Reactive gastropathy

From Libre Pathology
Revision as of 17:47, 17 June 2016 by Michael (talk | contribs) (→‎Epidemiology)
(diff) ← Older revision | Latest revision (diff) | Newer revision → (diff)
Jump to navigation Jump to search
Reactive gastropathy
Diagnosis in short

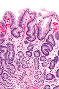
Reactive gastropathy. H&E stain.

Synonyms chemical gastritis, chemical gastropathy, NSAID gastropathy (if due to a NSAID)

LM foveolar hyperplasia - esp. tortuosity of glands in the "neck" region (S shaped glands), smooth muscle hyperplasia, scant inflammatory cells, +/-edema, +/-erosions
LM DDx hyperplastic polyp of the stomach, collagenous gastritis, amyloidosis, chronic gastritis
Site stomach

Associated Dx osteoarthritis (treated with NSAIDs)
Clinical history classically NSAID use or alcohol use
Endoscopy erythema, +/-erosions, +/-bile reflux
Clin. DDx gastritis
Reactive gastropathy
External resources
EHVSC 10177
Wikipedia reactive gastropathy

Reactive gastropathy, abbreviated RG, a relatively common pathology of the stomach. It is also known as chemical gastropathy,[1] and incorrectly referred to as chemical gastritis (see below).

NSAID gastropathy redirects to here.

General

  • May be seen in the context of a previous resection/surgical reconstruction, e.g. Billroth II.

Epidemiology

General assocations:

  • Increases with age.[2]

Etologic factors - associated with:[3]

  • Excess acid.
  • Alcohol use (excessive).
  • Bile (reflux).
    • May be seen post-Bilroth II (distal gastrectomy).
  • Drugs.[1]
    • Iron (brown pigment on histology).
    • NSAIDs - synergistic effect with corticosteroids.
    • Steroids.[4]

Notes:

Drugs that cause erosions and/or ulcers - adapted from Genta:[1]

Drug Comment Indication for Rx
NSAIDs common cause pain, reduce cardiovascular risk
Corticosteroids synergistic effect with NSAIDs rheumatologic diseases + others
Potassium (KCl) common cause congestive heart failure[6]
Bisphophonates uncommon cause osteoporosis
Ferrous sulfate very common if symptomatic iron deficiency anemia
Chloroquine uncommon only in the context of malaria
Sodium polystyrene sulfonate (Kayexalate) rare renal failure

Relation to gastritis

  • May mimic a (true) gastritis symptomatically and visually in an endoscopic examination.
  • "Chemical gastritis" is misnomer. Etymologically, the -itis in gastritis, implies an inflammatory process. Chemical gastropathy is not (predominantly) an inflammatory process.
    • This type of confusion is not uncommon. Steatohepatitis is another example of this; it is not a process with significant inflammation yet, confusingly, carries the -itis ending.

Gross/endoscopic

Features:[7]

  • Antral erythema +/- erosions.
  • +/-Bile.

Microscopic

Features - triad:[8][1]

  1. Foveolar hyperplasia.
    • Tortuosity of glands in the "neck" region of the gastric glands.
    • Associated with "mucin depletion" - cytoplasm not clear -- as is usual.
  2. Smooth muscle fibre hyperplasia.
    • Abundant eosinophilic lamina propria.
  3. Scant acute & chronic inflammatory cells.

Additional features.

  • +/-Edema.
  • +/-Erosions.

Notes:

  • Triad rarely present; mild inflammation common.

DDx:

Images

Sign out

Stomach, Antrum, Biopsy:
- Antral-type gastric mucosa with reactive gastropathy.
- NEGATIVE for Helicobacter-like organisms.
- NEGATIVE for intestinal metaplasia.
- NEGATIVE for dysplasia and NEGATIVE for malignancy.

Block letters

STOMACH, BIOPSY:
- ANTRAL-TYPE GASTRIC MUCOSA WITH REACTIVE GASTROPATHY, SEE COMMENT.
- NEGATIVE FOR HELICOBACTER-LIKE ORGANISMS.
- NEGATIVE FOR INTESTINAL METAPLASIA.
- NEGATIVE FOR DYSPLASIA AND NEGATIVE FOR MALIGNANCY.

COMMENT:
This nonspecific finding may be due to a number of causes, including 
medications (especially NSAIDs), alcohol and bile reflux.

RG and mild chronic gastritis

STOMACH, BIOPSY:
- ANTRAL-TYPE GASTRIC MUCOSA WITH REACTIVE GASTROPATHY AND MILD CHRONIC
  INACTIVE INFLAMMATION.
- NEGATIVE FOR HELICOBACTER-LIKE ORGANISMS.
- NEGATIVE FOR INTESTINAL METAPLASIA.
- NEGATIVE FOR DYSPLASIA AND NEGATIVE FOR MALIGNANCY.

Not well-developed

STOMACH, BIOPSY:
- BODY-TYPE GASTRIC MUCOSA WITHIN NORMAL LIMITS.
- ANTRAL-TYPE GASTRIC MUCOSA WITH SMOOTH MUSCLE HYPERPLASIA,
  RARE GLAND TORTUOSITY AND NO SIGNFICANT INFLAMMATION, SEE COMMENT.
- NEGATIVE FOR HELICOBACTER-LIKE ORGANISMS.
- NEGATIVE FOR INTESTINAL METAPLASIA.
- NEGATIVE FOR DYSPLASIA AND NEGATIVE FOR MALIGNANCY.

COMMENT:
These findings are suggestive of a reactive gastropathy; however, gland 
corkscrewing is not evident.

Not well-developed with minimal inflammation

STOMACH, BIOPSY:
- ANTRAL-TYPE GASTRIC MUCOSA WITH SMOOTH MUSCLE HYPERPLASIA, RARE GLAND TORTUOSITY
  AND MINIMAL CHRONIC INACTIVE INFLAMMATION, SEE COMMENT.
- NEGATIVE FOR HELICOBACTER-LIKE ORGANISMS.
- NEGATIVE FOR INTESTINAL METAPLASIA.
- NEGATIVE FOR DYSPLASIA AND NEGATIVE FOR MALIGNANCY.

COMMENT:
The smooth muscle hyperplasia and rare gland tortuosity are suggestive of a reactive
gastropathy.
Isolated smooth muscle prominence
STOMACH, BIOPSY:
- ANTRAL-TYPE GASTRIC MUCOSA WITH PROMINENT SMOOTH MUSCLE, OTHERWISE WITHIN NORMAL
LIMITS.
- NEGATIVE FOR HELICOBACTER-LIKE ORGANISMS.
- NEGATIVE FOR INTESTINAL METAPLASIA.
- NEGATIVE FOR DYSPLASIA AND NEGATIVE FOR MALIGNANCY.

See also

References

  1. 1.0 1.1 1.2 1.3 Genta, RM. (Nov 2005). "Differential diagnosis of reactive gastropathy.". Semin Diagn Pathol 22 (4): 273-83. PMID 16939055.
  2. Maguilnik, I.; Neumann, WL.; Sonnenberg, A.; Genta, RM. (Aug 2012). "Reactive gastropathy is associated with inflammatory conditions throughout the gastrointestinal tract.". Aliment Pharmacol Ther. doi:10.1111/apt.12031. PMID 22928604.
  3. ALS. 5 February 2009.
  4. URL: http://www.cmej.org.za/index.php/cmej/article/view/2316/2190. Accessed on: June 17, 2016.
  5. Wolf, EM.; Plieschnegger, W.; Schmack, B.; Bordel, H.; Höfler, B.; Eherer, A.; Schulz, T.; Vieth, M. et al. (Dec 2014). "Evolving patterns in the diagnosis of reactive gastropathy: data from a prospective Central European multicenter study with proposal of a new histologic scoring system.". Pathol Res Pract 210 (12): 847-54. doi:10.1016/j.prp.2014.08.009. PMID 25238940.
  6. Weir, MR.; Espaillat, R. (Jun 2015). "Clinical perspectives on the rationale for potassium supplementation.". Postgrad Med 127 (5): 539-48. doi:10.1080/00325481.2015.1045814. PMID 25960118.
  7. Iacobuzio-Donahue, Christine A.; Montgomery, Elizabeth A. (2005). Gastrointestinal and Liver Pathology: A Volume in the Foundations in Diagnostic Pathology Series (1st ed.). Churchill Livingstone. pp. 69. ISBN 978-0443066573.
  8. El-Zimaity. 18 October 2010.
  9. Iacobuzio-Donahue, Christine A.; Montgomery, Elizabeth A. (2005). Gastrointestinal and Liver Pathology: A Volume in the Foundations in Diagnostic Pathology Series (1st ed.). Churchill Livingstone. pp. 69. ISBN 978-0443066573.