Angiocentric glioma
Jump to navigation
Jump to search
| Angiocentric glioma | |
|---|---|
| Diagnosis in short | |
|
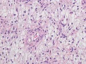
Angiocentric glioma. H&E stain. | |
| LM DDx | astrocytoma, ependymoma. |
| IHC | GFAP +/-ve, EMA +/-ve. |
| Gross | enlargened gyri |
| Site | brain - usu. grey matter |
|
| |
| Clinical history | epilepsy-associated |
| Prevalence | very rare - no age prevalence |
| Prognosis | good (WHO Grade I) |
Angiocentric glioma, is a WHO grade I glioma. It is super rare.
General
- previously called monomorphic angiocentric glioma or angiocentric neuroepithelial tumour.
- Own entity introduced in the WHO 2007 classification.[1]
- Low-grade glioma - WHO Grade I by definition, but a single recurrence with anaplastic features has been described.[2]
- Classically a non-enhancing, superficial cerebrocortical lesion.
- Associated with epilepsy.
- No association with any tumour syndromes.
Gross
- Usually well-circumscribed.
- Enlargement of cortex possible.
Microscopic
Features:
- Monommorphic, bipolar, spindled cells around blood vessels.
- mimicking ependymal pseudorosettes (DD: ependymoma).
- Solid growth with palisaded arrays possible.
- Low cellularity and rich myxoid background- when compared to classical astrocytomas.
- Mitotic activity may lead to eroneous diagnosis of anaplastic astrocytoma.
- Variably GFAP, EMA and S-100 positive
- No IDH1/2 mutations. [3]
- MIB-1 between 1-5%
DDx of angiocentric glioma (brief):
- Pilomyxoid astrocytoma
- Ependymoma.
- Astrocytoma.
- Isomorphic astrocytoma.
Molecular
Note: Gliomas with MYB/MYBL alteration may histologically resemble diffuse astrocytoma in children but these tumors cluster together with angiocentric glioma suggesting a single tumor entity.[6]
Images
Angiocentric glioma - EMA immunostain (WC/jensflorian)
See also
References
- ↑ Brat, DJ.; Scheithauer, BW.; Fuller, GN.; Tihan, T. (Jul 2007). "Newly codified glial neoplasms of the 2007 WHO Classification of Tumours of the Central Nervous System: angiocentric glioma, pilomyxoid astrocytoma and pituicytoma.". Brain Pathol 17 (3): 319-24. doi:10.1111/j.1750-3639.2007.00082.x. PMID 17598825.
- ↑ Wang, M.; Tihan, T.; Rojiani, AM.; Bodhireddy, SR.; Prayson, RA.; Iacuone, JJ.; Alles, AJ.; Donahue, DJ. et al. (Oct 2005). "Monomorphous angiocentric glioma: a distinctive epileptogenic neoplasm with features of infiltrating astrocytoma and ependymoma.". J Neuropathol Exp Neurol 64 (10): 875-81. PMID 16215459.
- ↑ Raghunathan, A.; Olar, A.; Vogel, H.; Parker, JR.; Coventry, SC.; Debski, R.; Albarracin, CT.; Aldape, KD. et al. (Aug 2012). "Isocitrate dehydrogenase 1 R132H mutation is not detected in angiocentric glioma.". Ann Diagn Pathol 16 (4): 255-9. doi:10.1016/j.anndiagpath.2011.11.003. PMID 22445362.
- ↑ Ramkissoon, LA.; Horowitz, PM.; Craig, JM.; Ramkissoon, SH.; Rich, BE.; Schumacher, SE.; McKenna, A.; Lawrence, MS. et al. (May 2013). "Genomic analysis of diffuse pediatric low-grade gliomas identifies recurrent oncogenic truncating rearrangements in the transcription factor MYBL1.". Proc Natl Acad Sci U S A 110 (20): 8188-93. doi:10.1073/pnas.1300252110. PMID 23633565.
- ↑ Bandopadhayay, P.; Ramkissoon, LA.; Jain, P.; Bergthold, G.; Wala, J.; Zeid, R.; Schumacher, SE.; Urbanski, L. et al. (Mar 2016). "MYB-QKI rearrangements in angiocentric glioma drive tumorigenicity through a tripartite mechanism.". Nat Genet 48 (3): 273-82. doi:10.1038/ng.3500. PMID 26829751.
- ↑ Chiang, J.; Harreld, JH.; Tinkle, CL.; Moreira, DC.; Li, X.; Acharya, S.; Qaddoumi, I.; Ellison, DW. (Dec 2019). "A single-center study of the clinicopathologic correlates of gliomas with a MYB or MYBL1 alteration.". Acta Neuropathol 138 (6): 1091-1092. doi:10.1007/s00401-019-02081-1. PMID 31595312.