.[3]

Images

Fallopian tube

Testis

See also

References

  1. Amin MB (February 2005). "Selected other problematic testicular and paratesticular lesions: rete testis neoplasms and pseudotumors, mesothelial lesions and secondary tumors". Mod. Pathol. 18 Suppl 2: S131–45. doi:10.1038/modpathol.3800314. PMID 15502808.
  2. Nucci, Marisa R.; Oliva, Esther (2009). Gynecologic Pathology: A Volume in Foundations in Diagnostic Pathology Series (1st ed.). Churchill Livingstone. pp. 332. ISBN 978-0443069208.
  3. Roma, AA.; Masand, RP. (Dec 2014). "Ovarian Brenner tumors and Walthard nests: a histologic and immunohistochemical study.". Hum Pathol 45 (12): 2417-22. doi:10.1016/j.humpath.2014.08.003. PMID 25281026.