Granulocytic sarcoma
| Granulocytic sarcoma | |
|---|---|
| Diagnosis in short | |
|
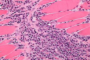
Chloroma. H&E stain. | |
|
| |
| Synonyms | extramedullary leukemia, myeloid sarcoma and chloroma, myeloblastoma, chloromyeloma, chloromyelosarcoma, granulocytic leukosarcoma, myelosarcoma |
|
| |
| LM | atypical small blue cells ~2x resting lymphocyte, infiltrative |
| LM DDx | small round cell tumours |
| IHC | CD117 +ve, CD43 +ve, CD34 +ve/-ve |
| Site | soft tissue lesion |
|
| |
| Prevalence | rare |
| Clin. DDx | other soft tissue lesions |
| Treatment | see acute myeloid leukemia |
Granulocytic sarcoma is an uncommon malignant soft tissue lesion that really represents a hematologic malignancy; it is a soft tissue manifestation of acute myeloid leukemia. It is not a sarcoma. In a small number of cases, granulocytic sarcoma may precede systemic disease and may show a aleukaemic picture, i.e. there may not be significant numbers of blasts circulating in the blood.
Numerous other terms refer to this including extramedullary leukemia,[1] myeloid sarcoma and chloroma.
Less common terms include:[2] myeloblastoma, chloromyeloma, chloromyelosarcoma, granulocytic leukosarcoma, and myelosarcoma.
General
- Soft tissue manifestation of acute myeloid leukemia.[2]
- WBC elevated, low or normal range.[3]
Microscopic
Features:
- Cluster of atypical small blue cells in soft tissue with scant cytoplasm.
DDx:
- Small cell carcinoma
- Large cell lymphomas (DLBCL, ALCL).
- Other small round cell tumours.
Images
www:
- Granulocytic sarcoma - several crappy images (upmc.edu).
- Myeloid sarcoma - several images (upmc.edu).
IHC
Features:[4] Markers of immaturity:
- CD34 +ve/-ve (5 of 9 cases).
- CD117 +ve (9 of 9 cases).
- TdT
Myeloid markers:
- CD43 +ve (7 of 7 cases) - sensitive, but not specific
- Myeloperoxidase +ve (8 of 10 cases).
- CD11c (myelomonocytic marker)
- CD13 (granulopoietic marker)
- CD33 (granulopoietic marker, specific but less sensitive)
CD34, CD117 and myeloperoxidase are more commonly positive in cases showing granulopoietic differentiation, but can be negative in cases with a myelomonocytic or monocytic differentiation, where CD68, CD163 and lysozyme may be helpful.[5]
Sign out
- It is prudent to mention acute myeloid leukemia somewhere in the report to ensure the appropriate referral is made.
See also
References
- ↑ Bakst, RL.; Tallman, MS.; Douer, D.; Yahalom, J. (Oct 2011). "How I treat extramedullary acute myeloid leukemia.". Blood 118 (14): 3785-93. doi:10.1182/blood-2011-04-347229. PMID 21795742.
- ↑ 2.0 2.1 Eom, KS.; Kim, TY. (Mar 2011). "Intraparenchymal myeloid sarcoma and subsequent spinal myeloid sarcoma for acute myeloblastic leukemia.". J Korean Neurosurg Soc 49 (3): 171-4. doi:10.3340/jkns.2011.49.3.171. PMC 3085814. PMID 21556238. http://www.ncbi.nlm.nih.gov/pmc/articles/PMC3085814/.
- ↑ Arthur, C.; Cermak, J.; Delaunay, J.; Mayer, J.; Mazur, G.; Thomas, X.; Wierzbowska, A.; Jones, MM. et al. (2015). "Post hoc analysis of the relationship between baseline white blood cell count and survival outcome in a randomized Phase III trial of decitabine in older patients with newly diagnosed acute myeloid leukemia.". J Blood Med 6: 25-9. doi:10.2147/JBM.S64067. PMID 25678833.
- ↑ Seifert, RP.; Bulkeley, W.; Zhang, L.; Menes, M.; Bui, MM. (Aug 2014). "A practical approach to diagnose soft tissue myeloid sarcoma preceding or coinciding with acute myeloid leukemia.". Ann Diagn Pathol 18 (4): 253-60. doi:10.1016/j.anndiagpath.2014.06.001. PMID 24969631.
- ↑ "Myeloid sarcoma of the head and neck region". Arch Pathol Lab Med 137 (11): 1560–8. November 2013. doi:10.5858/arpa.2012-0537-OA. PMID 23530613.