Merkel cell carcinoma
Jump to navigation
Jump to search
| Merkel cell carcinoma | |
|---|---|
| Diagnosis in short | |
|
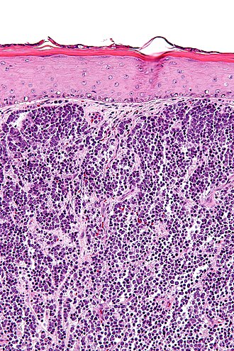
Merkel cell carcinoma. H&E stain. | |
|
| |
| LM | neuroendocrine nuclear features (round nucleus, small nucleoli/no nucleolus, stippled chromatin), usually scant cytoplasm, usually small (~3x resting lymphocyte), often in sheets |
| LM DDx | small cell carcinoma, cutaneous Ewing sarcoma, Burkitt lymphoma, other small round blue cell tumours |
| IHC | Merkel cell polyomavirus +ve, CK20 +ve (perinuclear dot-like), CD56 +ve, TTF-1 -ve, CK7 -ve, NF +ve |
| Site | skin |
|
| |
| Clinical history | +/-immunosuppressed/immunoincompetent |
| Prevalence | rare |
| Prognosis | poor |
| Merkel cell carcinoma | |
|---|---|
| External resources | |
| Wikipedia | merkel cell carcinoma |
Merkel cell carcinoma, abbreviated MCC, is an uncommon aggressive form of skin cancer.
General
Features:[1]
- Rare.
- Aggressive course/poor prognosis.
- Neuroendocrine-like.[2]
Etiology:
- Most caused by Merkel cell polyomavirus.[3][1]
- Immunocompromised/immunosuppressed (e.g. organ transplant recipients).
Microscopic
Features:[4]
- Neuroendocrine nuclear features - round nucleus, small nucleoli/no nucleolus, stippled chromatin - key feature.
- Typically medium size cells ~3x resting lymphocyte.
- May be small or large.
- Architecture: nests, sheets or trabeculae.
- Scant cytoplasm.
- Abundant mitoses. †
- +/-Nuclear moulding.
- Nuclei of adjacent cells conform to one another.
- +/-Tumour infiltrating lymphocytes. ‡
Notes:
- † >10 mitoses/HPF = poor prognosis - definition suffers from HPFitis.[5]
- ‡ May be associated with a worse prognosis.[5]
- Merkel cell carcinoma lymph node metastases is difficult to diagnose with routine stains; use of IHC stains are advised.[5]
- Arise from the epidermis - very rarely in situ.[6]
DDx:
- Basal cell carcinoma - no stippled chromatin, less mitoses active.
- Cutaneous Ewing sarcoma - sorted-out with immunostains.
- Lymphoma.
- Metastatic small cell carcinoma.
- Other small round cell tumours.
Images
- Merkelcellcarcinoma Tag.jpg
Merkel cell carcinoma - nested pattern (WC)
www:
- MCC (bccancer.bc.ca).
- MCC (joplink.net).
- Merkel cell carcinoma (ispub.com).
- Merkel cell carcinoma - several images (upmc.edu).
IHC
Features:
- CK7 -ve.
- CK20 +ve (perinuclear dot-like).[7]
- CAM5.2 +ve (dot-like pattern).
- CD56 +ve.
- AE1/AE3 +ve.
- Merkel cell polyomavirus +ve ~85% of cases.[8]
- NF +ve (12 of 13 cases).[9]
- Useful to differentiate from small cell carcinoma of lung.
Others:
EM
- Neurosecretory granules (AKA dense-core granules).[12]
See also
References
- ↑ 1.0 1.1 Calder, KB.; Smoller, BR. (May 2010). "New insights into merkel cell carcinoma.". Adv Anat Pathol 17 (3): 155-61. doi:10.1097/PAP.0b013e3181d97836. PMID 20418670.
- ↑ Pulitzer, MP.; Amin, BD.; Busam, KJ. (May 2009). "Merkel cell carcinoma: review.". Adv Anat Pathol 16 (3): 135-44. doi:10.1097/PAP.0b013e3181a12f5a. PMID 19395876.
- ↑ Feng, H.; Shuda, M.; Chang, Y.; Moore, PS. (Feb 2008). "Clonal integration of a polyomavirus in human Merkel cell carcinoma.". Science 319 (5866): 1096-100. doi:10.1126/science.1152586. PMID 18202256.
- ↑ Humphrey, Peter A; Dehner, Louis P; Pfeifer, John D (2008). The Washington Manual of Surgical Pathology (1st ed.). Lippincott Williams & Wilkins. pp. 491. ISBN 978-0781765275.
- ↑ 5.0 5.1 5.2 URL: /2011/SkinMerkelCell_11protocol.pdf http://www.cap.org/apps/docs/committees/cancer/cancer_protocols/2011/SkinMerkelCell_11protocol.pdf. Accessed on: 28 March 2012.
- ↑ 6.0 6.1 Ferringer, T.; Rogers, HC.; Metcalf, JS. (Feb 2005). "Merkel cell carcinoma in situ.". J Cutan Pathol 32 (2): 162-5. doi:10.1111/j.0303-6987.2005.00270.x. PMID 15606676.
- ↑ Leech, SN.; Kolar, AJ.; Barrett, PD.; Sinclair, SA.; Leonard, N. (Sep 2001). "Merkel cell carcinoma can be distinguished from metastatic small cell carcinoma using antibodies to cytokeratin 20 and thyroid transcription factor 1.". J Clin Pathol 54 (9): 727-9. PMID 11533085.
- ↑ Jung, HS.; Choi, YL.; Choi, JS.; Roh, JH.; Pyon, JK.; Woo, KJ.; Lee, EH.; Jang, KT. et al. (Oct 2011). "Detection of Merkel cell polyomavirus in Merkel cell carcinomas and small cell carcinomas by PCR and immunohistochemistry.". Histol Histopathol 26 (10): 1231-41. PMID 21870327.
- ↑ Bobos M, Hytiroglou P, Kostopoulos I, Karkavelas G, Papadimitriou CS (April 2006). "Immunohistochemical distinction between merkel cell carcinoma and small cell carcinoma of the lung". Am J Dermatopathol 28 (2): 99–104. doi:10.1097/01.dad.0000183701.67366.c7. PMID 16625069.
- ↑ Jankowski, M.; Kopinski, P.; Schwartz, R.; Czajkowski, R. (Nov 2014). "Merkel cell carcinoma: is this a true carcinoma?". Exp Dermatol 23 (11): 792-4. doi:10.1111/exd.12490. PMID 25040178.
- ↑ "Expression of anaplastic lymphoma kinase in Merkel cell carcinomas". Hum Pathol 44 (8): 1656–64. August 2013. doi:10.1016/j.humpath.2012.11.021. PMID 23574788.
- ↑ Gil-Moreno, A.; Garcia-Jiménez, A.; González-Bosquet, J.; Esteller, M.; Castellví-Vives, J.; Martínez Palones, JM.; Xercavins, J. (Mar 1997). "Merkel cell carcinoma of the vulva.". Gynecol Oncol 64 (3): 526-32. PMID 9062165.