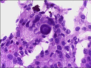
Psammoma bodies
Jump to navigation
Jump to search
Psammoma bodies appear in benign and malignant conditions. Their presence can help focus the DDx.[1]
They are often associated with a papillary architecture.[citation needed]
Conditions with psammoma bodies
The following is an incomplete list.
Benign
- Endosalpingiosis.
- Endometriosis.[2][3]
- Intrauterine device (IUD).[4]
- Endometrial polyp.[5]
- Meningioma. [6]
- Pituitary adenoma. [7]
- Choroid plexus papilloma. [8]
Malignant
- Papillary thyroid carcinoma.
- Serous carcinoma.
- Somatostatinoma, duodenal.[9]
- Papillary renal cell carcinoma.
- Anaplastic Meningioma.[10]
- Mesothelioma.
- Biphasic hyalinizing psammomatous renal cell carcinoma.
Memory device for common tumours PSaMMoma: Papillary (thyroid, renal), Serous (ovary), Meningioma, Mesothelioma.[11]
Isolated psammoma bodies in smears or aspirates are an unreliable predictor of papillary carcinoma. [12]
See also
References
- ↑ Parwani, AV.; Chan, TY.; Ali, SZ. (Apr 2004). "Significance of psammoma bodies in serous cavity fluid: a cytopathologic analysis.". Cancer 102 (2): 87-91. doi:10.1002/cncr.20161. PMID 15098252.
- ↑ Minkowitz, G. (Jun 1996). "Psammoma bodies in endometriosis: clinical, cytological, and physiopathological implications.". Diagn Cytopathol 14 (4): 331-3. doi:10.1002/(SICI)1097-0339(199605)14:4<331::AID-DC11>3.0.CO;2-L. PMID 8725135.
- ↑ Parwani, AV.; Chan, TY.; Ali, SZ. (Apr 2004). "Significance of psammoma bodies in serous cavity fluid: a cytopathologic analysis.". Cancer 102 (2): 87-91. doi:10.1002/cncr.20161. PMID 15098252.
- ↑ Boon, ME.; Kirk, RS.; De Graaff Guilloud, JC. (Jul 1981). "Psammoma bodies and some opportunistic infections detected in cervical smears of women fitted with an IUD.". Contracept Deliv Syst 2 (3): 231-6. PMID 12278909.
- ↑ Fausett MB, Zahn CM, Kendall BS, Barth WH (February 2002). "The significance of psammoma bodies that are found incidentally during endometrial biopsy". Am. J. Obstet. Gynecol. 186 (2): 180–3. PMID 11854631.
- ↑ KEPES, J. (Apr 1961). "Observations on the formation of psammoma bodies and pseudopsammoma bodies in meningiomas.". J Neuropathol Exp Neurol 20: 255-62. PMID 13752577.
- ↑ Wolfson, WL.; Rosenthal, DL.; Harney, B.. "Psammoma bodies in pituitary adenoma.". Acta Cytol 23 (1): 90-2. PMID 285558.
- ↑ Jovanović, I.; Ugrenović, S.; Vasović, L.; Petrović, D.; Cekić, S. (Jun 2010). "Psammoma bodies - friends or foes of the aging choroid plexus.". Med Hypotheses 74 (6): 1017-20. doi:10.1016/j.mehy.2010.01.006. PMID 20116930.
- ↑ Kim, JA.; Choi, WH.; Kim, CN.; Moon, YS.; Chang, SH.; Lee, HR. (Mar 2011). "Duodenal somatostatinoma: a case report and review.". Korean J Intern Med 26 (1): 103-7. doi:10.3904/kjim.2011.26.1.103. PMID 21437171.
- ↑ KEPES, J. (Apr 1961). "Observations on the formation of psammoma bodies and pseudopsammoma bodies in meningiomas.". J Neuropathol Exp Neurol 20: 255-62. PMID 13752577.
- ↑ URL: http://ome.umaryland.edu/AcademicD/practiceExams/path/path_findings.html. Accessed on: 15 January 2012.
- ↑ Ellison, E.; Lapuerta, P.; Martin, SE. (Jun 1998). "Psammoma bodies in fine-needle aspirates of the thyroid: predictive value for papillary carcinoma.". Cancer 84 (3): 169-75. PMID 9678732.