Adenocarcinoma of the rete testis
Jump to navigation
Jump to search
| Adenocarcinoma of the rete testis | |
|---|---|
| Diagnosis in short | |
|
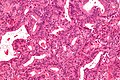
Adenocarcinoma of the rete testis. H&E stain. | |
|
| |
| LM | atypical columnar or cuboidal cells, often with cigar-shaped nuclei; classically tubular or papillary architecture; transistion to normal appearing rete testis |
| LM DDx | adenomatous hyperplasia of the rete testis, Sertoli cell tumour, malignant mesothelioma, metastasis |
| IHC | EMA +ve, CK7 +ve, PSA -ve, calretinin -ve, CK5/6 -ve, PLAP -ve, AFP -ve, CD30 -ve |
| Gross | hilar mass |
| Grossing notes | orchiectomy grossing |
| Site | paratesticular region/testis - see rete testis |
|
| |
| Prevalence | extremely rare |
| Blood work | markers for GCT typically normal |
| Prognosis | poor |
| Clin. DDx | other testicular mass |
Adenocarcinoma of the rete testis, also rete testis adenocarcinoma, is a very rare malignant tumour of the paratesticular region/testis.
General
- Extremely rare[1] - a few dozen cases in the world literature.
- Typically older men (>60 years old), but reported in younger men with undescended testis.[1]
- Possible association with diethylstilbestrol - based on non-human data.[2]
- Prognosis poor[3] - 3-year and 5-year disease-free survival approximately 50% and 15% respectively.[4]
Clinical:
- Germ cell tumour serum markers (LDH, AFP, beta-hCG) typically normal.
Gross
- Lesion of the testicular hilum.[1]
Microscopic
Features:
- Adenocarcinoma:
- Atypical columnar or cuboidal cells, often with cigar-shaped nuclei.
- Classically tubular or papillary architecture.[2]
- Transistion to normal appearing rete testis.[1]
DDx:
- Adenomatous hyperplasia of the rete testis - may be a concurrent pathology.[5]
- Metastatic carcinoma involving the testis - usually prostate, kidney, or colon.[6]
- Sertoli cell tumour.
- Malignant mesothelioma.[1]
Images
www:
IHC
Features:[5]
Others:[5]
See also
References
- ↑ 1.0 1.1 1.2 1.3 1.4 Nochomovitz, LE.; Orenstein, JM. (Aug 1984). "Adenocarcinoma of the rete testis. Case report, ultrastructural observations, and clinicopathologic correlates.". Am J Surg Pathol 8 (8): 625-34. PMID 6465420.
- ↑ 2.0 2.1 Newbold, RR.; Bullock, BC.; McLachlan, JA. (Dec 1986). "Adenocarcinoma of the rete testis. Diethylstilbestrol-induced lesions of the mouse rete testis.". Am J Pathol 125 (3): 625-8. PMC 1888460. PMID 3799821. https://www.ncbi.nlm.nih.gov/pmc/articles/PMC1888460/.
- ↑ Sogni, F.; Monga, G.; Terrone, C.; Gontero, P. (2008). "Primary adenocarcinoma of the rete testis: diagnostic problems and therapeutic dilemmas.". Scand J Urol Nephrol 42 (1): 83-5. doi:10.1080/00365590701517608. PMID 17853037.
- ↑ Sánchez-Chapado, M.; Angulo, JC.; Haas, GP. (Oct 1995). "Adenocarcinoma of the rete testis.". Urology 46 (4): 468-75. doi:10.1016/S0090-4295(99)80257-X. PMID 7571213.
- ↑ 5.0 5.1 5.2 Lin, XY.; Yu, JH.; Xu, HT.; Wang, L.; Fan, CF.; Liu, Y.; Wang, EH. (2013). "A case of adenocarcinoma of the rete testis accompanied by focal adenomatous hyperplasia.". Diagn Pathol 8: 105. doi:10.1186/1746-1596-8-105. PMID 23800084.
- ↑ Ulbright, TM.; Young, RH. (Nov 2008). "Metastatic carcinoma to the testis: a clinicopathologic analysis of 26 nonincidental cases with emphasis on deceptive features.". Am J Surg Pathol 32 (11): 1683-93. doi:10.1097/PAS.0b013e3181788516. PMID 18769334.
- ↑ Yang, Z.; Sheng, C.; Cao, L.; Wang, D.. "Adenocarcinoma of rete testis with widespread liver metastasis.". Can Urol Assoc J 7 (9-10): E654-6. doi:10.5489/cuaj.470. PMID 24409217.
- ↑ Tian, Y.; Yao, W.; Yang, L.; Wang, J.; Wazir, R.; Wang, K. (Feb 2014). "Primary adenocarcinoma of the rete testis: A case report and review of the literature.". Oncol Lett 7 (2): 455-457. doi:10.3892/ol.2013.1708. PMID 24396468.
- ↑ Wu, CA.; Chen, YH.; Man, KM.; Shen, JL.; Chen, WC. (2011). "Papillary adenocarcinoma of rete testis mimics inflammatory lump: a case report.". Case Rep Urol 2011: 857812. doi:10.1155/2011/857812. PMID 22606627.