Adenomatous hyperplasia of the rete testis
Jump to navigation
Jump to search
| Adenomatous hyperplasia of the rete testis | |
|---|---|
| Diagnosis in short | |
|
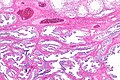
Adenomatous hyperplasia of the rete testis. H&E stain. | |
|
| |
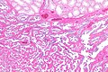
| LM | epithelium with tubulopapillary or cribriform architecture separated by small amount of stroma |
| LM DDx | adenocarcinoma of the rete testis |
| Gross | +/-testicular mass |
| Site | rete testis |
|
| |
| Clinical history | typically an incidental finding |
| Prevalence | uncommon |
| Prognosis | benign |
| Treatment | inconsequential |
Adenomatous hyperplasia of the rete testis (abbreviated AHRT), also rete testis adenomatous hyperplasia, is a rare benign lesion of the rete testis that may be confused with malignancy.[1][2]
General
- Uncommon.
- Often an incidental finding in an orchiectomy done for other reasons.[3]
- Possibly related to testicular atrophy.[4][5]
Gross
- +/-Testicular mass.
Microscopic
Features:[2]
- Epithelium with tubulopapillary or cribriform architecture separated by small amount of stroma.
DDx:
Images
www:
See also
References
- ↑ Martino, G.; Pasta, V.; Ciardi, A.; Palmieri, A.; Marinaccio, L.; Malavenda, MS.; Monti, M. (Dec 2013). "Rete testis adenomatous hyperplasia: our experience.". Ann Ital Chir 84 (ePub). PMID 24311150.
- ↑ 2.0 2.1 2.2 Ozgur, T.; Akin, MM.; Gokce, H.; Davarci, M. (2013). "Adenomatous hyperplasia of the rete testis: Not a true hyperplasia, just proliferation!". Contemp Oncol (Pozn) 17 (5): 466-7. doi:10.5114/wo.2013.37227. PMID 24596538.
- ↑ Nistal, M.; Castillo, MC.; Regadera, J.; García-Cabezas, MA. (Jul 2003). "Adenomatous hyperplasia of the rete testis. A review and report of new cases.". Histol Histopathol 18 (3): 741-52. PMID 12792886.
- ↑ Uguz, A.; Gönlüşen, G.; Ergin, M.; Tunali, N. (2002). "Adenomatous hyperplasia of the rete testis: report of two cases.". Int Urol Nephrol 34 (1): 87-9. PMID 12549646.
- ↑ Butterworth, DM.; Bisset, DL. (Nov 1992). "Cribriform intra-tubular epididymal change and adenomatous hyperplasia of the rete testis--a consequence of testicular atrophy?". Histopathology 21 (5): 435-8. PMID 1452126.