Difference between revisions of "Osteoblastoma"
Jump to navigation
Jump to search
(tweak some more) |
(→Gross) |
||
| (8 intermediate revisions by 2 users not shown) | |||
| Line 4: | Line 4: | ||
| Width = | | Width = | ||
| Caption = Osteoblastoma. [[H&E stain]]. | | Caption = Osteoblastoma. [[H&E stain]]. | ||
| Micro = anastomosing bony [[trabeculae]] with variable mineralization, | | Micro = anastomosing bony [[trabeculae]] with variable mineralization, osteoblastic rimming, no nuclear atypia of osteocytes | ||
| Subtypes = | | Subtypes = | ||
| LMDDx = [[osteoid osteoma]], [[osteosarcoma]] | | LMDDx = [[osteoid osteoma]], [[osteosarcoma]] | ||
| Line 22: | Line 22: | ||
| Prevalence = | | Prevalence = | ||
| Bloodwork = | | Bloodwork = | ||
| Rads = > | | Rads = often >=2.0 cm (similar lesions 1-2 cm may be [[osteoid osteoma]]), often well-circumscribed, +/-cortical expansion, +/-cortical destruction | ||
| Endoscopy = | | Endoscopy = | ||
| Prognosis = benign, may be locally destructive | | Prognosis = benign, may be locally destructive | ||
| Line 28: | Line 28: | ||
| ClinDDx = [[osteosarcoma]] | | ClinDDx = [[osteosarcoma]] | ||
}} | }} | ||
'''Osteoblastoma''' is benign primary [[bone tumour]]. | '''Osteoblastoma''' is benign primary [[bone tumour]]. It is grouped with the [[chondro-osseous tumours]]. | ||
==General== | ==General== | ||
| Line 34: | Line 34: | ||
*Uncommon.<ref name=pmid23362588>{{Cite journal | last1 = Khan | first1 = IS. | last2 = Thakur | first2 = JD. | last3 = Chittiboina | first3 = P. | last4 = Nanda | first4 = A. | title = Large sacral osteoblastoma: a case report and review of multi-disciplinary management strategies. | journal = J La State Med Soc | volume = 164 | issue = 5 | pages = 251-5 | month = | year = | doi = | PMID = 23362588 }}</ref> | *Uncommon.<ref name=pmid23362588>{{Cite journal | last1 = Khan | first1 = IS. | last2 = Thakur | first2 = JD. | last3 = Chittiboina | first3 = P. | last4 = Nanda | first4 = A. | title = Large sacral osteoblastoma: a case report and review of multi-disciplinary management strategies. | journal = J La State Med Soc | volume = 164 | issue = 5 | pages = 251-5 | month = | year = | doi = | PMID = 23362588 }}</ref> | ||
*Typically age 15-20 and male (male:female = ~2:1).<ref name=pmid20345366>{{Cite journal | last1 = Villalobos | first1 = CE. | last2 = Rybak | first2 = LD. | last3 = Steiner | first3 = GC. | last4 = Wittig | first4 = JC. | title = Osteoblastoma of the sternum--case report and review of the literature. | journal = Bull NYU Hosp Jt Dis | volume = 68 | issue = 1 | pages = 55-9 | month = | year = 2010 | doi = | PMID = 20345366 }}</ref> | *Typically age 15-20 and male (male:female = ~2:1).<ref name=pmid20345366>{{Cite journal | last1 = Villalobos | first1 = CE. | last2 = Rybak | first2 = LD. | last3 = Steiner | first3 = GC. | last4 = Wittig | first4 = JC. | title = Osteoblastoma of the sternum--case report and review of the literature. | journal = Bull NYU Hosp Jt Dis | volume = 68 | issue = 1 | pages = 55-9 | month = | year = 2010 | doi = | PMID = 20345366 }}</ref> | ||
**Very large age range.<ref name=pmid8119712/> | |||
*Treatment: resection.<ref name=pmid20345366/> | *Treatment: resection.<ref name=pmid20345366/> | ||
| Line 39: | Line 40: | ||
*Bone. | *Bone. | ||
**Vertebral column and sacrum - most common in one large series.<ref name=pmid8119712>{{Cite journal | last1 = Lucas | first1 = DR. | last2 = Unni | first2 = KK. | last3 = McLeod | first3 = RA. | last4 = O'Connor | first4 = MI. | last5 = Sim | first5 = FH. | title = Osteoblastoma: clinicopathologic study of 306 cases. | journal = Hum Pathol | volume = 25 | issue = 2 | pages = 117-34 | month = Feb | year = 1994 | doi = | PMID = 8119712 }}</ref> | **Vertebral column and sacrum - most common in one large series.<ref name=pmid8119712>{{Cite journal | last1 = Lucas | first1 = DR. | last2 = Unni | first2 = KK. | last3 = McLeod | first3 = RA. | last4 = O'Connor | first4 = MI. | last5 = Sim | first5 = FH. | title = Osteoblastoma: clinicopathologic study of 306 cases. | journal = Hum Pathol | volume = 25 | issue = 2 | pages = 117-34 | month = Feb | year = 1994 | doi = | PMID = 8119712 }}</ref> | ||
* | *Size important as per WHO definition:<ref name=pmid25224389>{{Cite journal | last1 = Yalcinkaya | first1 = U. | last2 = Doganavsargil | first2 = B. | last3 = Sezak | first3 = M. | last4 = Kececi | first4 = B. | last5 = Argin | first5 = M. | last6 = Basdemir | first6 = G. | last7 = Oztop | first7 = F. | title = Clinical and morphological characteristics of osteoid osteoma and osteoblastoma: a retrospective single-center analysis of 204 patients. | journal = Ann Diagn Pathol | volume = 18 | issue = 6 | pages = 319-25 | month = Dec | year = 2014 | doi = 10.1016/j.anndiagpath.2014.08.006 | PMID = 25224389 }}</ref> ‡ | ||
**>= 2.0 cm: osteoblastoma. | |||
**<=1.0 cm: [[osteoid osteoma]]. | |||
**>1 cm and <2 cm: clinical and radiologic criteria should be considered. | |||
Note: | |||
*‡1.5 cm is a [[diagnostic size cutoff]] seen in older references.<ref name=Ref_Sternberg4_286>{{Ref Sternberg4|286}}</ref> | |||
===Radiology=== | |||
Features: | |||
*Often well-circumscribed, +/-cortical expansion, +/-cortical destruction.<ref name=pmid8119712/> | |||
Note: | |||
*May be described as malignant by radiology.<ref name=pmid8119712/> | |||
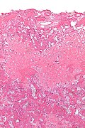
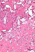
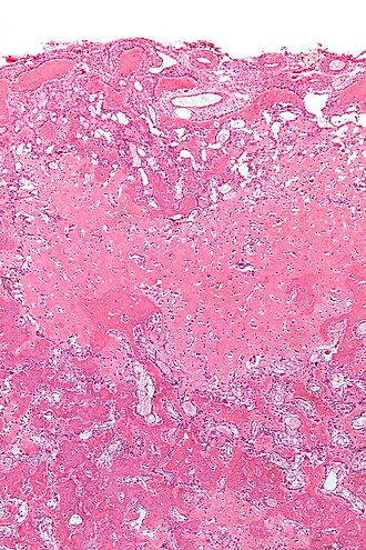
==Microscopic== | ==Microscopic== | ||
Features:<ref name=Ref_Sternberg4_285>{{Ref Sternberg4|285}}</ref> | Features:<ref name=Ref_Sternberg4_285>{{Ref Sternberg4|285}}</ref> | ||
*Anastomosing bony [[trabeculae]] with: | *Anastomosing bony [[trabeculae]] with: | ||
** | **Osteoblastic rimming. | ||
***Cells line-up at edge of bone. | ***Cells line-up at edge of bone. | ||
| Line 57: | Line 71: | ||
Image:Osteoblastoma_-_high_mag.jpg | Osteoblastoma - high mag. (WC) | Image:Osteoblastoma_-_high_mag.jpg | Osteoblastoma - high mag. (WC) | ||
Image:Osteoblastoma_-_low_mag.jpg | Osteoblastoma - low mag. (WC) | Image:Osteoblastoma_-_low_mag.jpg | Osteoblastoma - low mag. (WC) | ||
Image:Bone Osteoblastoma LP PA.JPG|Osteoblastoma - low power. (SKB) | |||
Image:Bone Osteoblastoma MP3 PA.JPG|Osteoblastoma - medium power. (SKB) | |||
Image:Bone Osteoblastoma MP2 PA.JPG|Osteoblastoma - medium power. (SKB) | |||
Image:Bone Osteoblastoma OsteoblasticRimming PA.JPG|Osteoblastoma - Higher power - Osteoblastic rimming. (SKB) | |||
</gallery> | </gallery> | ||
Latest revision as of 21:02, 23 February 2016
| Osteoblastoma | |
|---|---|
| Diagnosis in short | |
|
Template:Px Osteoblastoma. H&E stain. | |
|
| |
| LM | anastomosing bony trabeculae with variable mineralization, osteoblastic rimming, no nuclear atypia of osteocytes |
| LM DDx | osteoid osteoma, osteosarcoma |
| Site | bone - vertebral column typically, other bones |
|
| |
| Clinical history | usu. 15-20 years old, males > females |
| Symptoms | usu. pain |
| Radiology | often >=2.0 cm (similar lesions 1-2 cm may be osteoid osteoma), often well-circumscribed, +/-cortical expansion, +/-cortical destruction |
| Prognosis | benign, may be locally destructive |
| Clin. DDx | osteosarcoma |
Osteoblastoma is benign primary bone tumour. It is grouped with the chondro-osseous tumours.
General
- Benign bone tumour - that can be locally destructive and occasionally recurs.[1]
- Uncommon.[2]
- Typically age 15-20 and male (male:female = ~2:1).[3]
- Very large age range.[1]
- Treatment: resection.[3]
Gross
- Bone.
- Vertebral column and sacrum - most common in one large series.[1]
- Size important as per WHO definition:[4] ‡
- >= 2.0 cm: osteoblastoma.
- <=1.0 cm: osteoid osteoma.
- >1 cm and <2 cm: clinical and radiologic criteria should be considered.
Note:
- ‡1.5 cm is a diagnostic size cutoff seen in older references.[5]
Radiology
Features:
- Often well-circumscribed, +/-cortical expansion, +/-cortical destruction.[1]
Note:
- May be described as malignant by radiology.[1]
Microscopic
Features:[6]
- Anastomosing bony trabeculae with:
- Osteoblastic rimming.
- Cells line-up at edge of bone.
- Osteoblastic rimming.
Notes:
- Histomorphologically near identical/indistinguishable from osteoid osteoma.[5]
DDx:
Images
Osteoblastoma - Higher power - Osteoblastic rimming. (SKB)
Sign out
BONE, LEFT FEMUR, EXCISION: - OSTEOBLASTOMA.
See also
References
- ↑ 1.0 1.1 1.2 1.3 1.4 1.5 Lucas, DR.; Unni, KK.; McLeod, RA.; O'Connor, MI.; Sim, FH. (Feb 1994). "Osteoblastoma: clinicopathologic study of 306 cases.". Hum Pathol 25 (2): 117-34. PMID 8119712.
- ↑ Khan, IS.; Thakur, JD.; Chittiboina, P.; Nanda, A.. "Large sacral osteoblastoma: a case report and review of multi-disciplinary management strategies.". J La State Med Soc 164 (5): 251-5. PMID 23362588.
- ↑ 3.0 3.1 Villalobos, CE.; Rybak, LD.; Steiner, GC.; Wittig, JC. (2010). "Osteoblastoma of the sternum--case report and review of the literature.". Bull NYU Hosp Jt Dis 68 (1): 55-9. PMID 20345366.
- ↑ Yalcinkaya, U.; Doganavsargil, B.; Sezak, M.; Kececi, B.; Argin, M.; Basdemir, G.; Oztop, F. (Dec 2014). "Clinical and morphological characteristics of osteoid osteoma and osteoblastoma: a retrospective single-center analysis of 204 patients.". Ann Diagn Pathol 18 (6): 319-25. doi:10.1016/j.anndiagpath.2014.08.006. PMID 25224389.
- ↑ 5.0 5.1 Mills, Stacey E; Carter, Darryl; Greenson, Joel K; Oberman, Harold A; Reuter, Victor E (2004). Sternberg's Diagnostic Surgical Pathology (4th ed.). Lippincott Williams & Wilkins. pp. 286. ISBN 978-0781740517.
- ↑ Mills, Stacey E; Carter, Darryl; Greenson, Joel K; Oberman, Harold A; Reuter, Victor E (2004). Sternberg's Diagnostic Surgical Pathology (4th ed.). Lippincott Williams & Wilkins. pp. 285. ISBN 978-0781740517.