Von Hippel-Lindau disease
Jump to navigation
Jump to search
The von Hippel-Lindau disease, also von Hippel-Lindau syndrome is characterized by (mnemonic: HIPPEL):[1]
- Hemangioblastomas - brain and hemangioblastoma of the kidney.
- Increased renal cancer (clear cell renal cell carcinoma).
- Pheochromocytoma, pancreatic neuroendocrine tumours[2] and papillary cystadenoma of the epididymis.[3][4]
- Port-wine stains, skin lesion - looks like spilled wine; think Mikhail Gorbachev.
- Eye dysfunction and Endolymphatic sac tumours.[5]
- Liver cysts, pancreas cysts (serous microcystic adenoma), pancreatic islet cell tumours & kidney cysts.
Bare bones version:
- Hippel-Lindau, with H and L as above.
Prevalence
- 1 in 40,000 live births.[8]
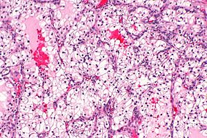
Pancreatic neuroendocrine tumour
Main article: Pancreatic neuroendocrine tumour
- AKA pancreatic islet cell tumour
In VHL these have distinct morphology:
- Clear cells[9] - unusual in neuroendocrine tumours otherwise.
- Fibrosis. (???)
Trivia
VHL gene is found on chromosome 3.[10]
See also
- Adrenal gland.
- Kidney tumours.
- Neurocutaneous syndromes.
- Birt–Hogg–Dubé syndrome.
- TCEB1-mutated renal cell carcinoma.
References
- ↑ URL: http://www.medicalmnemonics.com/pdf/2002_09_full_abr_8x11.pdf. Accessed on: 11 September 2008.
- ↑ Charlesworth, M.; Verbeke, CS.; Falk, GA.; Walsh, M.; Smith, AM.; Morris-Stiff, G. (Feb 2012). "Pancreatic Lesions in von Hippel-Lindau Disease? A Systematic Review and Meta-synthesis of the Literature.". J Gastrointest Surg. doi:10.1007/s11605-012-1847-0. PMID 22370733.
- ↑ Toutziaris, C.; Kampantais, S.; Perdikis, I.; Gourvas, V.; Laskaridis, L.; Gkagkalidis, K.; Lakis, S.; Ioannidis, S. (2013). "Papillary cystadenoma of epididymis: Is there a need for further investigation in unilateral cases?". Int J Surg Case Rep 4 (7): 616-8. doi:10.1016/j.ijscr.2013.03.038. PMID 23708309.
- ↑ Odrzywolski, KJ.; Mukhopadhyay, S. (Apr 2010). "Papillary cystadenoma of the epididymis.". Arch Pathol Lab Med 134 (4): 630-3. doi:10.1043/1543-2165-134.4.630. PMID 20367315.
- ↑ 5.0 5.1 Perry, Arie; Brat, Daniel J. (2010). Practical Surgical Neuropathology: A Diagnostic Approach: A Volume in the Pattern Recognition series (1st ed.). Churchill Livingstone. pp. 440. ISBN 978-0443069826.
- ↑ Harris AL (2000). "von Hippel-Lindau syndrome: target for anti-vascular endothelial growth factor (VEGF) receptor therapy". Oncologist 5 Suppl 1: 32–6. PMID 10804089. http://theoncologist.alphamedpress.org/cgi/content-nw/full/5/suppl_1/32/T1.
- ↑ Chew, EY. (2005). "Ocular manifestations of von Hippel-Lindau disease: clinical and genetic investigations.". Trans Am Ophthalmol Soc 103: 495-511. PMC 1447586. PMID 17057815. https://www.ncbi.nlm.nih.gov/pmc/articles/PMC1447586/.
- ↑ Singh AD, Shields CL, Shields JA (2001). "von Hippel-Lindau disease". Surv Ophthalmol 46 (2): 117–42. PMID 11578646.
- ↑ Musso, C.; Paraf, F.; Petit, B.; Archambeaud-Mouveroux, F.; Valleix, D.; Labrousse, F. (Mar 2000). "[Pancreatic neuroendocrine tumors and von Hippel-Lindau disease].". Ann Pathol 20 (2): 130-3. PMID 10740008.
- ↑ Online 'Mendelian Inheritance in Man' (OMIM) 608537