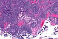
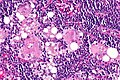
Xanthogranulomatous lymphadenitis

From Libre Pathology
Jump to navigation Jump to search

Xanthogranulomatous lymphadenitis is an uncommon pathology of the lymph node.

General

  • Benign.
  • Uncommon.[1]

Clinical:

  • Lymphadenopathy.

Clinical DDx:

Microscopic

Features:

DDx:

Images

Sign out

This is a benign finding. It is sufficient to say "benign lymph node" in the diagnosis line.

The finding may be included in the microscopic description for completeness.

Micro

One lymph node with xanthogranulomatous inflammation is present; no necrosis is seen.

See also

References

  1. 1.0 1.1 Cozzutto, C.; Soave, F. (Dec 1979). "Xanthogranulomatous lymphadenitis.". Virchows Arch A Pathol Anat Histol 385 (1): 103-8. PMID 162095.