Transmembrane mucin 1
(Redirected from MUC-1)
Jump to navigation
Jump to search
| Transmembrane mucin 1 | |
|---|---|
| Stain in short | |
|
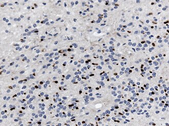
EMA staining in ependymoma. | |
| Abbreviation | MUC1, MUC-1, EMA |
| Synonyms | epithelial membrane antigen |
| Similar stains | pankeratin |
| Positive | most adenocarcinomas |
| Negative | basal cell carcinoma |
Transmembrane mucin 1, commonly abbreviated MUC1 (or MUC-1), is a commonly used immunostain.
It is also known epithelial membrane antigen, abbreviated EMA.[1]
A ring or dot-like expression pattern is typical for ependymoma.[2]
Images
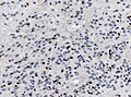
EMA staining in a meningioma. (WC/KGH)
See also
References
- ↑ Online 'Mendelian Inheritance in Man' (OMIM) 158340
- ↑ Hasselblatt, M.; Paulus, W. (Oct 2003). "Sensitivity and specificity of epithelial membrane antigen staining patterns in ependymomas.". Acta Neuropathol 106 (4): 385-8. doi:10.1007/s00401-003-0752-8. PMID 12898159.