Adenolipoma of the thyroid
Jump to navigation
Jump to search
Adenolipoma of the thyroid gland, also thyrolipoma,[1] is a rare benign lesion of the thyroid gland.[2]
General
- Very rare.
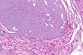
Microscopic
Features:
- Discrete lesion with adipose tissue with in the thyroid gland.
DDx:
- Parathyroid gland.
- Thyrolipomatosis - extensive fatty change.
- Papillary thyroid carcinoma with fat.
- Follicular thyroid carcinoma with fat.
Images
IHC
- TTF-1 +ve.
- Thyroglobulin +ve.
See also
References
- ↑ DeRienzo, D.; Truong, L. (Sep 1989). "Thyroid neoplasms containing mature fat: a report of two cases and review of the literature.". Mod Pathol 2 (5): 506-10. PMID 2682616.
- ↑ Daboin, KP.; Ochoa-Perez, V.; Luna, MA. (Apr 2006). "Adenolipomas of the head and neck: analysis of 6 cases.". Ann Diagn Pathol 10 (2): 72-6. doi:10.1016/j.anndiagpath.2005.07.012. PMID 16546040.