Difference between revisions of "Quiz:Testicular tumours 2"

From Libre Pathology
Jump to navigation Jump to search
(Created page with "This is a little quiz to test your knowledge kidney tumours! <quiz display=simple> {Diagnosis? <br />{{NoImageNotes|Image:Atrophic changes of the testis -- intermed mag...")
 
m (fix ITGCN)
Line 14: Line 14:
-Infarcted testis
-Infarcted testis
-Inflamed testis
-Inflamed testis
-Intratubular germ cell tumour
-Intratubular germ cell neoplasia
-Leydig cell tumour
-Leydig cell tumour
-Lymphoma
-Lymphoma
Line 39: Line 39:
-Infarcted testis
-Infarcted testis
-Inflamed testis
-Inflamed testis
-Intratubular germ cell tumour
-Intratubular germ cell neoplasia
-Leydig cell tumour
-Leydig cell tumour
-Lymphoma
-Lymphoma
Line 64: Line 64:
-Infarcted testis
-Infarcted testis
-Inflamed testis
-Inflamed testis
-Intratubular germ cell tumour
-Intratubular germ cell neoplasia
-Leydig cell tumour
-Leydig cell tumour
-Lymphoma
-Lymphoma
Line 89: Line 89:
-Infarcted testis
-Infarcted testis
-Inflamed testis
-Inflamed testis
-Intratubular germ cell tumour
-Intratubular germ cell neoplasia
+Leydig cell tumour
+Leydig cell tumour
-Lymphoma
-Lymphoma
Line 114: Line 114:
-Infarcted testis
-Infarcted testis
-Inflamed testis
-Inflamed testis
-Intratubular germ cell tumour
-Intratubular germ cell neoplasia
-Leydig cell tumour
-Leydig cell tumour
-Lymphoma
-Lymphoma
Line 139: Line 139:
-Infarcted testis
-Infarcted testis
-Inflamed testis
-Inflamed testis
-Intratubular germ cell tumour
-Intratubular germ cell neoplasia
-Leydig cell tumour
-Leydig cell tumour
-Lymphoma
-Lymphoma
Line 164: Line 164:
-Infarcted testis
-Infarcted testis
-Inflamed testis
-Inflamed testis
-Intratubular germ cell tumour
-Intratubular germ cell neoplasia
-Leydig cell tumour
-Leydig cell tumour
-Lymphoma
-Lymphoma
Line 189: Line 189:
-Infarcted testis
-Infarcted testis
-Inflamed testis
-Inflamed testis
-Intratubular germ cell tumour
-Intratubular germ cell neoplasia
-Leydig cell tumour
-Leydig cell tumour
-Lymphoma
-Lymphoma
Line 214: Line 214:
-Infarcted testis
-Infarcted testis
-Inflamed testis
-Inflamed testis
-Intratubular germ cell tumour
-Intratubular germ cell neoplasia
-Leydig cell tumour
-Leydig cell tumour
-Lymphoma
-Lymphoma
Line 239: Line 239:
-Infarcted testis
-Infarcted testis
-Inflamed testis
-Inflamed testis
+Intratubular germ cell tumour
+Intratubular germ cell neoplasia
-Leydig cell tumour
-Leydig cell tumour
-Lymphoma
-Lymphoma

Revision as of 05:05, 17 February 2016

This is a little quiz to test your knowledge kidney tumours!

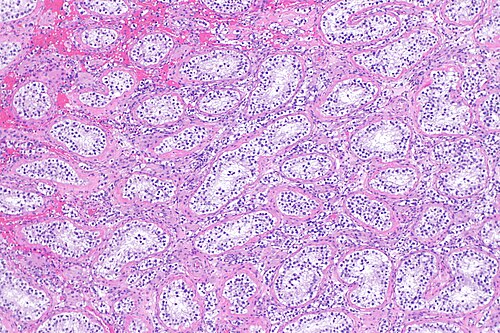
1

Diagnosis?
Atrophic changes of the testis -- intermed mag.jpg

Adenomatoid tumour
Adenocarcinoma of the rete testis
Adenomatous hyperplasia of the rete testis
Benign testis
Atrophic testis
Choriocarcinoma
Embryonal carcinoma
Immature teratoma
Infarcted testis
Inflamed testis
Intratubular germ cell neoplasia
Leydig cell tumour
Lymphoma
Mature teratoma
Mixed germ cell tumour
Papillary cystadenoma of the epididymis
Seminoma
Spermatocytic seminoma
Sertoli cell tumour
Sertoli cell nodule
Testicular scar
Yolk sac tumour

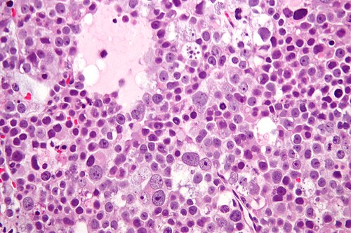
2

Diagnosis?
Embryonal carcinoma - high mag.jpg

Adenomatoid tumour
Adenocarcinoma of the rete testis
Adenomatous hyperplasia of the rete testis
Benign testis
Atrophic testis
Choriocarcinoma
Embryonal carcinoma
Immature teratoma
Infarcted testis
Inflamed testis
Intratubular germ cell neoplasia
Leydig cell tumour
Lymphoma
Mature teratoma
Mixed germ cell tumour
Papillary cystadenoma of the epididymis
Seminoma
Spermatocytic seminoma
Sertoli cell tumour
Sertoli cell nodule
Testicular scar
Yolk sac tumour

3

Diagnosis?
Teratoma intermed mag.jpg

Adenomatoid tumour
Adenocarcinoma of the rete testis
Adenomatous hyperplasia of the rete testis
Benign testis
Atrophic testis
Choriocarcinoma
Embryonal carcinoma
Immature teratoma
Infarcted testis
Inflamed testis
Intratubular germ cell neoplasia
Leydig cell tumour
Lymphoma
Mature teratoma
Mixed germ cell tumour
Papillary cystadenoma of the epididymis
Seminoma
Spermatocytic seminoma
Sertoli cell tumour
Sertoli cell nodule
Testicular scar
Yolk sac tumour

4

Diagnosis?
Leydig cell tumour2.jpg

Adenomatoid tumour
Adenocarcinoma of the rete testis
Adenomatous hyperplasia of the rete testis
Benign testis
Atrophic testis
Choriocarcinoma
Embryonal carcinoma
Immature teratoma
Infarcted testis
Inflamed testis
Intratubular germ cell neoplasia
Leydig cell tumour
Lymphoma
Mature teratoma
Mixed germ cell tumour
Papillary cystadenoma of the epididymis
Seminoma
Spermatocytic seminoma
Sertoli cell tumour
Sertoli cell nodule
Testicular scar
Yolk sac tumour

5

Diagnosis?
Choriocarcinoma - high mag.jpg

Adenomatoid tumour
Adenocarcinoma of the rete testis
Adenomatous hyperplasia of the rete testis
Benign testis
Atrophic testis
Choriocarcinoma
Embryonal carcinoma
Immature teratoma
Infarcted testis
Inflamed testis
Intratubular germ cell neoplasia
Leydig cell tumour
Lymphoma
Mature teratoma
Mixed germ cell tumour
Papillary cystadenoma of the epididymis
Seminoma
Spermatocytic seminoma
Sertoli cell tumour
Sertoli cell nodule
Testicular scar
Yolk sac tumour

6

Diagnosis?
Papillary cystadenoma of epididymis -- low mag.jpg

Adenomatoid tumour
Adenocarcinoma of the rete testis
Adenomatous hyperplasia of the rete testis
Benign testis
Atrophic testis
Choriocarcinoma
Embryonal carcinoma
Immature teratoma
Infarcted testis
Inflamed testis
Intratubular germ cell neoplasia
Leydig cell tumour
Lymphoma
Mature teratoma
Mixed germ cell tumour
Papillary cystadenoma of the epididymis
Seminoma
Spermatocytic seminoma
Sertoli cell tumour
Sertoli cell nodule
Testicular scar
Yolk sac tumour

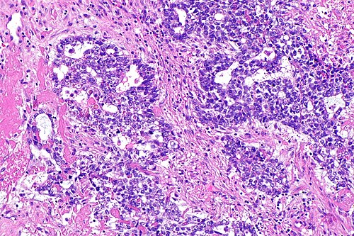
7

Diagnosis?
Yolk sac tumour with hyaline bodies -- intermed mag.jpg

Adenomatoid tumour
Adenocarcinoma of the rete testis
Adenomatous hyperplasia of the rete testis
Benign testis
Atrophic testis
Choriocarcinoma
Embryonal carcinoma
Immature teratoma
Infarcted testis
Inflamed testis
Intratubular germ cell neoplasia
Leydig cell tumour
Lymphoma
Mature teratoma
Mixed germ cell tumour
Papillary cystadenoma of the epididymis
Seminoma
Spermatocytic seminoma
Sertoli cell tumour
Sertoli cell nodule
Testicular scar
Yolk sac tumour

8

Diagnosis?
Spermatocytic seminoma high mag.jpg

Adenomatoid tumour
Adenocarcinoma of the rete testis
Adenomatous hyperplasia of the rete testis
Benign testis
Atrophic testis
Choriocarcinoma
Embryonal carcinoma
Immature teratoma
Infarcted testis
Inflamed testis
Intratubular germ cell neoplasia
Leydig cell tumour
Lymphoma
Mature teratoma
Mixed germ cell tumour
Papillary cystadenoma of the epididymis
Seminoma
Spermatocytic seminoma
Sertoli cell tumour
Sertoli cell nodule
Testicular scar
Yolk sac tumour

9

Diagnosis?
Intertubular seminoma - alt -- low mag.jpg

Adenomatoid tumour
Adenocarcinoma of the rete testis
Adenomatous hyperplasia of the rete testis
Benign testis
Atrophic testis
Choriocarcinoma
Embryonal carcinoma
Immature teratoma
Infarcted testis
Inflamed testis
Intratubular germ cell neoplasia
Leydig cell tumour
Lymphoma
Mature teratoma
Mixed germ cell tumour
Papillary cystadenoma of the epididymis
Seminoma
Spermatocytic seminoma
Sertoli cell tumour
Sertoli cell nodule
Testicular scar
Yolk sac tumour

10

Diagnosis?
ITGCN and Sertoli cells only -- intermed mag.jpg

Adenomatoid tumour
Adenocarcinoma of the rete testis
Adenomatous hyperplasia of the rete testis
Benign testis
Atrophic testis
Choriocarcinoma
Embryonal carcinoma
Immature teratoma
Infarcted testis
Inflamed testis
Intratubular germ cell neoplasia
Leydig cell tumour
Lymphoma
Mature teratoma
Mixed germ cell tumour
Papillary cystadenoma of the epididymis
Seminoma
Spermatocytic seminoma
Sertoli cell tumour
Sertoli cell nodule
Testicular scar
Yolk sac tumour