Emperipolesis

From Libre Pathology
Jump to navigation Jump to search
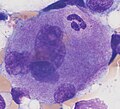
Emperipolesis in Rosai-Dorfman disease. H&E stain.

Emperipolesis is an intact cell within another cell. The term is derived from em (inside), peri (around), and polemai (is wander about).

General

  • Nonspecific finding seen in a number of conditions.

It is seen in:

Microscopic

Features:

  • Intact cell (e.g. lymphocyte, neutrophil) within a macrophage.
    • Engulfed cell usually has a halo around it.

DDx:

  • Cell overlap.
  • Hemophagocytosis.

Images

See also

References

  1. Cashell AW, Buss DH (June 1992). "The frequency and significance of megakaryocytic emperipolesis in myeloproliferative and reactive states". Ann. Hematol. 64 (6): 273–6. PMID 1637881.