Hemangioblastoma
Jump to navigation
Jump to search
| Hemangioblastoma | |
|---|---|
| Diagnosis in short | |
|
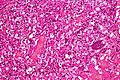
Cerebellar hemangioblastoma. | |
|
| |
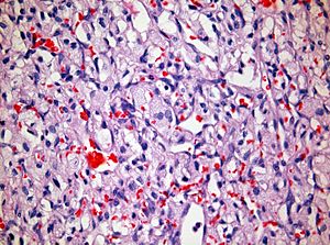
| LM | vascular tumour with large polygonal stromal cells with hyperchromatic nuclei and vacuolar cytoplasm |
| LM DDx | metastatic clear cell renal cell carcinoma |
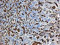
| IHC | alpha-inhibin +ve, NSE +ve, EMA -ve |
| Site | brain - usu. cerebellum |
|
| |
| Syndromes | von Hippel-Lindau disease |
|
| |
| Prognosis | good (WHO grade I) |
Hemangioblastoma is a low grade brain tumour tumour typically found the cerebellum.
General
- Usually cerebellar.
- occassionally brainstem or spinal cord. Supratentorial tumors are exceptionally rare.
- Typically in adults.[1]
- Associated with von Hippel-Lindau syndrome.
- Symptomatic when CSF flow is impaired.
- WHO grade I (ICD-O: 9161/1).[2]
Macroscopy
- Red to yellow nodules, highly vascularized.
- 75% are cystic tumors.
- Peripheral solid portion.
Microscopic
Features:[3]
- Vascular.
- Polygonal stromal cells with:
- Hyperchromatic nuclei.
- Vacuolar cytoplasm.
- Occassionally extensive sclerosis.
Note:
- Based on the stromal content, some classify the tumors as "cellular" and "reticular".[4]
DDx:
- Metastatic clear cell renal cell carcinoma.
Images
www:
IHC
Features:[5]
- Alpha-inhibin +ve (cytoplasm).
- EMA -ve.
- RCC typically +ve.
- NSE +ve (nucleus + cytoplasm).
- RCC typically -ve.
- CK -ve.
See also
References
- ↑ Kassardjian, CD.; Macdonald, RL.; Munoz, DG. (Jul 2014). "Hemangioblastomas in the elderly: epidemiology and clinical characteristics.". J Clin Neurosci 21 (7): 1205-8. doi:10.1016/j.jocn.2013.10.023. PMID 24629394.
- ↑ URL: http://www.expertconsultbook.com/expertconsult/ob/book.do?method=display&type=bookPage&decorator=none&eid=4-u1.0-B978-1-4160-4580-9..00019-8--sc0155&isbn=978-1-4160-4580-9. Accessed on: 9 December 2010.
- ↑ URL: http://emedicine.medscape.com/article/340994-media. Accessed on: 23 June 2010.
- ↑ Hasselblatt, M.; Jeibmann, A.; Gerss, J.; Behrens, C.; Rama, B.; Wassmann, H.; Paulus, W. (Dec 2005). "Cellular and reticular variants of haemangioblastoma revisited: a clinicopathologic study of 88 cases.". Neuropathol Appl Neurobiol 31 (6): 618-22. doi:10.1111/j.1365-2990.2005.00669.x. PMID 16281910.
- ↑ URL: http://www.nature.com/modpathol/journal/v18/n6/full/3800351a.html. Accessed on: 9 December 2010.