Serous cystadenoma of the pancreas

From Libre Pathology
Jump to navigation Jump to search
Serous cystadenoma of the pancreas
Diagnosis in short

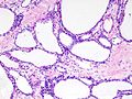
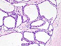
Pancreatic serous cystadenoma. H&E stain.

Synonyms serous microcystic adenoma

LM small cystic spaces lined by cytologically bland cuboidal cells
LM DDx cystic renal cell carcinoma, lymphangioma, hemangioma
Stains PAS +ve, PASD -ve
Gross lobulated appearance, no cysts apparent
Site pancreas - body and tail

Syndromes von Hippel-Lindau disease

Prevalence uncommon
Radiology honey comb-like appearance, Well-demarcated border - may be described as a "coin lesion"
Prognosis benign

Serous cystadenoma of the pancreas is a benign cystic lesion of the pancreas.

It is also known as serous microcystic adenoma,[1] and pancreatic serous cystadenoma.

It is unrelated to the ovarian serous cystadenoma.

General

  • 1-2% of all exocrine pancreatic tumours.
  • Female > male.
  • Mean age 66 years.
  • Truly benign with no malignant potenial.
  • May be part of von Hippel-Lindau syndrome.

Management:

  • Observe or resect.

Gross

Features:

  • Classically has a characteristic central scar.[2]
  • Bosulated surface.
  • Lobulated.
  • No (macroscopic) cysts apparent on gross.
  • Location: 50-70% occur in the body and tail.
  • Size: average size 11 cm.

Radiologic appearance:

  • Honey comb-like appearance.
  • Well demarcated border - may be described as a "coin lesion".

Image:

Microscopic

Features:

  • Cystic spaces lined by cuboidal cells.
    • Glycogen rich.
    • Cilia. (???)

DDx:

Notes:

  • Serous adenoma may coexist with aggressive tumours.

Images

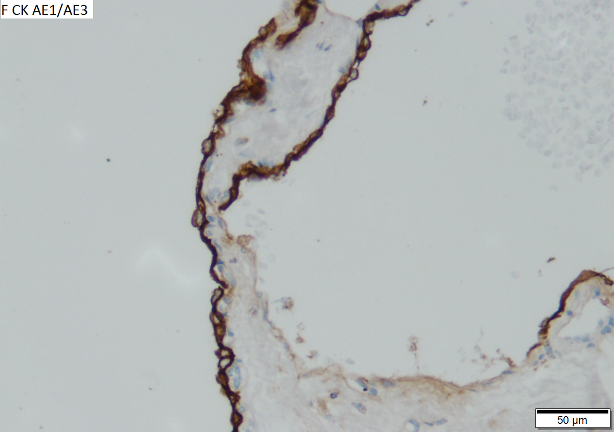
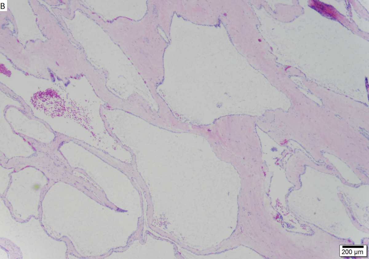
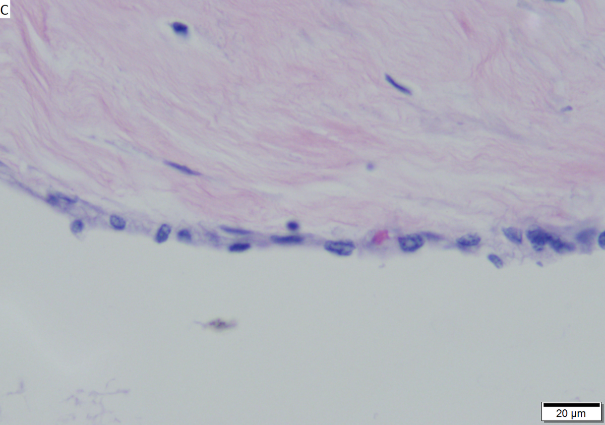
Microcystic serous cystadenoma of pancreas Microcystic serous cystadenoma of pancreas Microcystic serous cystadenoma of pancreas Microcystic serous cystadenoma of pancreas Microcystic serous cystadenoma of pancreas Microcystic serous cystadenoma of pancreas
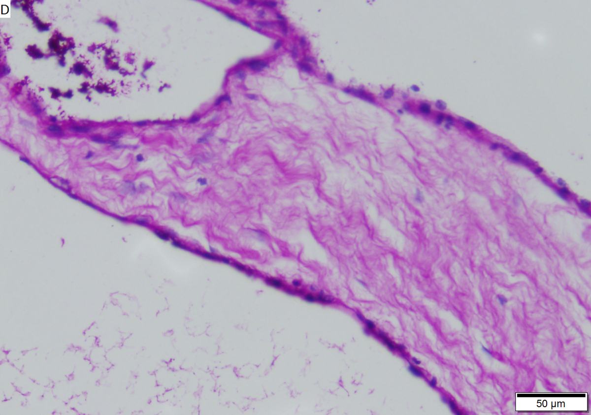
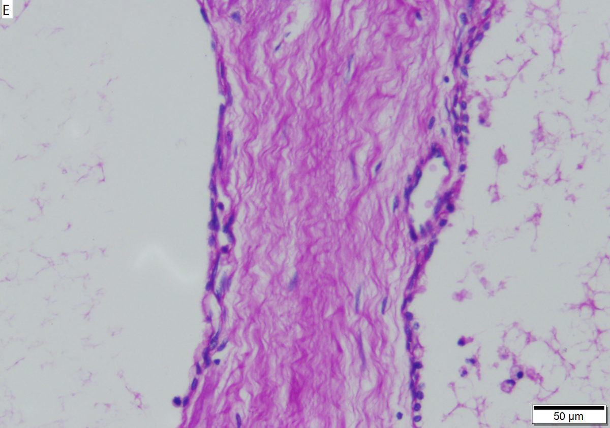
Microcystic serous cystadenoma of pancreas in a 62 year old woman. A. The tumor showed a central scar with multiple minute cysts; slight pressure yielded clear fluid. B. The mass comprises microcysts numberless. C. Cysts bear single cell linings with bland, amitotic nuclei. D. PAS without diastase shows positive cytoplasmic material. E. PAS with diastase shows the cytoplasmic material has been digested away. F. Keratin shows positive staining lining cells.

Stains

  • PAS +ve.
  • PASD -ve.

See also

References

  1. Mills, Stacey E; Carter, Darryl; Greenson, Joel K; Oberman, Harold A; Reuter, Victor E (2004). Sternberg's Diagnostic Surgical Pathology (4th ed.). Lippincott Williams & Wilkins. pp. 1630. ISBN 978-0781740517.
  2. Kim YH, Saini S, Sahani D, Hahn PF, Mueller PR, Auh YH (2005). "Imaging diagnosis of cystic pancreatic lesions: pseudocyst versus nonpseudocyst". Radiographics 25 (3): 671–85. doi:10.1148/rg.253045104. PMID 15888617. http://radiographics.rsna.org/content/25/3/671.abstract.
  3. Vernadakis, S.; Kaiser, GM.; Christodoulou, E.; Mathe, Z.; Troullinakis, M.; Bankfalvi, A.; Paul, A. (2009). "Enormous serous microcystic adenoma of the pancreas.". JOP 10 (3): 332-4. PMID 19454830.