Osteoblastoma
Jump to navigation
Jump to search
| Osteoblastoma | |
|---|---|
| Diagnosis in short | |
|
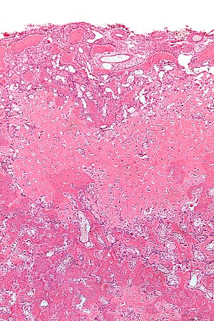
Osteoblastoma. H&E stain. | |
|
| |
| LM | anastomosing bony trabeculae with variable mineralization, osteoblastic rimming, no nuclear atypia of osteocytes |
| LM DDx | osteoid osteoma, osteosarcoma |
| Site | bone - vertebral column typically, other bones |
|
| |
| Clinical history | usu. 15-20 years old, males > females |
| Symptoms | usu. pain |
| Radiology | often >=2.0 cm (similar lesions 1-2 cm may be osteoid osteoma), often well-circumscribed, +/-cortical expansion, +/-cortical destruction |
| Prognosis | benign, may be locally destructive |
| Clin. DDx | osteosarcoma |
Osteoblastoma is benign primary bone tumour. It is grouped with the chondro-osseous tumours.
General
- Benign bone tumour - that can be locally destructive and occasionally recurs.[1]
- Uncommon.[2]
- Typically age 15-20 and male (male:female = ~2:1).[3]
- Very large age range.[1]
- Treatment: resection.[3]
Gross
- Bone.
- Vertebral column and sacrum - most common in one large series.[1]
- Size important as per WHO definition:[4] ‡
- >= 2.0 cm: osteoblastoma.
- <=1.0 cm: osteoid osteoma.
- >1 cm and <2 cm: clinical and radiologic criteria should be considered.
Note:
- ‡1.5 cm is a diagnostic size cutoff seen in older references.[5]
Radiology
Features:
- Often well-circumscribed, +/-cortical expansion, +/-cortical destruction.[1]
Note:
- May be described as malignant by radiology.[1]
Microscopic
Features:[6]
- Anastomosing bony trabeculae with:
- Osteoblastic rimming.
- Cells line-up at edge of bone.
- Osteoblastic rimming.
Notes:
- Histomorphologically near identical/indistinguishable from osteoid osteoma.[5]
DDx:
Images
Sign out
BONE, LEFT FEMUR, EXCISION: - OSTEOBLASTOMA.
See also
References
- ↑ 1.0 1.1 1.2 1.3 1.4 1.5 Lucas, DR.; Unni, KK.; McLeod, RA.; O'Connor, MI.; Sim, FH. (Feb 1994). "Osteoblastoma: clinicopathologic study of 306 cases.". Hum Pathol 25 (2): 117-34. PMID 8119712.
- ↑ Khan, IS.; Thakur, JD.; Chittiboina, P.; Nanda, A.. "Large sacral osteoblastoma: a case report and review of multi-disciplinary management strategies.". J La State Med Soc 164 (5): 251-5. PMID 23362588.
- ↑ 3.0 3.1 Villalobos, CE.; Rybak, LD.; Steiner, GC.; Wittig, JC. (2010). "Osteoblastoma of the sternum--case report and review of the literature.". Bull NYU Hosp Jt Dis 68 (1): 55-9. PMID 20345366.
- ↑ Yalcinkaya, U.; Doganavsargil, B.; Sezak, M.; Kececi, B.; Argin, M.; Basdemir, G.; Oztop, F. (Dec 2014). "Clinical and morphological characteristics of osteoid osteoma and osteoblastoma: a retrospective single-center analysis of 204 patients.". Ann Diagn Pathol 18 (6): 319-25. doi:10.1016/j.anndiagpath.2014.08.006. PMID 25224389.
- ↑ 5.0 5.1 Mills, Stacey E; Carter, Darryl; Greenson, Joel K; Oberman, Harold A; Reuter, Victor E (2004). Sternberg's Diagnostic Surgical Pathology (4th ed.). Lippincott Williams & Wilkins. pp. 286. ISBN 978-0781740517.
- ↑ Mills, Stacey E; Carter, Darryl; Greenson, Joel K; Oberman, Harold A; Reuter, Victor E (2004). Sternberg's Diagnostic Surgical Pathology (4th ed.). Lippincott Williams & Wilkins. pp. 285. ISBN 978-0781740517.