Foreign material

From Libre Pathology
(Redirected from Foreign body)
Jump to navigation Jump to search

Foreign material is something that is extrinsic to the body.

Foreign body redirect to this article.

Fecal material is dealt with separately in the article fecal material. Sutures are dealt with separately in the article suture material.

General

  • Relatively common.
  • Seen in a number of contexts.
    • Pica - ingestion of nonfood items.[1]
    • Trauma.
    • Embolization procedures.
      • May use gelatin sponge.[2]
    • Previous surgery - suture material, degradable surgical sponges.[3]

Gross

  • Looks like it doesn't belong, e.g. food.
  • Obvious foreign bodies are gross only diagnoses.
    • Examples:
      • A dildo removed surgically from a body orifice.
      • A bullet removed in surgery - should be handled with care, photographed... probably will become evidence.

Microscopic

Features:

  • Material with out nuclei.
  • May be honeycomb-like, cartilage-like or muscle-like.
  • May have a glassy appearance - see oxidized cellulose‎.
  • Often homogenous or patterned.

DDx:

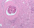
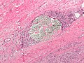
Images

Sign out

A. Submitted as "Portion of IV Tubing", Removal:
- Consistent with IV tubing (gross only).

B. Submitted as "Fork", Removal:
- Consistent with plastic fork (gross only).

History of metallic object identified by radiology

The imaging findings are noted.  No definite foreign material is seen at microscopy; however, the tissue is disrupted, as may result when a hard material is embedded in the tissue.  
 
The tissue block was examined and a fragment that had chunked-out at the time of cutting was noted.  The chunked-out fragment and tissue block were x-rayed.  The chunked-out fragment was highly radiodense (in keeping with a metallic fragment) and approximately 2 mm in maximal dimension.

Block letters

FOREIGN BODY, RIGHT LOWER LOBE, RETRIEVAL:
- MORPHOLOGICALLY CONSISTENT WITH A GREEN PEA (GROSS ONLY).
FOREIGN BODY, BRONCHUS INTERMEDIUS, RETRIEVAL:
- MUCOUS WITH NEUTROPHILS AND MACROPHAGES.
- BENIGN CALCIFICATIONS.
- FOREIGN MATERIAL (HONEYCOMB-LIKE AND CARTILAGE-LIKE WITHOUT NUCLEI) -- COMPATIBLE
  WITH FOOD.
- SCANT STRIPPED BRONCHIAL LINING EPITHELIUM WITHOUT APPARENT PATHOLOGY.
SOFT TISSUE, LEFT ARM, EXCISION:
- FOREIGN BODY, APPEARANCE COMPATIBLE WITH A PIECE OF WOOD (GROSS ONLY).
- FOREIGN BODY-REACTION (ACUTE AND CHRONIC INFLAMMATION WITH ACTIVATED FIBROBLASTS,
  HISTIOCYTES AND RARE GIANT CELLS).
- NEGATIVE FOR MALIGNANCY.

See also

References

  1. Casale, LS.; Buoinincontro, S.; Capasso, L.; D'Ambrosio, R.; Borsi, E.. "[Pica: a clinical case and therapeutic problems].". G Chir 23 (11-12): 417-9. PMID 12652915.
  2. Oh, JS.; Lee, HG.; Chun, HJ.; Choi, BG.; Choi, YJ.. "Evaluation of arterial impairment after experimental gelatin sponge embolization in a rabbit renal model.". Korean J Radiol 16 (1): 133-8. doi:10.3348/kjr.2015.16.1.133. PMID 25598681.
  3. URL: http://oldfiles.bjorl.org/conteudo/acervo/print_acervo_english.asp?id=791. Accessed on: November 25, 2014.