Endosalpingiosis

From Libre Pathology
Jump to navigation Jump to search
Endosalpingiosis
Diagnosis in short

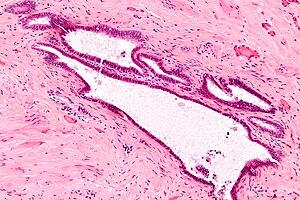
Endosalpingiosis. H&E stain.

LM cystic lesion with ciliated epithelium surrounded by fibrous stroma, psammoma bodies
LM DDx endometriosis, serous carcinoma, adenocarcinoma, peritoneal inclusion cyst
IHC CK7 +ve, WT-1 +ve, CA125 +ve
Site peritoneum, omentum, lymph node (rare)

Clinical history may be associated with endometriosis; incidental finding
Prognosis benign

Endosalpingiosis is a benign entity that can be confused for cancer.

General

  • Benign entity that may lead to a misdiagnosis of adenocarcinoma[1] or serous carcinoma.
  • The clinical significance of endosalpingiosis is not definitively settled; opinions differ on whether it is:
    1. associated with pelvic pain,[2] or
    2. an incidental finding discovered in the course of investigating something else (pelvic pain, menstrual irregularities, infertility).[3]

Microscopic

Features:[4]

  • Cystic lesions with:
    • Ciliated (tubal type) epithelium, without endometrial stroma.
      • Endosalpingiosis is surrounded by fibrous stroma; tubal type epithelial surrounded by ovarian stroma is a variant of endometriosis.
  • Associated with psammoma bodies.[5]

Notes:

  1. Not associated with hemorrhage.[6]
  2. In a lymph node, endosalpingiosis may be misinterpreted as a metastasis![7]

DDx:[8]

Images

IHC

Features:[9]

  • CK7 +ve.
  • WT-1 +ve.
  • CA125 +ve.

Sign out

OVARIAN FOSSA, RIGHT, BIOPSY:
- ENDOMETRIOSIS.
- ENDOSALPINGIOSIS.
- FIBROADIPOSE TISSUE PARTIALLY COVERED BY MESOTHELIUM. 

See also

References

  1. Lin O (May 2009). "Challenges in the interpretation of peritoneal cytologic specimens". Arch. Pathol. Lab. Med. 133 (5): 739–42. PMID 19415948.
  2. deHoop, TA.; Mira, J.; Thomas, MA. (Oct 1997). "Endosalpingiosis and chronic pelvic pain.". J Reprod Med 42 (10): 613-6. PMID 9350013.
  3. Heinig, J.; Gottschalk, I.; Cirkel, U.; Diallo, R. (Jun 2002). "Endosalpingiosis-an underestimated cause of chronic pelvic pain or an accidental finding? A retrospective study of 16 cases.". Eur J Obstet Gynecol Reprod Biol 103 (1): 75-8. PMID 12039470.
  4. URL: http://radiographics.rsna.org/content/29/2/347.full. Accessed on: 27 May 2010.
  5. Hallman KB, Nahhas WA, Connelly PJ (September 1991). "Endosalpingiosis as a source of psammoma bodies in a Papanicolaou smear. A case report". J Reprod Med 36 (9): 675–8. PMID 1774734.
  6. URL: http://radiographics.rsna.org/content/29/2/347.full. Accessed on: 27 May 2010.
  7. Corben, AD.; Nehhozina, T.; Garg, K.; Vallejo, CE.; Brogi, E. (Aug 2010). "Endosalpingiosis in axillary lymph nodes: a possible pitfall in the staging of patients with breast carcinoma.". Am J Surg Pathol 34 (8): 1211-6. doi:10.1097/PAS.0b013e3181e5e03e. PMID 20631604.
  8. Rosenberg, P.; Nappi, L.; Santoro, A.; Bufo, P.; Greco, P. (Mar 2011). "Pelvic mass-like florid cystic endosalpingiosis of the uterus: a case report and a review of literature.". Arch Gynecol Obstet 283 (3): 519-23. doi:10.1007/s00404-010-1700-1. PMID 20931212.
  9. Stolnicu S, Preda O, Kinga S, et al. (2011). "Florid, papillary endosalpingiosis of the axillary lymph nodes". Breast J 17 (3): 268–72. doi:10.1111/j.1524-4741.2011.01081.x. PMID 21477174.